![]() |
![]() |
![]() |
![]() |
Composite Marker
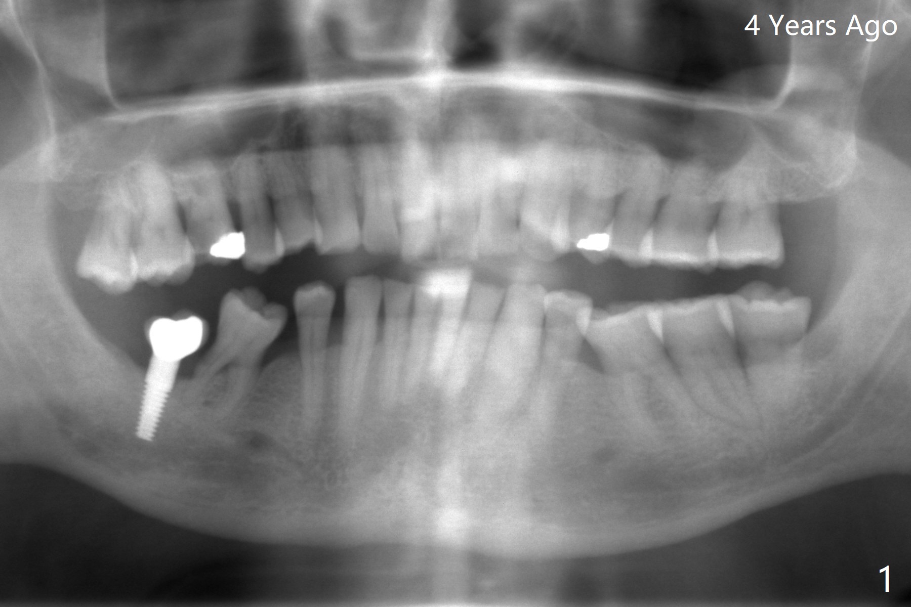
64岁男4年前完成右下7种植,局部矫正病人半途而退(图一),最近6不能保留,准备拔除6;5,6种植。为了减少射线干扰,在3,4(no bonding),7咬合面放置树脂标记(图二:*),先拍摄CT(图三),然后取模或者口腔扫描,DICOM, STL文件/图像就可以融合,制作准确导板(图四)。5,6金属圈不在一个平面,前者有利于钻洞准确,后者有利于钻头进入,常用于第二磨牙,张口度有限时。
Return to
No
Caries
Webinar
植牙,导板与正畸
Xin Wei,
DDS, PhD, MS 1st edition 01/09/2021, last revision
01/10/2021