![]() |
![]() |
![]() |
![]() |
Subcrestal Placement
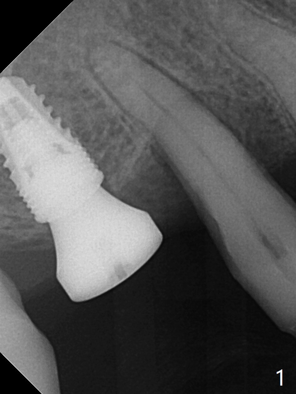
After osteotomy at #3 with IS guide, a 4.5x8 mm SM implant has to be placed free hand because of mismatch of the SM implant and IS guided fixture driver. With minor adjustment, the implant is placed subcrestal to reduce chance of future periimplantitis (Fig.1,2). There is oozing in the osteotomy, which seems to stop when the implant and healing abutment are placed. The patient returns with oozing next day. The temporary FPD is removed. The oozing is coming from the area around the healing abutment. Gauze pressure appears to be effective. After application of periodontal dressing (Fig.3 D) around the healing abutment, the temporary FPD is inserted (T). Hemostasis occurs. Fig.3 is taken 7 days postop. The implant remains subcrestal 3 month postop (Fig.4). A 5.8x7(3) mm cemented abutment is placed for a separate provisional.
Return to Upper Molar Immediate Implant, Trajectory, T1 Bone Graft Xin Wei, DDS, PhD, MS 1st edition 07/22/2019, last revision 03/06/2021