![]() |
![]() |
![]() |
![]() |
![]() |
|
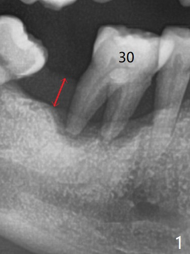
厚牙龈,浅种植
69岁男拔除左上5后右下6疼痛,要求拔除,骨质吸收严重,牙龈厚(图一:双箭头),其实后者是好事,血供好,植牙可以种植浅些(图二),周围放置骨粉(图三:红圆圈)。拍摄根尖片:近中牙槽窝种植与中隔种植,植体长度有优势(图五,四)。
Return to
Prevent Molar Periimplantitis (Protocols,
Table)
No
Caries
Metronidazole
螺丝松动
Xin Wei,
DDS, PhD, MS 1st edition 03/08/2021, last revision
03/14/2021