![]() |
![]() |
![]() |
![]() |
![]() |
![]() |
![]() |
![]() |
Open & Closed Socket Shield
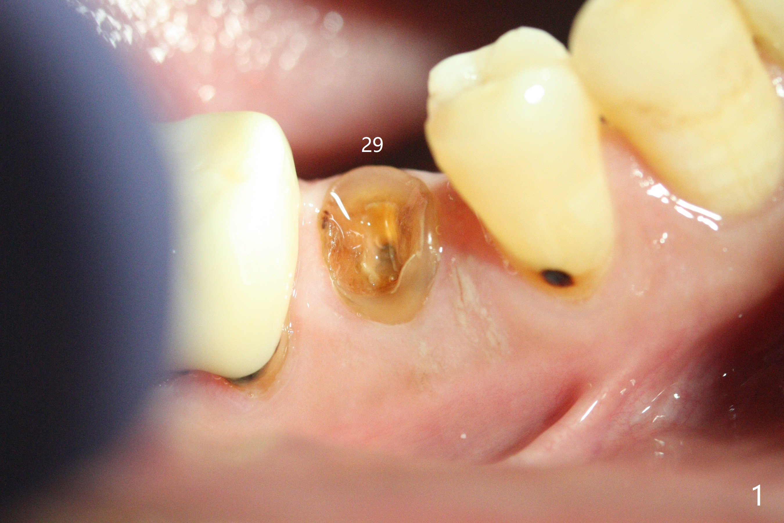
Since the root surface at #29 is distinct (Fig.1), while that at #21 is not (with subgingival caries, Fig.2), closed and open socket shields are done at #29 and 21, respectively (Fig.3,4 S), followed by implant placement with guide (Fig.4-6). With socket shield, there is limited remaining space for bone graft (Fig.4). The shield associated with the closed technique is exposed nearly 2 months postop (Fig.7), while the one associated with the open technique is not (Fig.8). The buccal plate is minimally atrophic with either technique.
Return to Lower Premolar Immediate Implant, Trajectory II Next Case Xin Wei, DDS, PhD, MS 1st edition 10/03/2019, last revision 12/08/2019