![]() |
![]() |
![]() |
![]() |
![]() |
|
![]() |
![]() |
![]() |
|||
![]() |
![]() |
![]() |
![]() |
||
Socket Preservation and Potential Mesial Placement
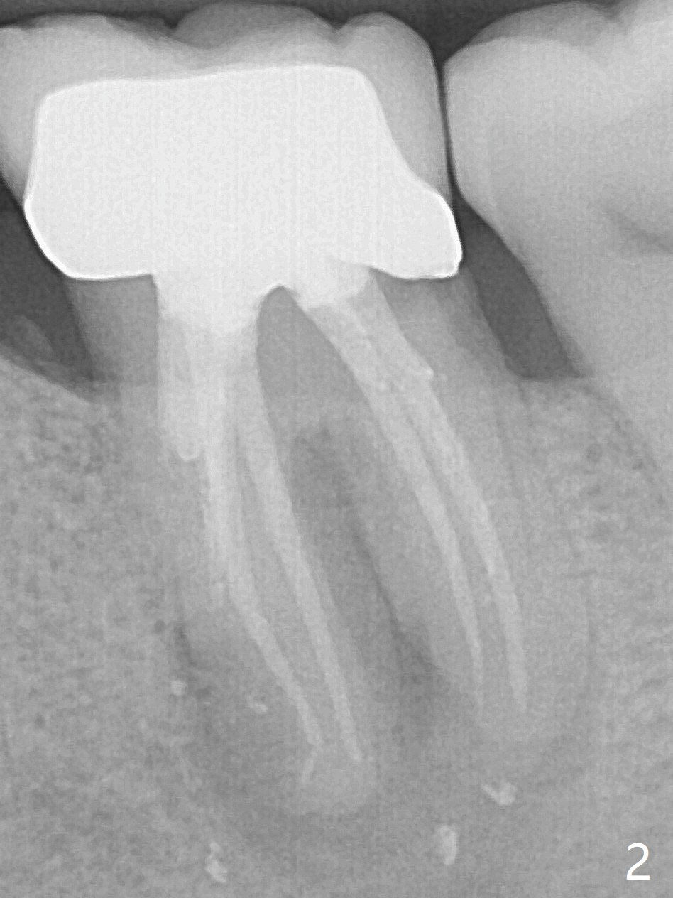
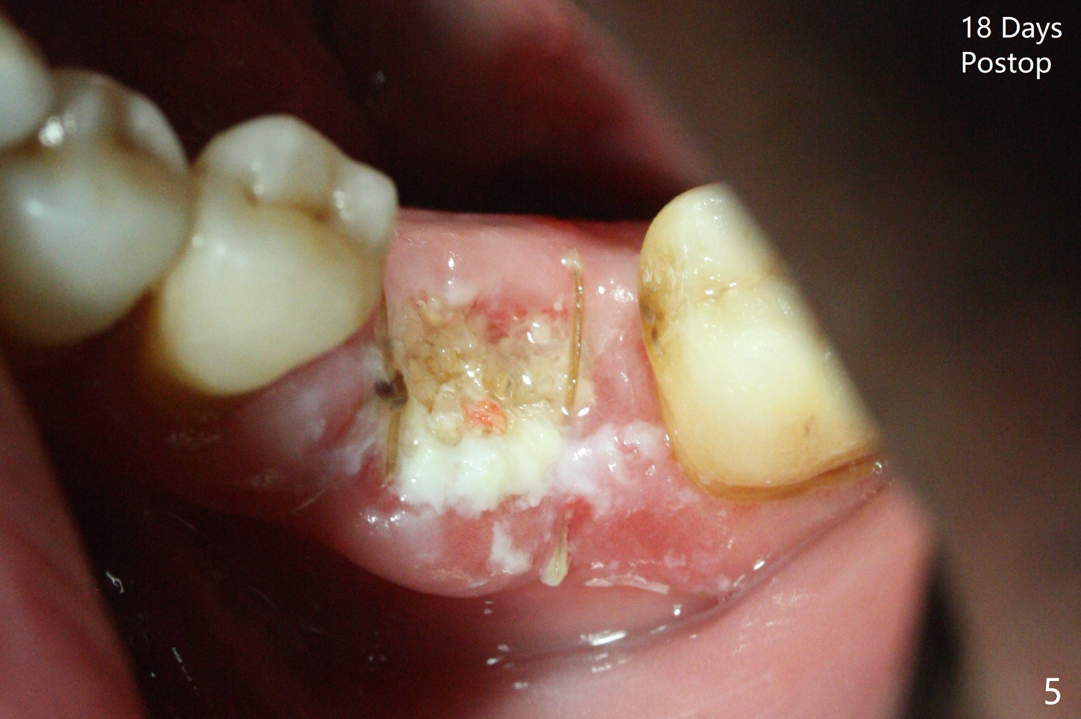
Extraction of the tooth #19 with large PARL (Fig.1,2) confirms the loss of buccal plate, but the crestal bone exists. After failure to place an implant in the middle socket with removal of the lingual septal bone, socket preservation is done with PRF and sticky bone (Fig.3). There is possibility to place a ~4 mm implant in the mesial socket (Fig.4). Or just drop a 5x11 mm Bicon Implant into the large socket, surrounded by sticky bone. When periodontal dressing is removed 18 days postop, the bone graft seems to remain to be "sticky" yellowish, while the granulation tissue has started to grow into the center of the socket from the previously buccal and lingual furcae (Fig.5 reddish). Granulation tissue seems to cover the bone graft (Fig.6), although there is smells when the periodontal dressing is removed. Bone height reduces nearly 3 months postop (Fig.7). The buccal plate collapses (Fig.8), but there seems no further bone loss 4 months postop (Fig.9). Because of buccal plate loss, an implant will be placed lingually with guide (Fig.10-12 green). Bone graft may be placed buccally after implant placement with probing.
Return to Lower Molar Immediate Implant, Trajectory Septum 17 Xin Wei, DDS, PhD, MS 1st edition 05/16/2019, last revision 10/10/2019