![]() |
![]() |
![]() |
![]() |
Bone Graft on Neighboring Roots
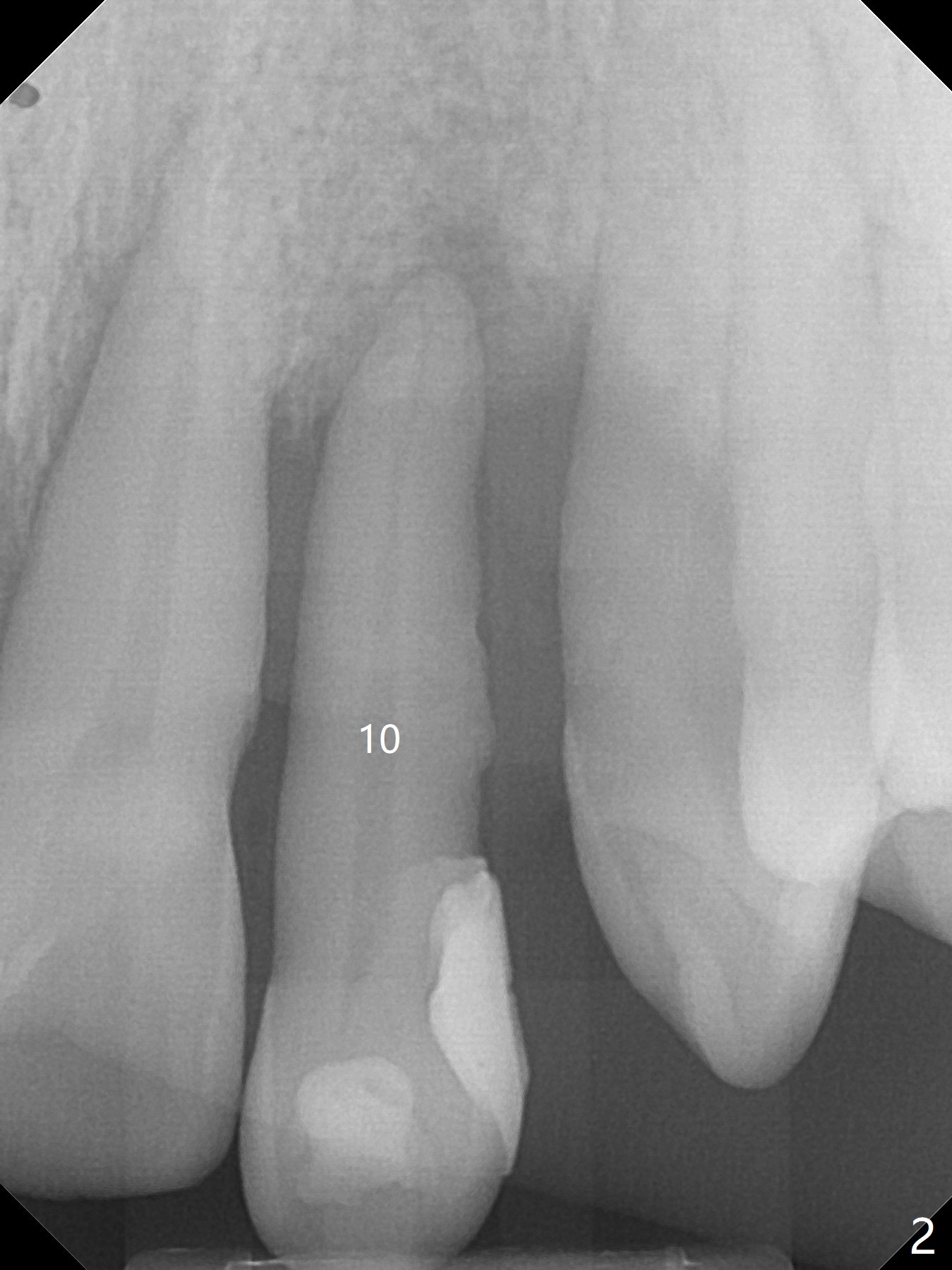
A 44-year-old man with generalized periodontitis (Fig.1) will return to clinic for #10 extraction (Fig.2) prior to brain tumor removal. Immediate implant (Fig.3) or not, sticky bone will be placed on the root surface of the neighboring teeth (Fig.4 red circles) after SRP. Place PRF membrane as early as possible, e.g, buccal, to avoid waste.
An experiment will be performed to see which tube (red or white, one each) is more efficient in producing sticky bone. Centrifuge for 3 minutes (1500 RPM). Use a disposable pipette to withdraw supernatant from each tube (white first) in an equal amount, place in 2 dappen dishes (same type, and size, labeled W and R, with equal amount of allograft) and mix (video to determine how long to take to form sticky bone). Before use, take photo or video to compare hardness of the sticky bone associated with white and red tubes. Since the white tube has no additive (keeping Fibrinogen from changing to Fibrin), it is better to form sticky bone. In contrast, the red tube contains Silica (facilitate coagulation), better in formation of PRF membrane.
Return to
No Deviation
Clindamycin
Xin Wei,
DDS, PhD, MS 1st edition 08/12/2020, last revision
08/18/2020