![]() |
![]() |
![]() |
![]() |
![]() |
|
![]() |
![]() |
![]() |
![]() |
![]() |
|
![]() |
|||||
牙槽嵴与根尖骨缺损修复
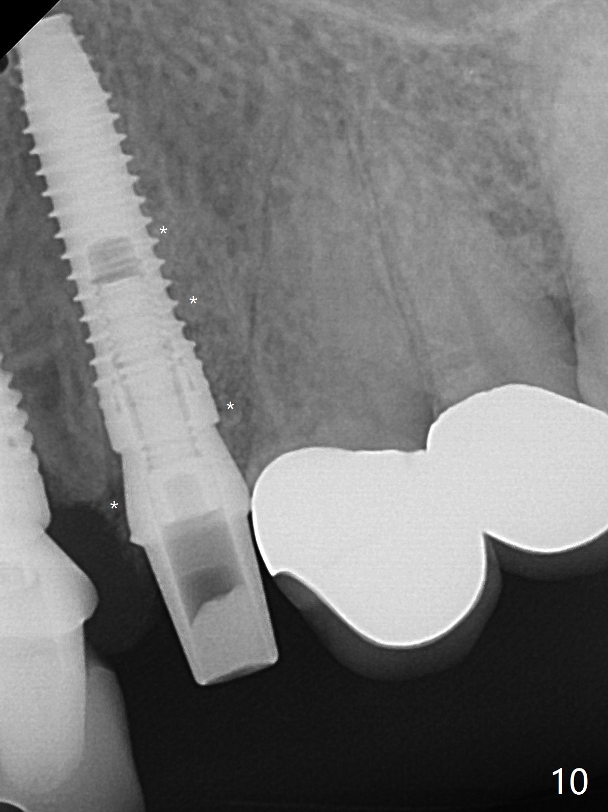
左上尖牙拔除前发现远中腭侧瘘道,拔除后发现相对牙槽嵴骨缺损(图一(术前CT):*),其实患牙根尖在颊侧骨板颊侧(图二:>),拔除后,根尖骨板缺损(图三:>),由于后者离颊侧牙槽嵴(图四:红箭头)远,骨粉修复重要性不如腭侧牙槽嵴(图四:白箭头),当窄植体植入后(图四:绿色),首先在腭侧植骨(图五:红圆圈),因为基台放置后(图六:粉红色),腭侧植骨开口狭窄(图六:白箭头)。即刻种植总是腭侧,颊侧间隙大,颊侧根尖缺损填骨应该容易(图七:橘黄色圆圈),即使不全(*),无关大局。徒手初步钻洞(图八),种植(图九)方向尚可,植骨好像完全(图十:*)。术后一周临时牙冠(11,尖牙)比侧切牙还短(图十一),随着愈合,尖牙牙冠会比双尖牙还短,因为植体偏腭侧,可能需要调整临时牙冠边缘。颊侧牙龈单纯疱疹感染,颊侧根尖仍有疼痛,腭侧瘘道缩小。
Return to
Protect
Graft
Torque 下齿槽神经
Xin Wei,
DDS, PhD, MS 1st edition 08/05/2021, last revision
08/12/2021