表浅种植

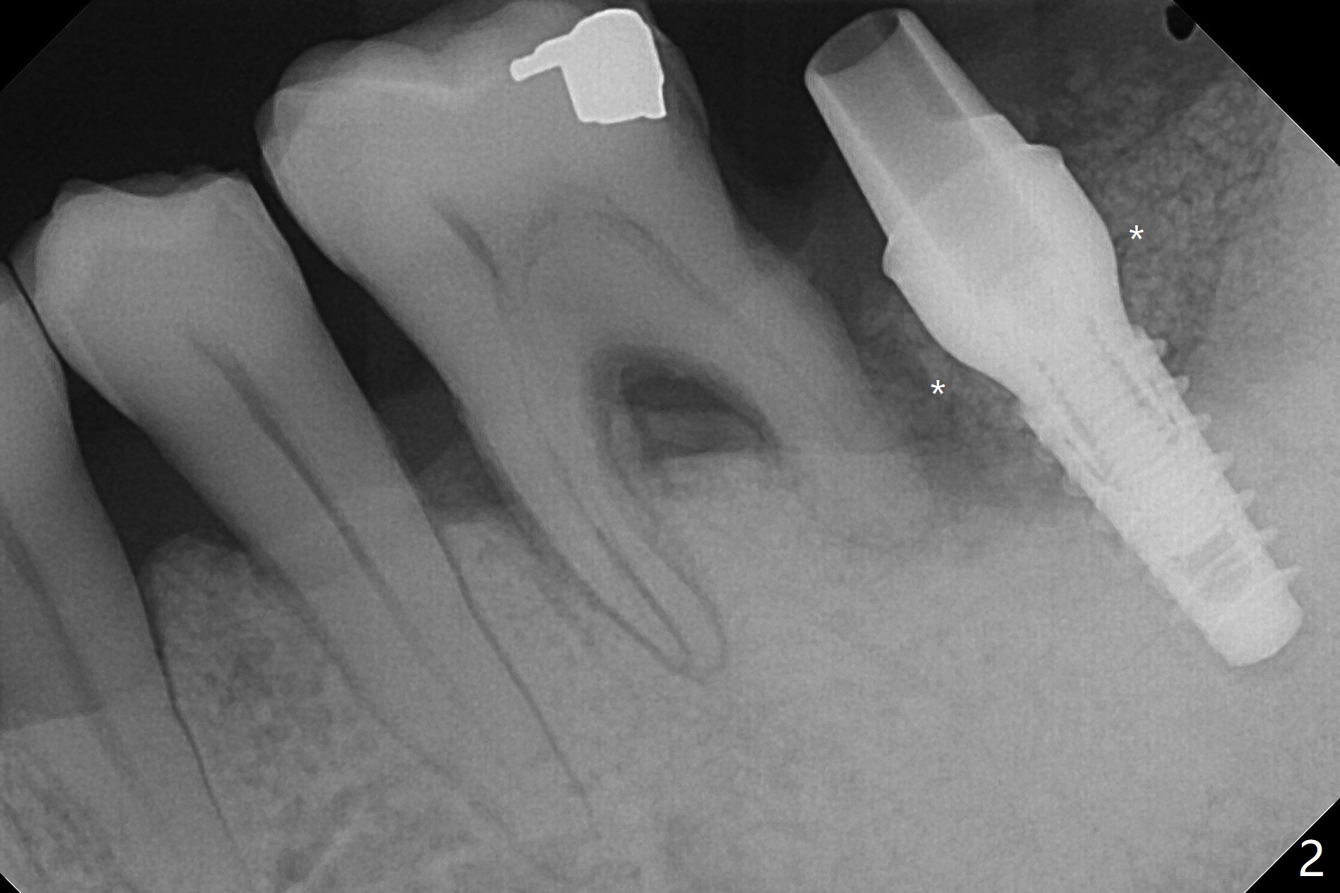
下颌第二磨牙严重骨质吸收翻瓣种植,视野挺不好,多亏导板,植入勉强过关(图一),由于植入大量粘性骨粉(图二:*)和两张PRF膜,近中舌侧切口缝合困难,使用树脂敷料固定。

Return to No Deviation
Xin Wei, DDS, PhD, MS 1st edition 03/02/2021, last revision 03/02/2021