![]() |
![]() |
![]() |
![]() |
失去最佳治疗手段(即刻植牙,导板,PRF)
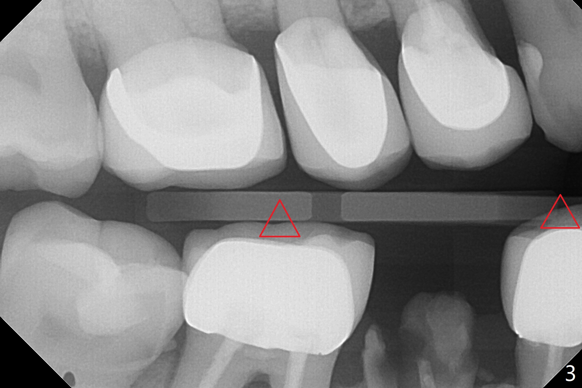
今天遇见一位特殊病人,54岁女,“右下一个牙齿断裂,我觉得一定要拔 (图一:5)。能不能同时种牙,减少痛苦。不过你是医生,一切由你决定”。为了炫耀,介绍导板,她还没有提钱的问题,估计必须再等十年才能碰见怎么有远见的土豪(夸张)。所以我们迫不及待拍摄CT,然后取模。至今有没有不对的地方,尤其是拍摄CT。要做导板周围(前后)有牙冠,在拍摄CT下,会产生折射(图二:*),影响CT精确度,不能与口内模型互相融合,从而影响导板精确度。如果实在想做导板,必须事先在牙冠上制作树脂cone(图三:红色三角形),然后拍摄CT和取模(或者scan),实验员才能准确融合两个图像。对于这个病例,只能做徒手种植,减少射线。不过增加手术时间,为了不损伤颏神经(图四),可能需要多次拍摄根尖片,增加无限的烦恼,一失足成千古恨。但是不会失去最后一个手段:PRF。
Return to
No
Caries
Clindamycin
植牙,导板与正畸
Xin Wei,
DDS, PhD, MS 1st edition 01/06/2021, last revision
01/09/2021