![]() |
![]() |
![]() |
![]() |
![]() |
|
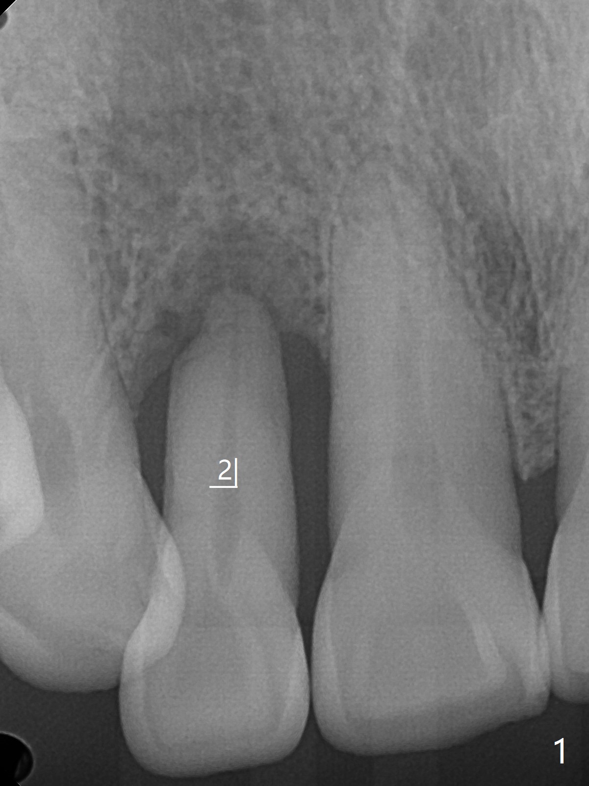
小植体种深,长基台
68岁男要求拔除右上2松动牙(图一),尽管近远中空间大,不能象左上2种大植体(图二,五)。右上2骨质吸收严重,植体应该植入深,牙龈厚(6毫米,图三,四),需要长基台,放置粘性骨粉修复骨质缺失。PRF膜好像用处不大,PRF上清液适当多用于制作粘性骨粉。准备牙周洁治器和Endogain,让骨粉与邻牙牙根结合。
Return to
No
Caries
Metronidazole
19
31
Xin Wei,
DDS, PhD, MS 1st edition 10/21/2020, last revision
01/14/2021