![]() |
![]() ![]() |
![]() |
![]() |
![]() |
Most Secure Socket Preservation
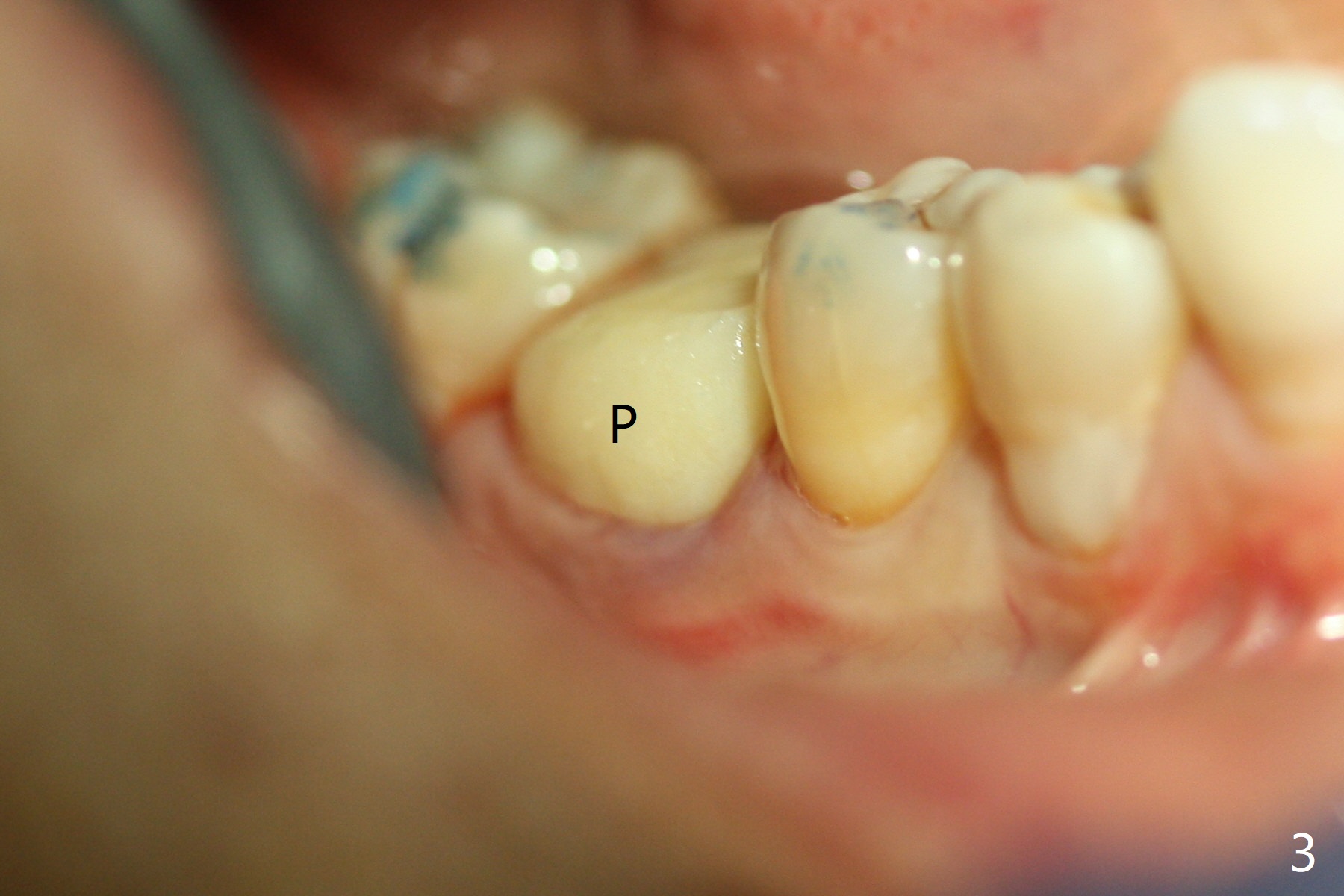
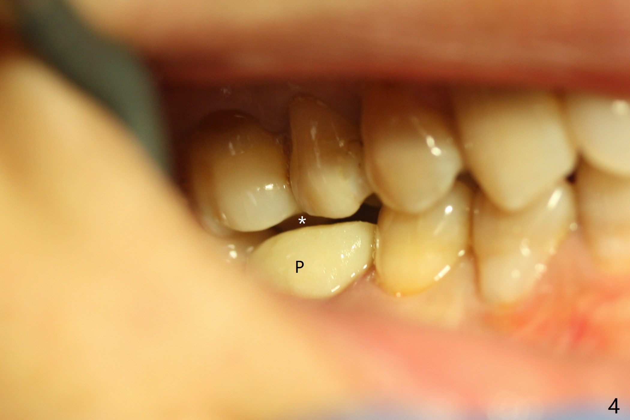
After extraction of #30 (Fig.1 (S: septum)), a 5x11.5 mm implant is placed with guide mainly in the mesial socket (mesial to the septum (S) with >35 Ncm; after immediate placement of a 6.5x4(3) mm abutment, allograft is placed (Fig.2 *). An immediate provisional is fabricated to hold the bone graft in place (Fig.3 P). To prevent micro-movement, the provisional has clearance from the opposing dentition (Fig.4 *, nonfunctional). There is not too much loss of bone graft 4 months postop (Fig.5). In fact the mesial and distal sockets heal. The implant plateau is covered with the bone 8 months post cementation (Fig.6 arrowheads ( *: addition of porcelain for the distal gingival embrasure)).
Return to Lower Molar Immediate Implant, Prevent Molar Periimplantitis (Protocols, Table), Trajectory Xin Wei, DDS, PhD, MS 1st edition 12/18/2018, last revision 01/09/2020