![]() |
![]() |
![]() |
![]() |
不必攻螺纹
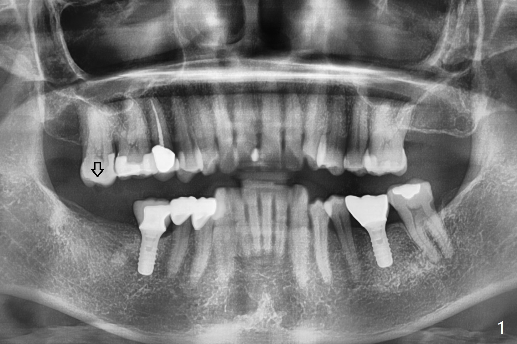
61岁女同意先做右下7植牙,可能困难是对合牙过度萌出(图一:箭头),还好对合牙牙尖比较长,有余地磨除。虽然牙槽骨很宽(图二),但是牙槽嵴顶(图三:>)缺乏皮质骨,密度很低(图四)。所以钻头必须小(4毫米),不必攻螺纹。
下次在左上7种植时先使用dummy植体,如果发现因垂直距离不足植入困难而扭力足够,改用短植体。
Return to
No
Caries
手术
导板与张口度
Xin Wei,
DDS, PhD, MS 1st edition 11/09/2020, last revision
01/01/2021