![]() |
![]() |
|
![]() |
![]() |
![]() |
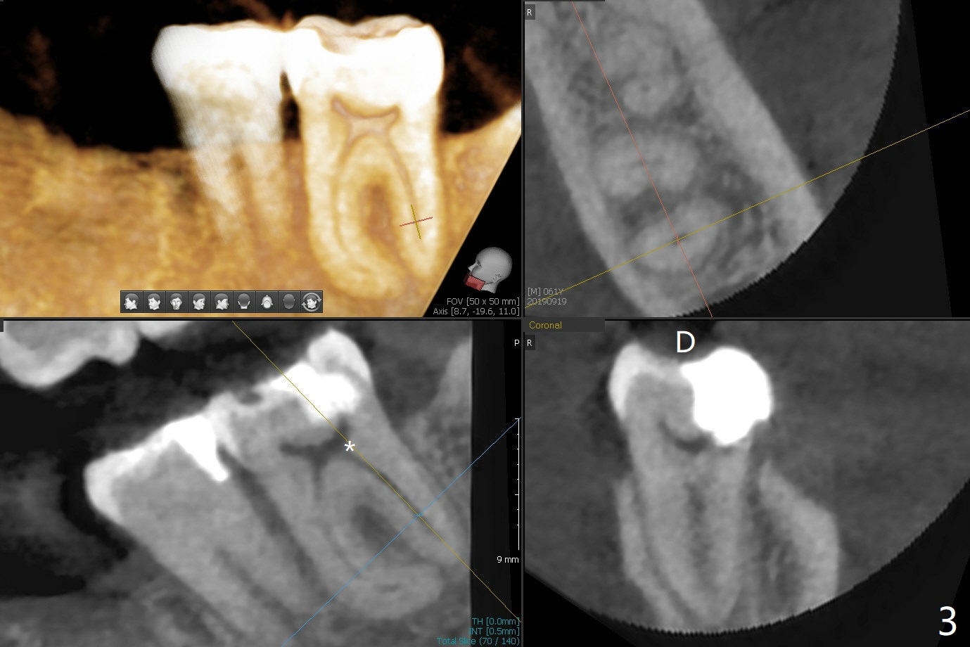
Implant or RCT at #17?
The tooth #17 is symptomatic 1.5 months post sedative filling (Fig.1 S). If the long implant (5x13 mm) may not be feasible distal with guide, RCT seems to be a better alternative (Fig.2-5). To overcome the curved and fine mesisal (M) canals, straight line access will be provided (Fig.4,5 black areas).
Return to
Lower
Molar Immediate Implant,
Prevent Molar Periimplantitis (Protocols,
Table),
Armaments,
Trajectory
Trajectory II,
Clindamycin Metronidazole
No Antibiotic,
Professionals,
19
Xin Wei, DDS, PhD, MS 1st edition
09/22/2019, last revision
09/22/2019