![]() |
![]() |
Crestal Level
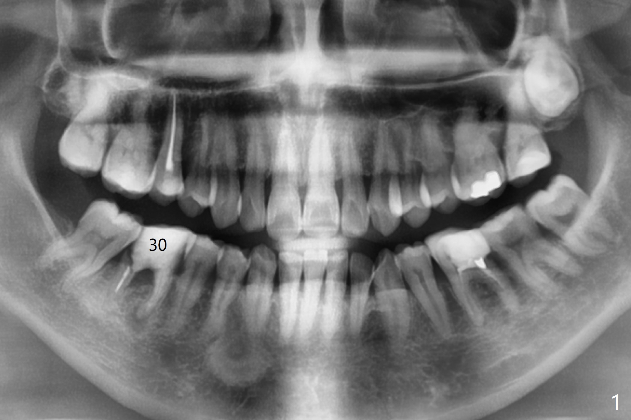
A 48-year-old woman has chewing pain at #30 with distal root fracture and a large mesial apical lesion (Fig.1). To reduce abutment screw loosening, guided surgery is planned with implant placed at the crestal level (Fig.2 <). Because of the large apical lesion, a longer implant (11.5 mm) will be placed than that Fig.2 indicates.
Return to
Lower
Molar Immediate Implant,
Prevent Molar Periimplantitis (Protocols,
Table),
Trajectory,
No Antibiotic
Xin Wei, DDS, PhD, MS 1st edition 12/01/2018, last revision 12/18/2018