![]() |
![]() |
![]() |
|||
![]() |
![]() |
![]() |
|||
![]() |
![]() |
![]() |
![]() |
![]() |
![]() |
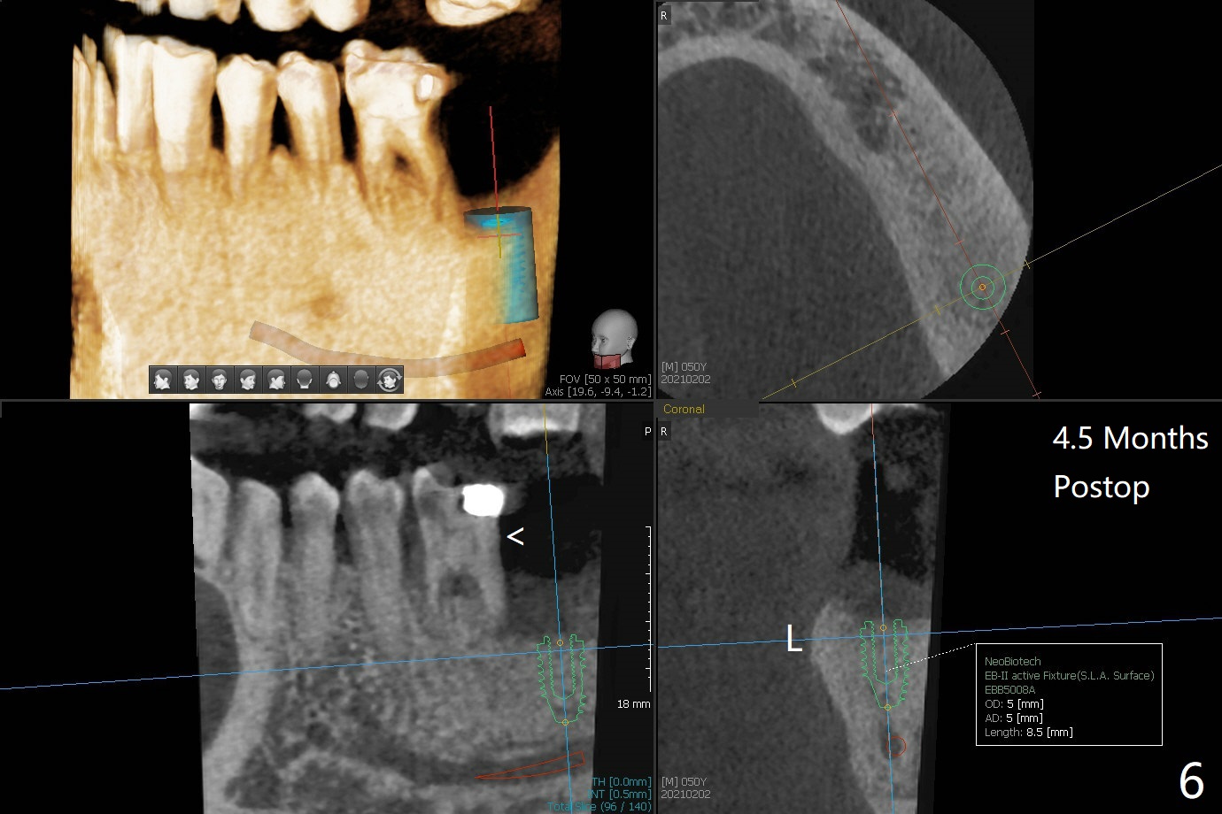
需要位点保留?
50岁男两年前不肯拔除左下7(图一),现在主动要求治疗(图二),需要做位点保留?怎么做的好?怎么收拾不动脑筋的惨剧(图三:仅远中牙槽窝植骨)?其实需要掀开近中粘骨膜(图四:箭头),然后植骨(红圆圈)。术后4.5个月近中缺损(图五:*),需要植牙植入很低(图六),离邻牙CEJ(<)很远。因此植体应该植入浅些(图七(CT矢状切面):箭头),离牙龈3毫米。放置袖3毫米(图八:粉红色)基台(紫色),然后在基台和植牙浅部植入粘性骨粉(图九:红圆圈)以及PRF膜(蓝线)。从冠状切面来看,颊侧(图十:B)需要多植骨,植牙前翻瓣(图十一:箭头),放置基台后(图十二),放置骨粉,膜,缝合。No Deviation 14 手术 Xin Wei, DDS, PhD, MS 1st edition 09/22/2020, last revision 03/02/2021