![]() |
![]() |
![]() |
![]() |
![]() |
Early Intervention for Open Margin to Prevent Tooth Fracture
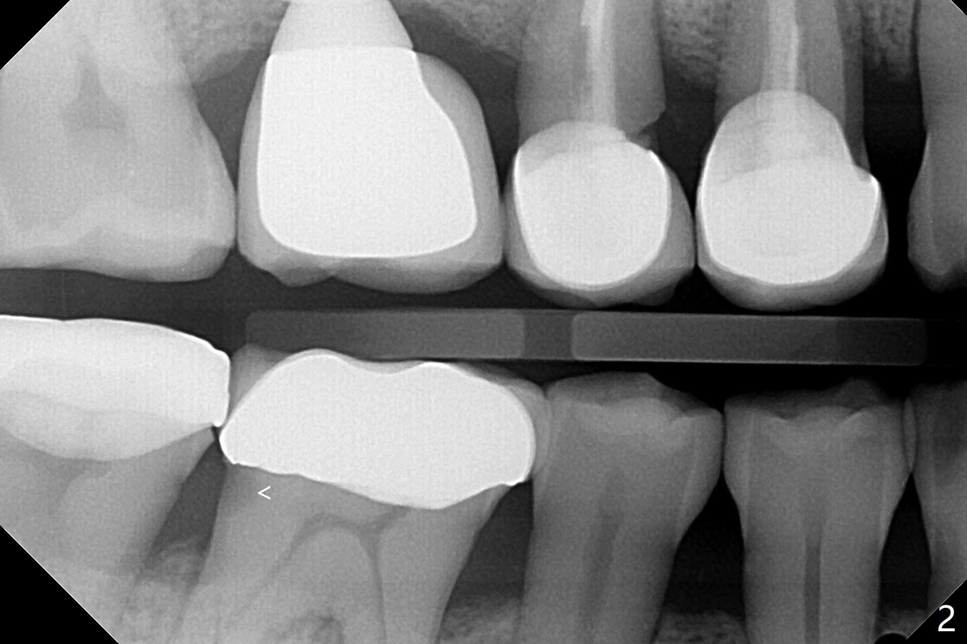
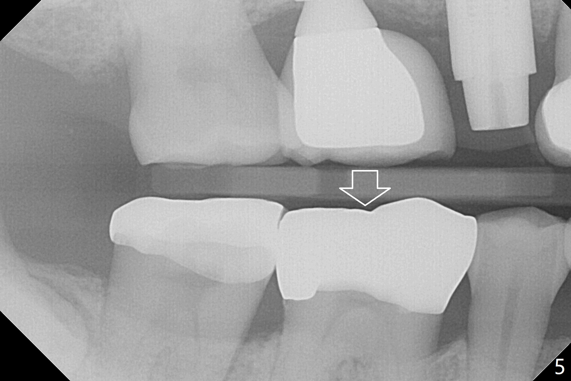
A 53-year-old man returns for #30 crown redo with distal open margin (Fig.1-3 arrowhead) after #4 implant. In addition to the distal margin caries, there is buccal one after removal of the existing crown. Composite build up is done for the buccal cavitation, whereas heavy chamfer margin is prepared distal. BW is taken immediately before cementation with open margin (Fig.4 ^). The latter disappears when the crown is cemented with pressure (Fig.5 arrow).
Return to Trajectory II Xin Wei, DDS, PhD, MS 1st edition 09/22/2019, last revision 10/05/2019