![]() |
![]() |
![]() |
|
![]() |
![]() ![]() |
![]() |
|
创造垂直距离
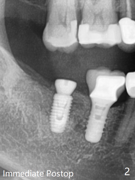
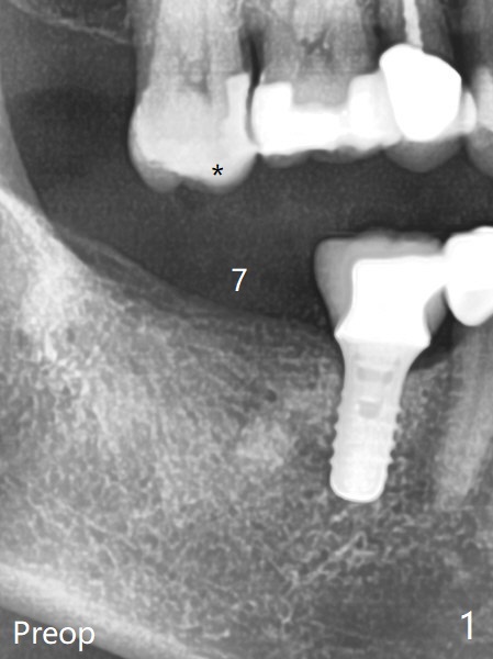
61岁女右下7导板钻洞,第一个钻头(环形钻)就有困难入位,部分磨去对合7近中腭侧牙尖(图一:*),钻头入位就好多了(图二:^,对比)。钻洞时发现骨质密度中等,所以最后钻头直径4.5毫米。不过无法用手植牙工具旋入植体,使用5.0毫米功螺纹钻头后,手工具就好用了,植体植入一定深度,扳手有空间插入,最后扭力30Ncm。第二个问题,当按照设计深度植入植体,用探针检查颊侧好像没有骨壁;加深大约0.5毫米(仿佛没有取到目的,颊侧骨板不明显)后,使用6毫米profile钻头,插入5.5x3毫米愈合基台(图二,三),在基台和颊侧牙龈之间植入异体骨粉,但愿帮助颊侧骨板再生。术后一周内敷料脱落,颊侧伤口愈合,好像骨粉没有流失。术后2.5月愈合基台脱落,换至小号基台(4向毫米),仍旧疼痛,休息2分钟,手拧紧,拍摄根尖片,仿佛就位(图四)。准备一周后调换稍微大,例如,4.8毫米基台。术后3.5个月,5.2毫米基台好像没有就位(图五:<),可能与远中牙槽嵴接触(*)。小一号基台仿佛就位(图六),与远中牙槽嵴无接触。术后4个月粘固后基台螺丝拧紧30Ncm。术后8个月,也就是粘固后4个月,牙槽嵴似乎试图覆盖植体平台(图七:箭头)。
Return to No Caries 下一个病例 导板与张口度 Screw Torque Xin Wei, DDS, PhD, MS 1st edition 12/08/2020, last revision 08/12/2021