![]() |
![]() |
![]() |
![]() |
![]() |
Canine Immediate Implant
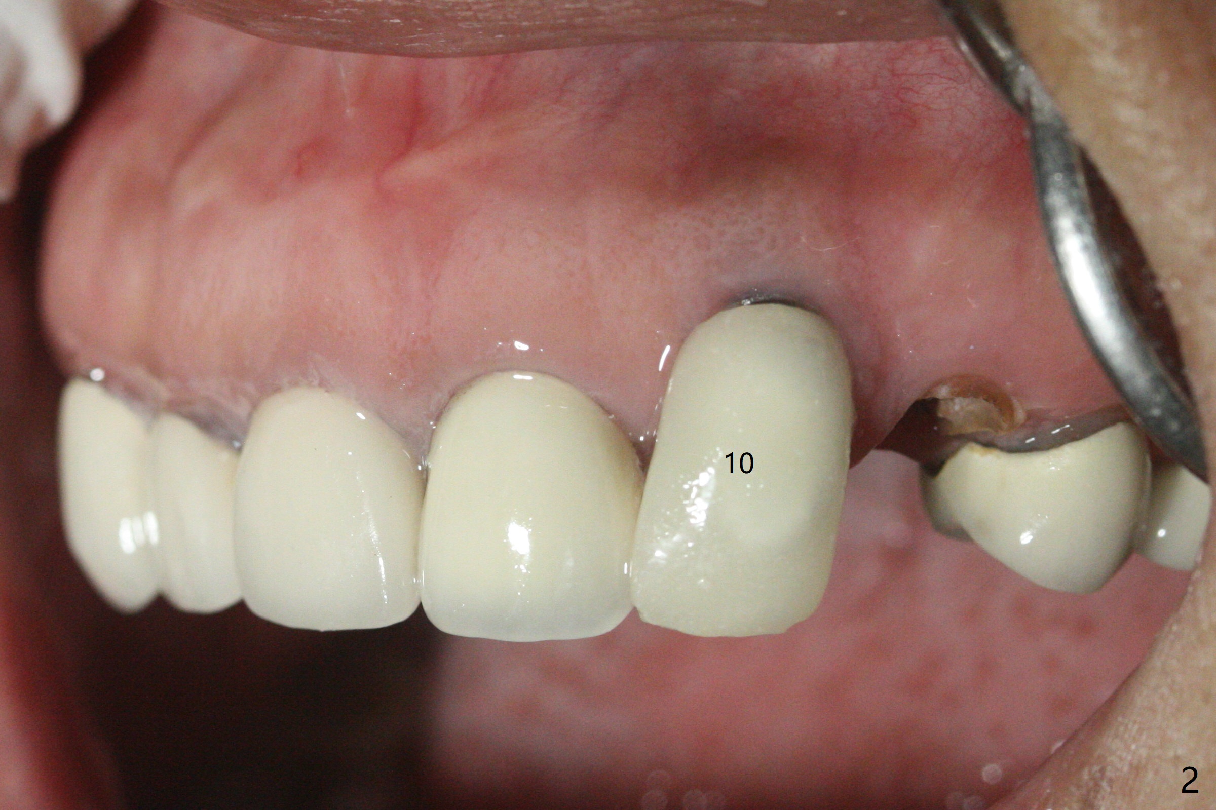
A 57-year-old woman presented to office with dislodged canine crown 10 months earlier (Fig.1). It was cemented. It dislodged again lately. She decides to have an implant and mentions looseness of the implant crown of the lateral incisor. Gingival recession is severe at #10 (Fig.2), while #11 has subgingival fracture (Fig.3). The recession is related to suboptimal angulation and buccal placement of the fixture (Fig.4), while the implant at #11 will be narrow and be placed with sufficient remaining buccal and palatal bone (Fig.5). Socket shield may be done. Prepare gingival retractors. In fact socket shield is not done because of caries in the root stump.
Return to Protect Graft Clindamycin 智齿拔除 下齿槽神经 Xin Wei, DDS, PhD, MS 1st edition 07/23/2021, last revision 08/07/2021