![]() |
![]() |
![]() |
![]() |
![]() |
![]() |
![]() |
![]() |
![]() |
![]() |
![]() |
![]() |
![]() |
如何修复左下六远中骨缺损?
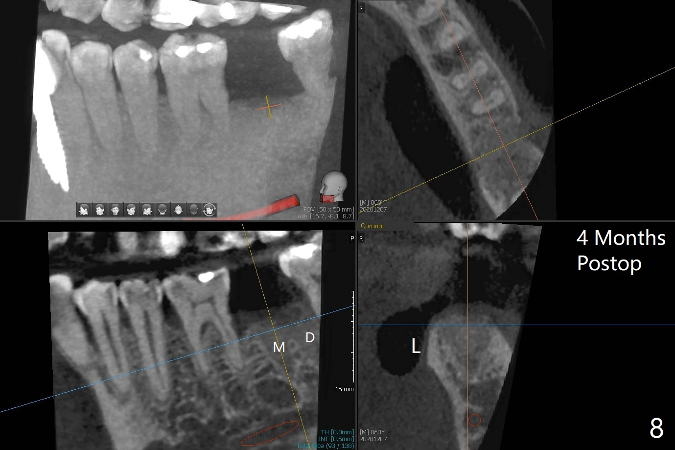
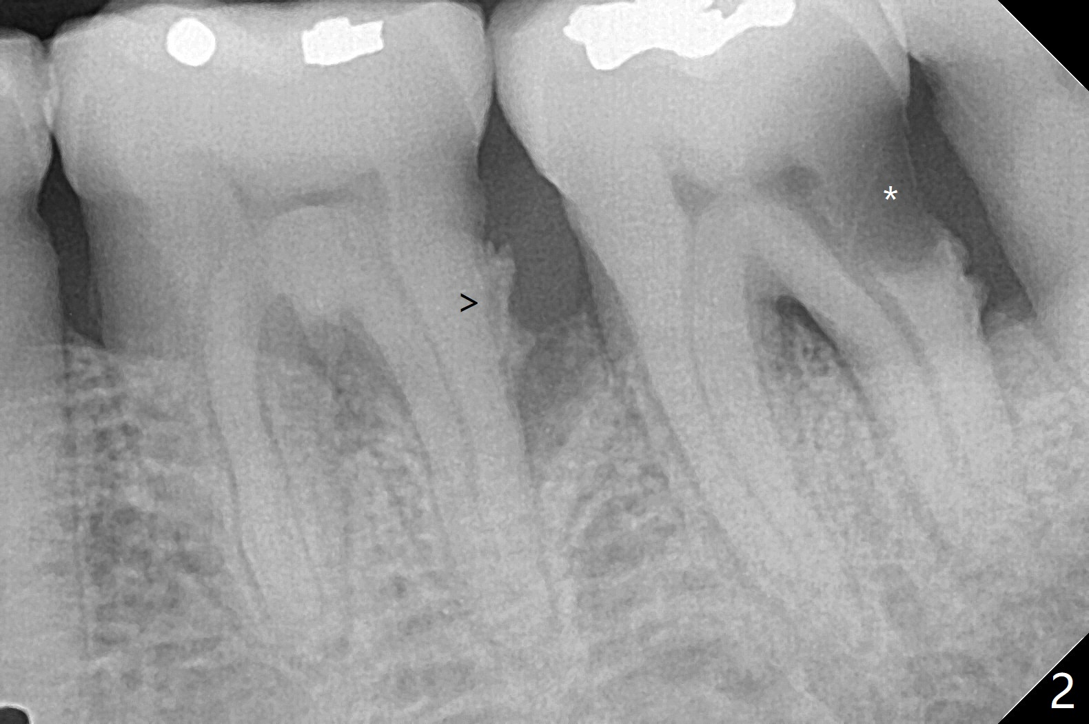
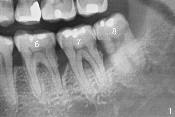
60岁男,吸烟,口腔卫生不好,不积极配合治疗,下前牙两个植体螺纹暴露,但是没有症状。两年中,左下七(图一,二)不能保留(图三),虽然六远中结石被清除(图三>),七位点保留(图四 *)时未能顺便在六远中填入骨粉(用血混合,胎盘膜覆盖)。四五个月后,七种植时将钻头骨粉放置于六远中缺损处,如何才能让骨粉在患处生根发芽?术后一个月,去除树脂敷料后,最表面骨粉未能被整合,下面骨粉好像已经与肉芽组织结合了(图五),其实根尖片应该拍摄证实这一点。吸烟者血供不好,愈合欠佳。术后三个月牙槽嵴宽(图六);高度稍微减低(图七)。术后4个月CT显示近中牙槽窝正好位于缺牙区正中(图八),所以植体必然进入近中窝(图九)。
完成钻洞后(图十),潜行分离(掀开)近中牙龈(图十一),去除6远中肉芽组织和结石(图十二),涂Endogain,放置粘性骨粉(图十三),最后放置植体。
Lower Molar Immediate Implant No Deviation Next Case to Improve 手术 第二磨牙即种
Xin Wei, DDS, PhD, MS 1st edition 08/11/2020, last revision 04/21/2021