![]() |
![]() |
![]() |
![]() |
![]() |
![]() |
![]() |
![]() |
![]() |
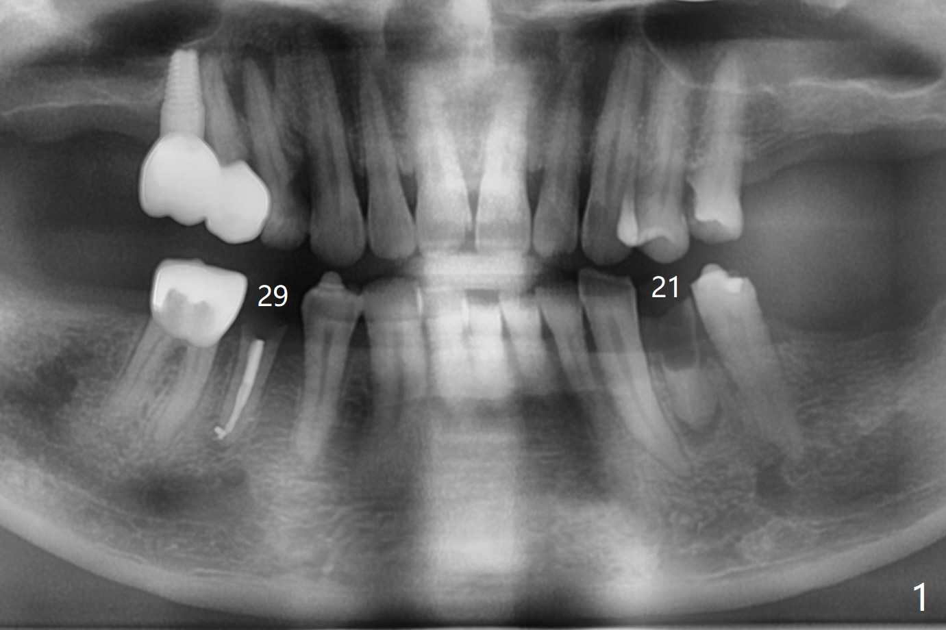
Implant Placement Position and Level
A 52-year-old man chooses to take care of the teeth #21 and 29 first due to finance (Fig.1). The implant diameter should not be too large because of the moderate mesiodistal space (Fig.2,3). Since the buccal plate of #21 is indistinct (socket shield will be done), the implant should be a little more lingually placed than the design in Fig.3, although the implant placement level seems to be acceptable. Socket shield seems to be necessary.
Return to
Lower
Premolar Immediate Implant,
Trajectory II,
Clindamycin
Anterior FPD
1-Piece Canine
Xin Wei, DDS, PhD, MS 1st edition
08/30/2019, last revision
10/03/2019