![]() |
![]() |
![]() |
![]() |
![]() |
![]() |
Two-Pointed Fixation
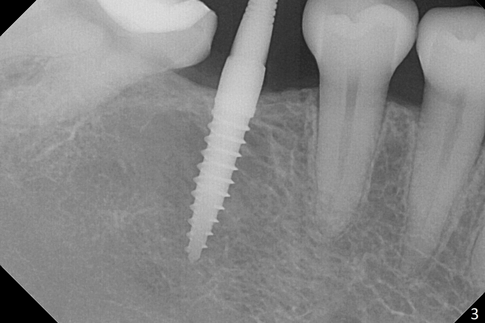
When a 1.2x12 mm drill is placed at #30, it passes the bone cavitation (Fig.1 red dashed line (low density)) twice for two-pointed fixation. So does the 3x12(2) mm 1-piece implant (Fig.2,3). The mesial margin of the tooth #31 is further reduced prior to suturing and periodontal dressing. Impression is taken 5 months postop (Fig.4). Residual cement mesial to the crown at #31 is later removed (Fig.5). Since the crowns were made at #30 and 31 at the same time, there appears no food impaction in between (Fig.6, 5.5 months post cementation).
Return to Lower Molar Immediate Implant, Armaments Xin Wei, DDS, PhD, MS 1st edition 12/05/2017, last revision 11/29/2018