![]() |
![]() |
![]() |
![]() |
|
![]() |
|
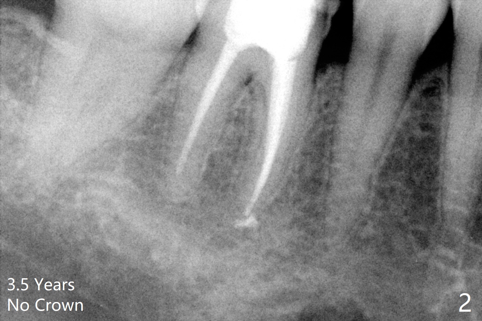
![]() |
||
Crown Demises the Tooth?
A 47-year-old woman with one carious tooth in her mouth (at #30) received RCT 14 years ago (Fig.1). The molar survives without crown for 3.5 years (Fig.2) and with crown for 8 years (Fig.3). The tooth has 2nd decays 10 years post crown (14 years post RCT, Fig.4 *). The crown dislodges 2 months later (Fig.5). Does the crown inadvertently reduce the longevity of the tooth simply hampering oral hygiene? After osteotomy until 4.5x10 or 13 mm IS drill with guide and 5 mm Bicon reamer free hand, place either 5x6 or 11 mm Bicon implant (Fig.6). Keep the black insertion plug to hold periodontal dressing or a provisional, which will be bonded to the neighboring tooth. Prepare PRFx1 for sticky bone around the not-so-stable implant. A 5x11.5 mm bone-level implant is planned by CT (Fig.7). Socket shield will be conducted to reduce buccal plate collapse. If the osteotomy depth is 10 mm due to limited mouth opening, place 4.5x6 mm Bicon implant. Otherwise 4.5x8 mm one. Return to Lower Molar Immediate Implant, Prevent Molar Periimplantitis (Protocols, Table), Trajectory II, Metronidazole Early Intervention Xin Wei, DDS, PhD, MS 1st edition 09/01/2019, last revision 11/10/2019