![]() |
![]() |
![]() |
![]() ![]() |
![]() |
远中偏移
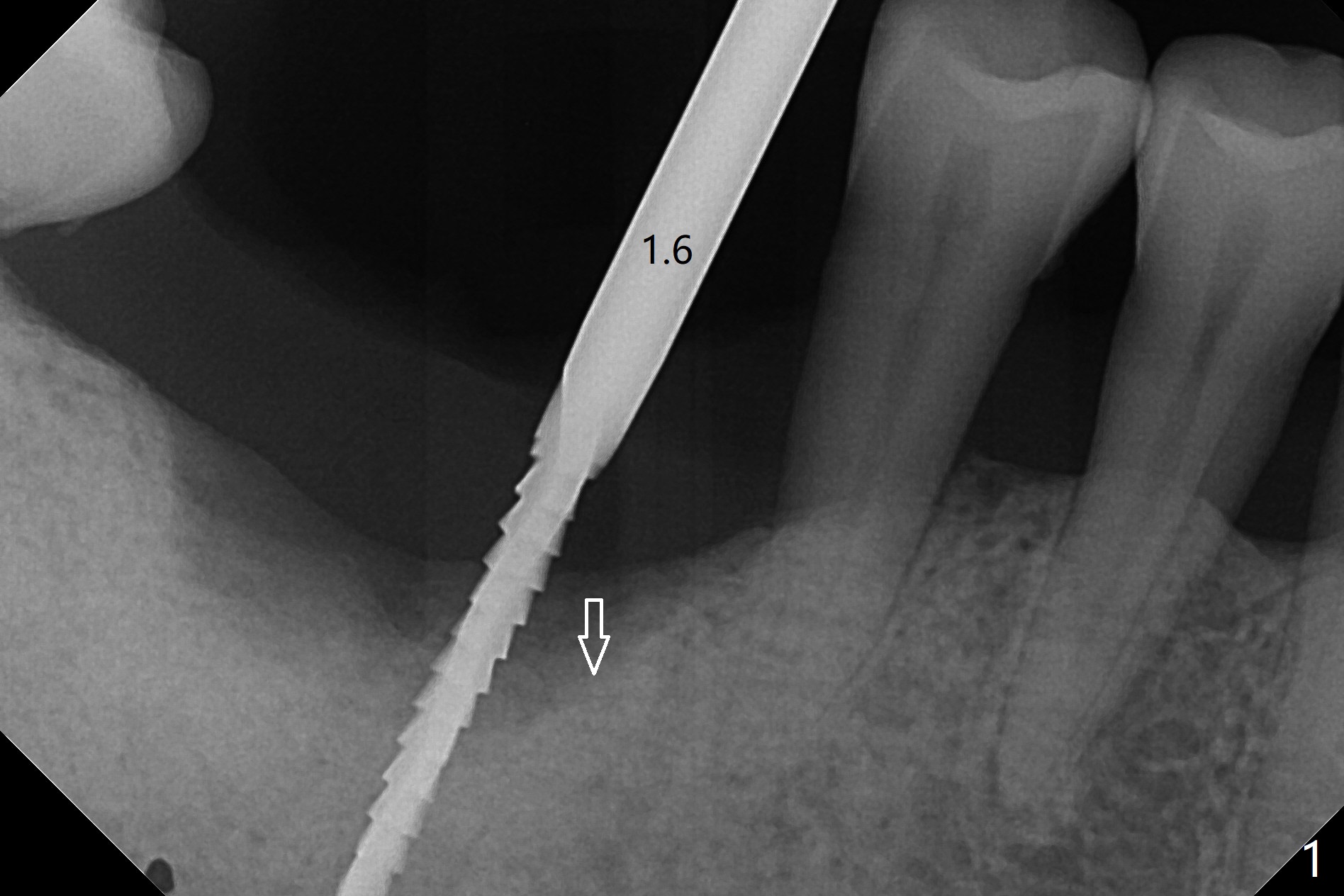
69岁男因疼痛回来拔除右下6,保留中隔牙龈,在近中牙槽窝开始钻洞(图一:空箭头),但是由于近中斜坡,最终1.6毫米先锋钻远中偏移。远中骨质高度减少,原先计划近中牙槽窝深度7毫米,当钻头滑到接近中隔,钻头尖口内接近神经,病人感到疼痛(浸润麻醉)。block anesthesia下,放置4x9毫米报废植体(图二),口内显得太长,所以选择4x7毫米植体(图三),基台就位。第一次放置骨粉远中不足(图四:*),再次植骨,好像达到目的(图五:*)。覆盖PRF膜后,放置树脂敷料(图六:A)。
Return to
Prevent Molar Periimplantitis (Protocols,
Table)
No
Caries
螺丝松动
Xin Wei,
DDS, PhD, MS 1st edition 03/11/2021, last revision
03/14/2021