![]() |
![]() |
![]() |
|
![]() |
![]() |
![]() |
![]() |
![]() |
![]() |
![]() |
|
![]() |
|||
2nd Stage of Ortho M
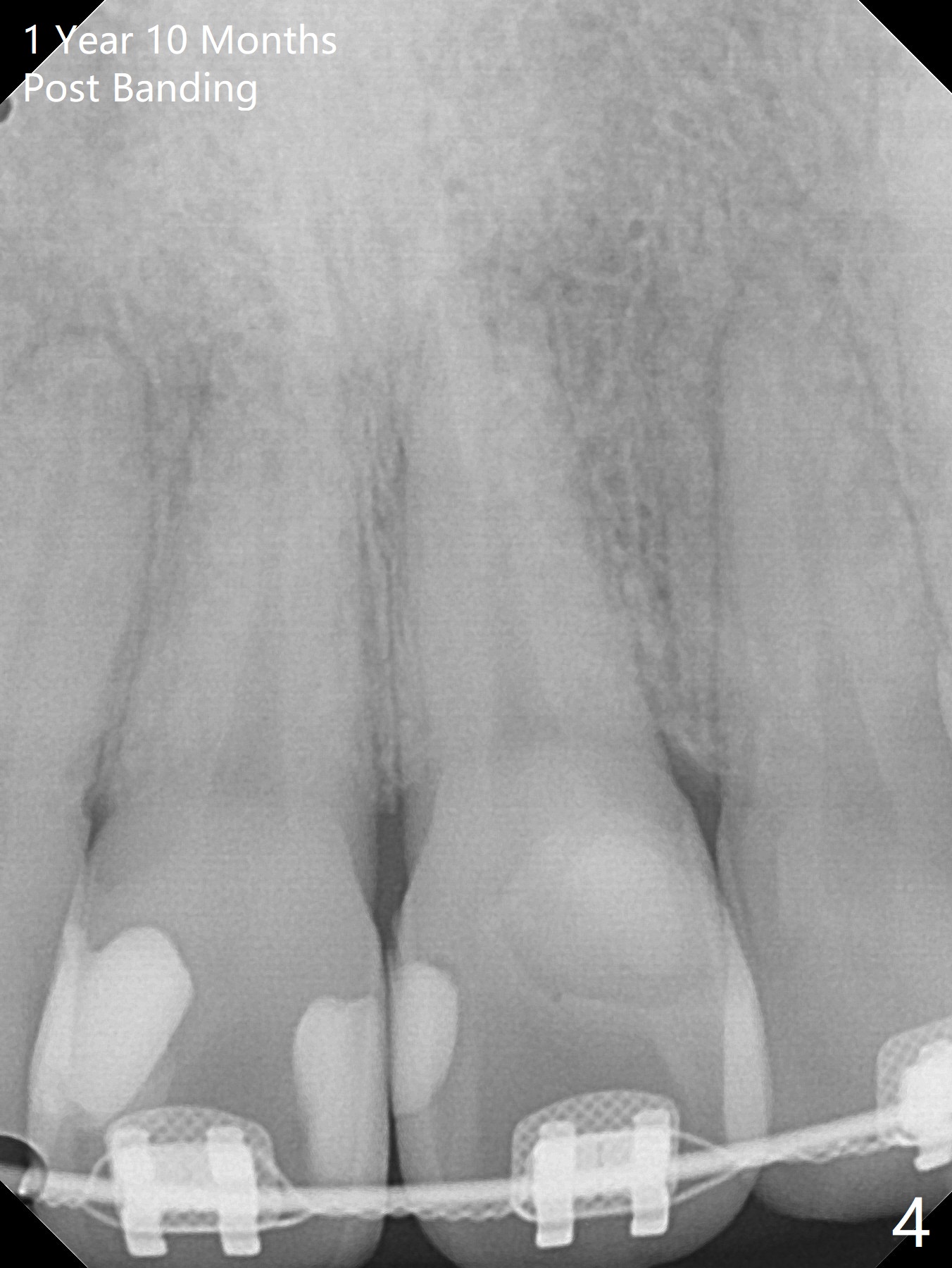
One year 4 months post banding (M) with 16x16 wires, UR3 is being distalized using UR7 as anchor (Fig.1), while the upper dental midline matches the facial one (Fig.2). The anterior overjet remains large (Fig.3). When UR3 is fully distalized, place posted wire to distalize U2-2 together. U2-2 distalization seems to be slow with one 16 mm closed coil spring each side (between 7 and post) 1 year 10 months post banding. Since the upper anterior PA shows mild root resorption at UR2 (Fig.4), a 14 mm closed coil spring is added each side (between 6 and post, Fig.5,6). LR6 has pain 2 years 2 months post banding (Fig.7). Debridement confirms non-salvageability; a 5x11.5 mm implant will be near the mesial root (Fig.8). Power chains for a month leads to closure of the gap between 3 and 4 (Fig.8-11). The space between 4 and 7 is 15 mm. A 12 mm 1st molar crown will be made, while the remaining 3 mm space will be closed by mesialization of 7 using 2 power posts mesial and distal to 6 and 7. Draw 2 tubes of blood. Make an incision to expose the mesial crest of 6.
Return to
Ortho Cases
Metronidazole
No
Caries
Xin Wei, DDS, PhD, MS 1st edition
03/07/2020, last revision
03/17/2021