![]() |
![]() |
Splinted Provisional
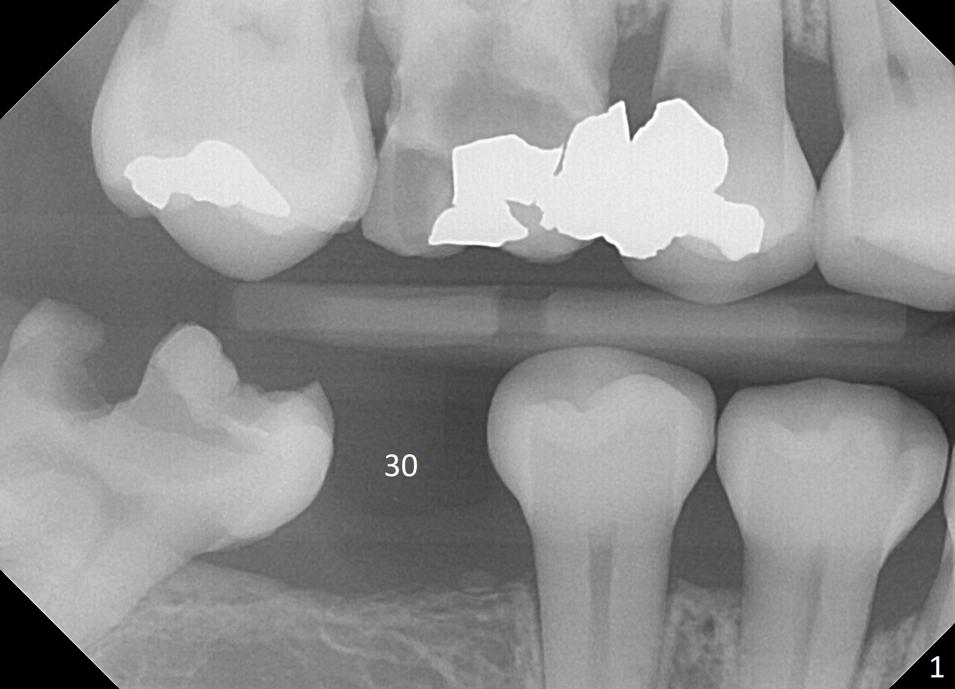
A 54-year-old woman has poor dentition (Fig.1). The teeth #3 and 4 have had composite with crowns and/or RCT pending, while IRM has been placed at #31. Since the temporary restoration is breaking down at #31, composite will be placed with Isolite. Crown prep will be also done at #31, especially mesially, and splinted provisional will be fabricated at #30 and 31 immediate following #30 implant placement. If the ridge at #30 is narrow, ridge reduction will be done with possible use of a 3.5x10 mm or 8.5 mm 1-piece implant (Tatum or IS, Fig.2). Prepare implant positioner. Under prepare the site because of low density bone.
Return to
Lower
Molar Immediate Implant, Armaments
Xin Wei, DDS, PhD, MS 1st edition 11/22/2017, last revision 05/11/2018