![]() |
![]() |
![]() |
![]() |
愈合基台就位
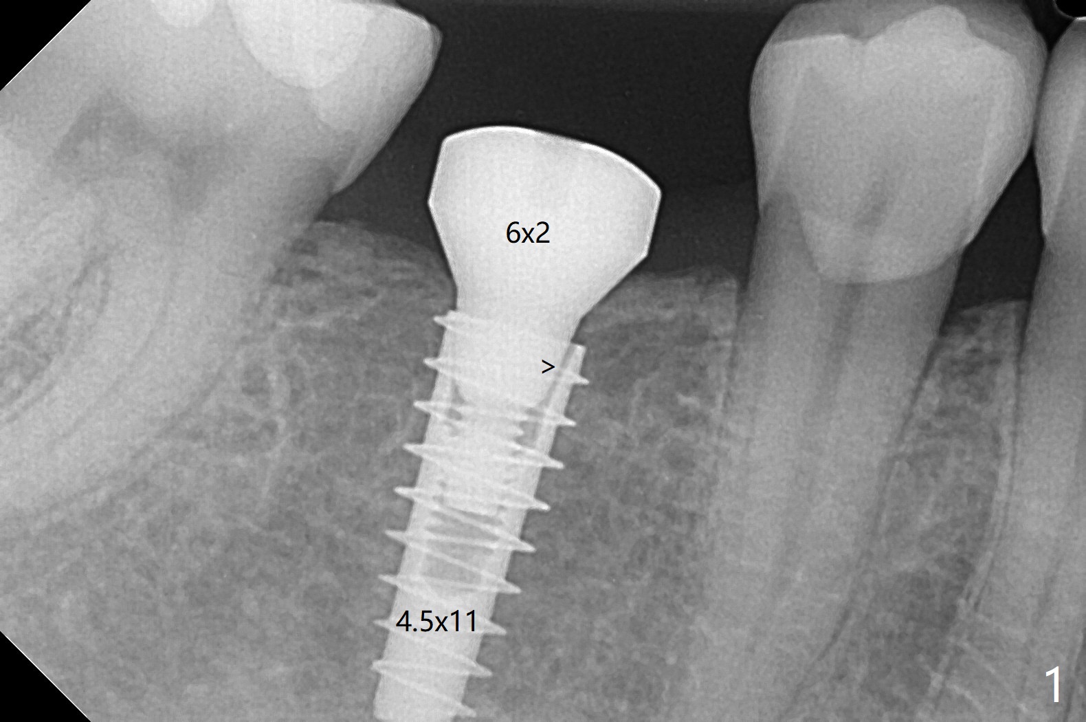
54岁男右下6缺失至少20年,牙槽嵴萎缩,使用导板顺利快速(五分钟)无痛植入4.5x11毫米植体(图一)。使用5.5毫米profile钻头后,放置6x2毫米愈合基台,后者明显没有就位(图二:箭头)。换一个基台,就位好些(图二)。再次使用同一个profile钻头后,可能去除一些近中皮质骨(图二:*),同一个基台完全就位(图三,四(红色虚线:下牙槽神经管上缘)),在愈合过程,基台不太可能脱落了。图一,二使用小sensor,而图三,四:大sensor。尽管使用小钻头(3.5毫米),扭力约20Ncm。
Return to
No
Caries
Xin Wei,
DDS, PhD, MS 1st edition 12/01/2020, last revision
12/01/2020