![]() |
![]() |
![]() |
![]() |
![]() |
![]() |
![]() |
No Immediate Implant M
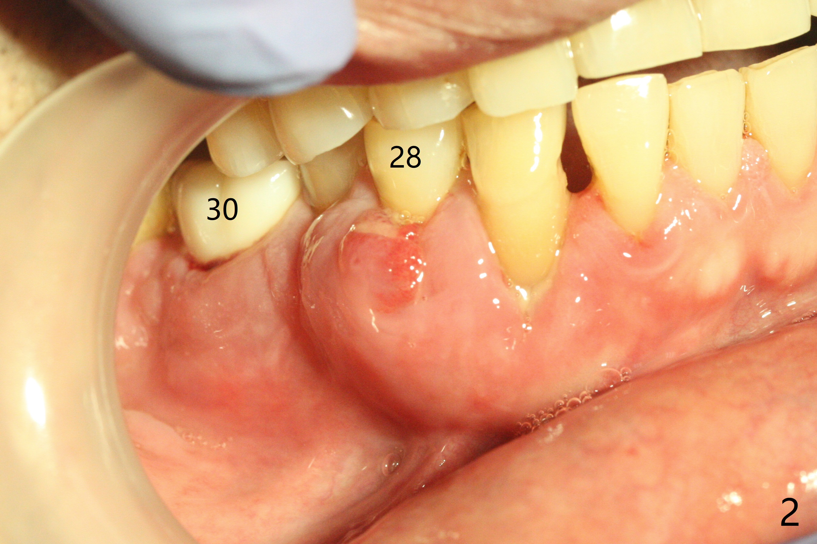
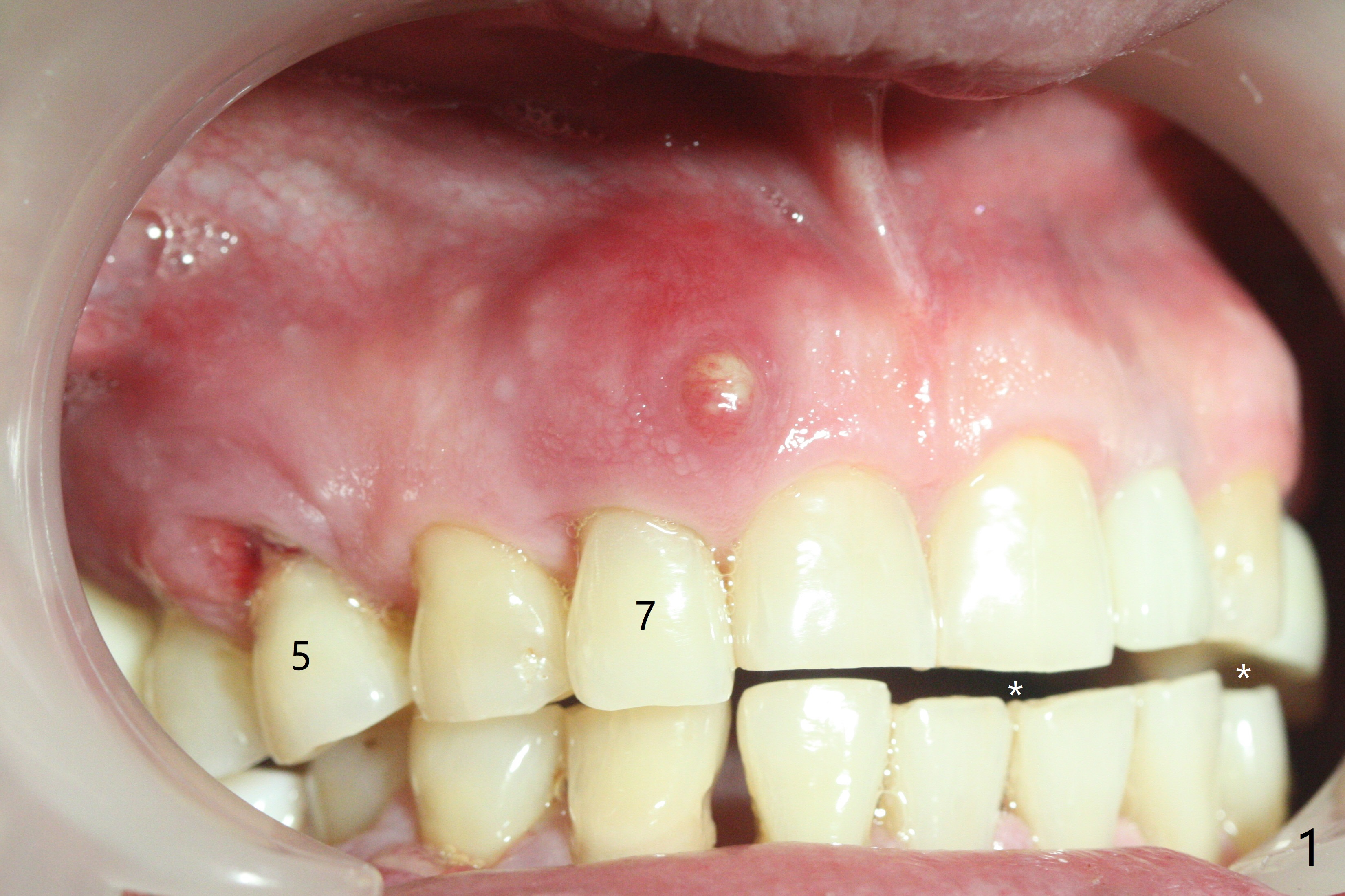
A 67-year-old man returns for periodic exam and #19 impression (Fig.3), which is impossible because there is open bite on the left (Fig.1 *). The latter is related to several periodontal abscesses (supraeruption, Fig.1,2). His chief complaint is mobility of #31 (Fig.3,4). Due to severity of infection, #31 is extracted with bone graft retained by Titanium-Reinforced Membrane (Cytoplast, Fig.5 T). PTFE suture is used. It is easy to tie knots with this non-resorbable (absorbable) suture. The Titanium-Reinforced Membrane exposes 1.5 months postop (Fig.6), which makes its removal easy (Fig.7). In fact the patient is pre-diabetic.
Return to
Lower
Molar Immediate Implant,
No Deviation
7
Xin Wei, DDS, PhD, MS 1st edition
01/03/2020, last revision
10/21/2020