![]() |
![]() |
![]() |
![]() |
![]() |
![]() |
![]() |
![]() |
![]() |
![]() |
![]() |
![]() |
![]() |
![]() |
近中牙槽窝种植方便
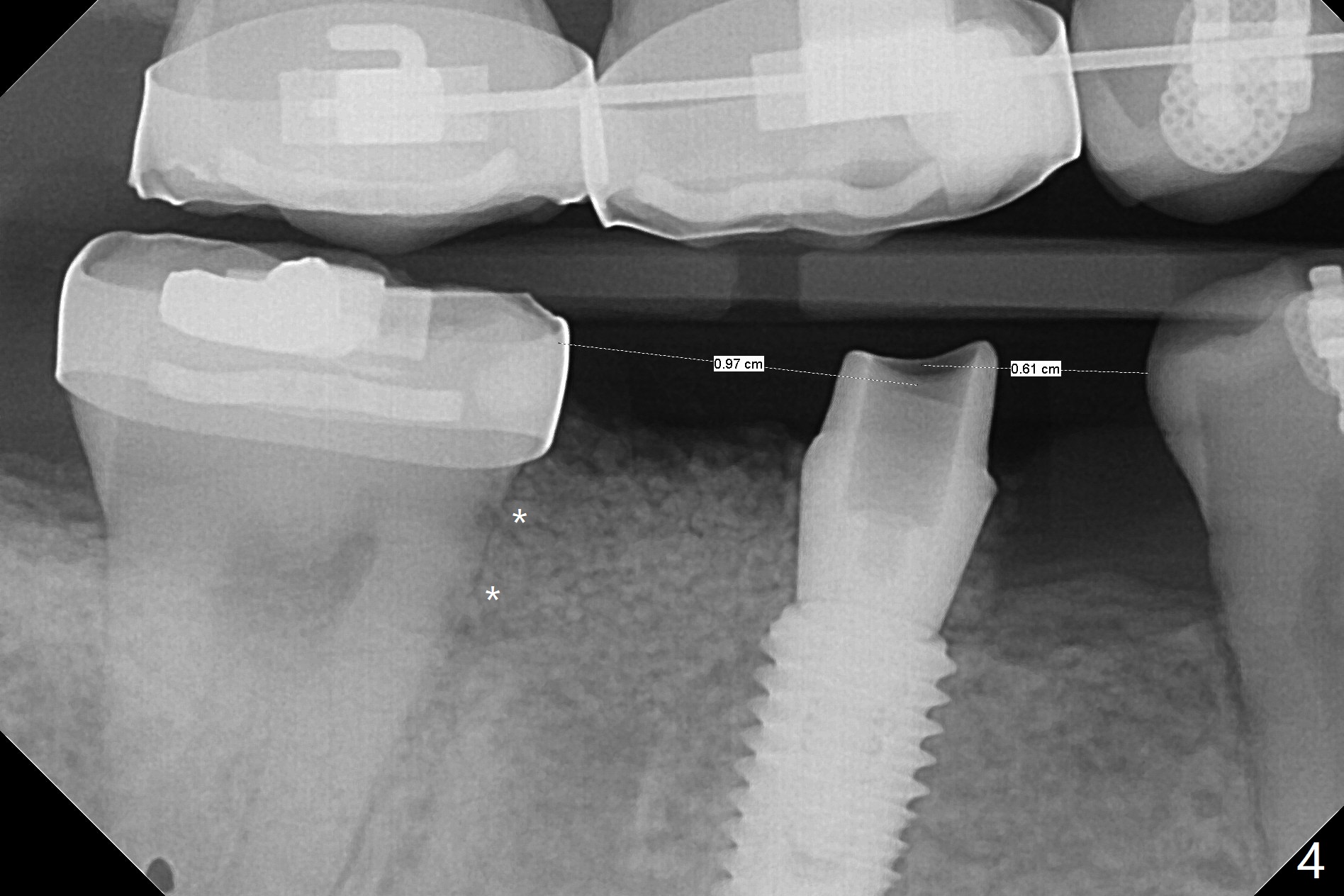
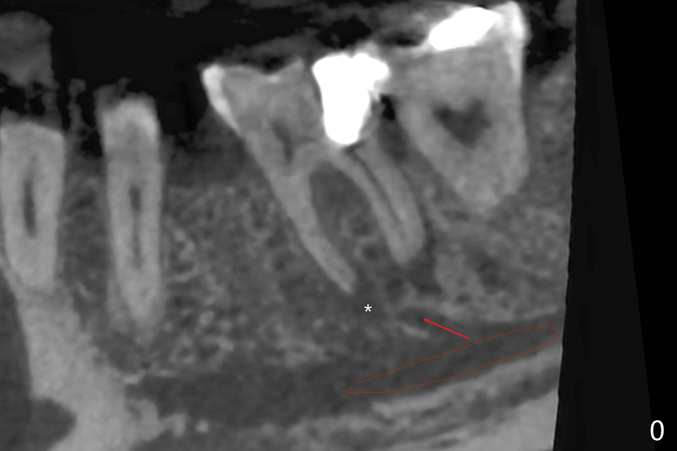
35岁男牙齿矫正后2年5个月右下6远中深龋,拔除后,近中根尖肉芽组织(图零(术前CT冠状切面):*)刮除疼痛,必须阻滞麻醉才能控制疼痛,可能与下牙槽神经分支(图零:红箭头)有关。原先准备在近中牙槽窝近中种植(5x11.5mm),术中发现近中牙槽窝种植好像方便,位置不错,不由自主在那里开始钻洞,由于牙槽窝深,钻洞必须13毫米(图一(接近神经:红虚线)),之后发现钻洞(图二(术前CT3D长轴切面(黑色:近中,远中牙槽窝)):红圆圈)不够理想,使用Lindamann Bur将钻洞往颊侧近中移动(图二:箭头),最终在这方面结果可以(图三,三’,四),虽然接近神经,术后没有神经麻痹。放置粘性骨粉(图四:*),PRF膜,4-0 PGA缝线(图五),最后使用树脂敷料(图六:A)。后牙垂直空间少,术后一周需要降低树脂敷料高度(图七)。术后一个月取出敷料,牙槽窝愈合,植体平台远中稍微暴露(图八),准备一个月后制作临时牙冠。术后两个月植体远中没有暴露,但是基台远中边缘太高了(图九:>),换成6x4毫米愈合基台。下个月换成袖短的修复性基台,安置临时牙冠,牵拉7。舌侧cleats之间放置power chains,颊侧power hooks。其实术后4个月安置临时牙冠和band(图十),牙冠牙合面加高,这样7可以无阻挡移动(图十一:*;16x22 arch wire)。7远中放置power hook行不通,因为末端碰到颊侧前庭牙龈,造成创伤。只好用7颊侧原有牵引勾,在6近中安置一个短的power post (? 图十:箭头),按常规post往下,之间放置12毫米closed spring。如果post往上安置,7牙根牵引可能更有效?近中牵引一个月,第二磨牙前移大约2毫米(图十二:^),稍微近中倾斜,closed spring从12毫米更换到9毫米,舌侧换新的power chains x 4。下一个预约,用sensor 1拍摄根尖片证实第二磨牙近中倾斜,然后在它远中16x22钢丝安放power hook,下缘向颊侧弯曲,避免接触接触粘膜。
Return to
Prevent Molar Periimplantitis (Protocols,
Table)
No
Caries
Ortho Cases
Torque
Xin Wei,
DDS, PhD, MS 1st edition 03/17/2021, last revision
08/15/2021