![]() |
![]() |
![]() |
![]() |
![]() |
![]() |
Asymptomatic
Periimplantitis
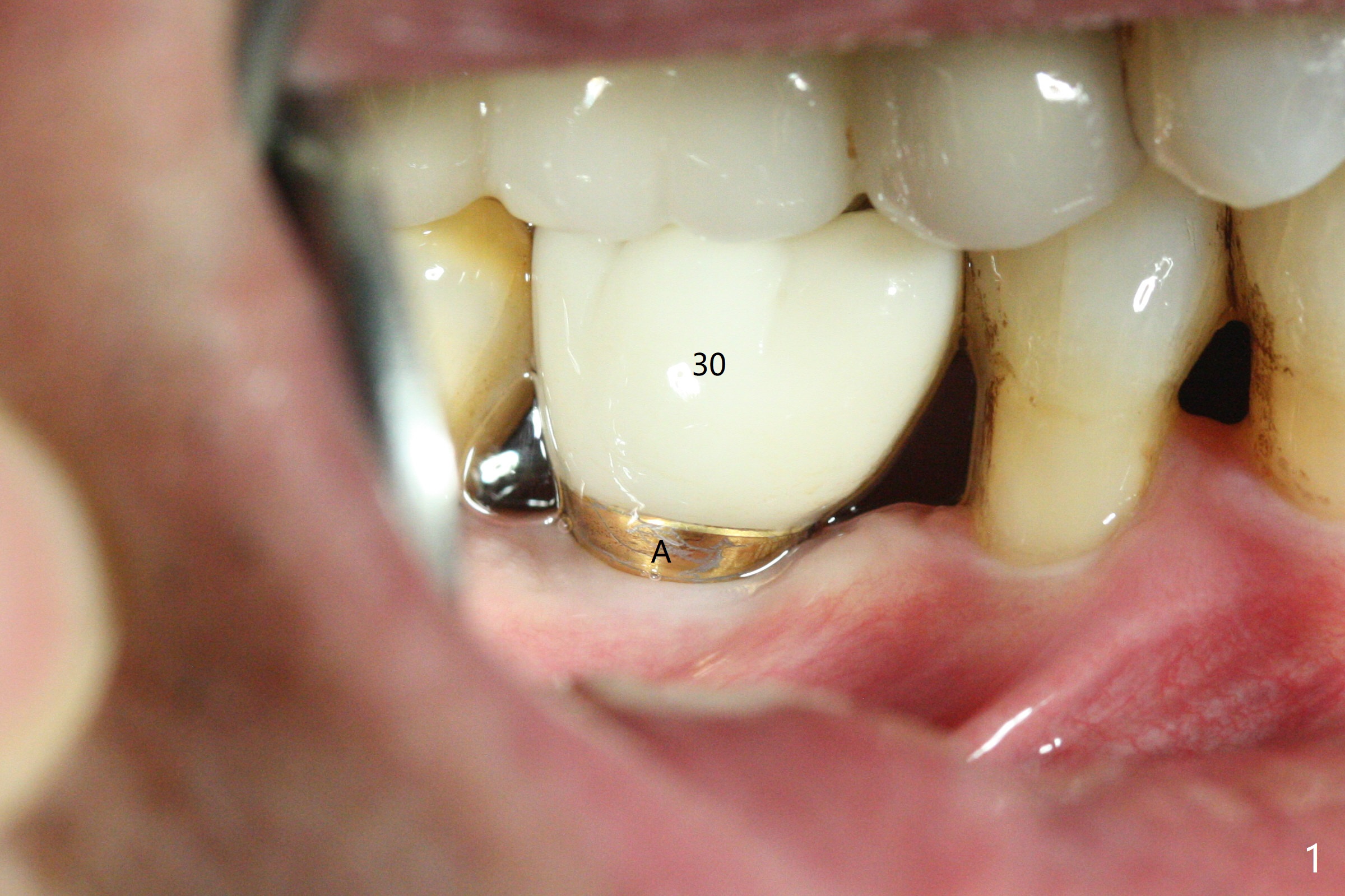
A 64-year-old man returns with history of a lump in the right submandibular region. Biopsy in a medical clinic shows inflammation. The implant crown at #30 has been cemented for ~ 4 years (Fig.1 (A: abutment)). The lingual plateau of the implant is exposed for 1-2 years asymptomatic (Fig.2 *). There is no deep lingual pocket when the crown and abutment are removed (Fig.3). Flap surgery confirms microthread exposure (circumferential, Fig.4). After removal of the microthreads with diamond bur (Fig.5), allograft (Fig.6 *), 6-month collagen membrane and a 6.5x5(3) mm healing abutment are placed. Following suturing, periodontal dressing is applied. The site remains asymptomatic 3 months postop, when an implant is placed subcrestal at #3.
Return to
Lower Molar
Immediate Implant,
Trajectory #3
T1 Bone Graft
Xin Wei, DDS, PhD, MS 1st edition
04/15/2019, last revision
03/06/2021