![]() |
![]() |
![]() |
从对颌牙没有过度萌出谈起
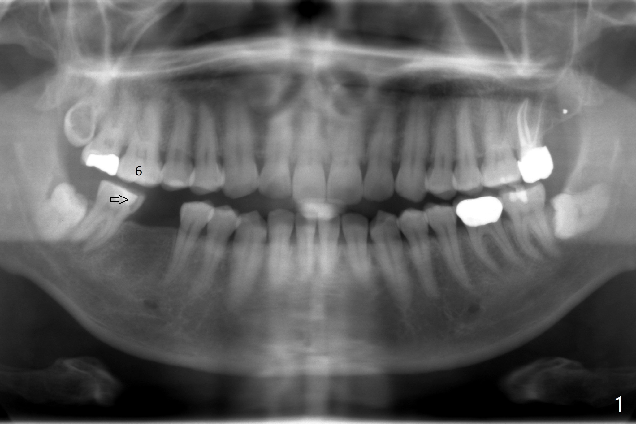
54岁男缺失右下6大约20-30年,但是右上6却没有过度萌出,因为右下7好像近中移位(图一:箭头)。3年前在没有CT检查下,根尖片设计表示植体直径可以4.5毫米(图二)。尽管现在CT检查表明骨头颊舌侧宽度允许5毫米植体(图三),4.5毫米植体(缺牙区近远中间隙小)可以让植体颊侧,舌侧骨板接近2毫米,加上导板应用,以及足够角化龈(临床检查显示),延长植体寿命是比较现实的事情。
Return to
No
Caries
手术
Xin Wei,
DDS, PhD, MS 1st edition 11/06/2020, last revision
12/01/2020