![]() |
![]() |
![]() |
![]() |
|
![]() |
![]() |
![]() |
![]() |
|
![]() |
![]() |
![]() |
||
![]() |
![]() |
![]() |
||
![]() |
![]() |
![]() |
![]() |
![]() |
![]() |
![]() |
![]() |
||
![]() |
||||
Immediate Repair of Anterior Soft/Hard Tissue Defects
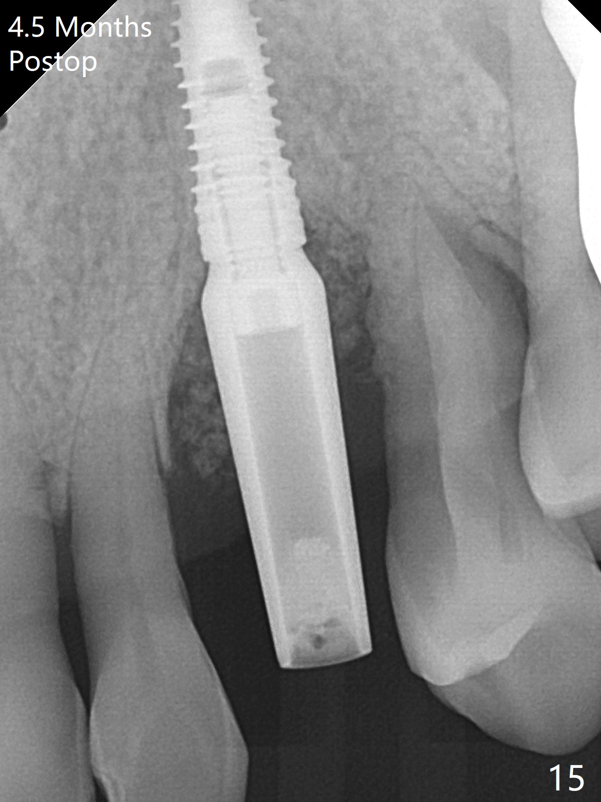
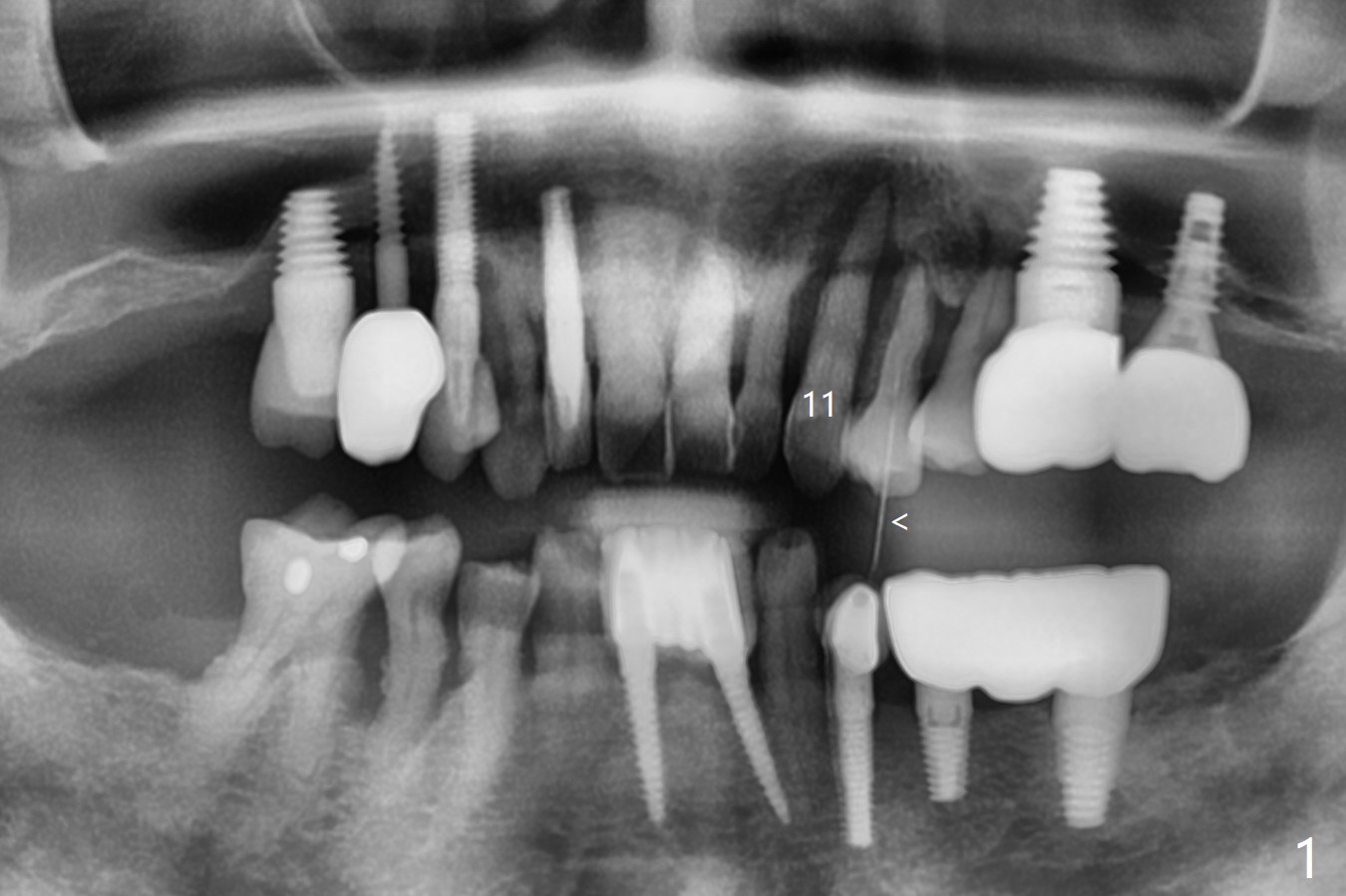
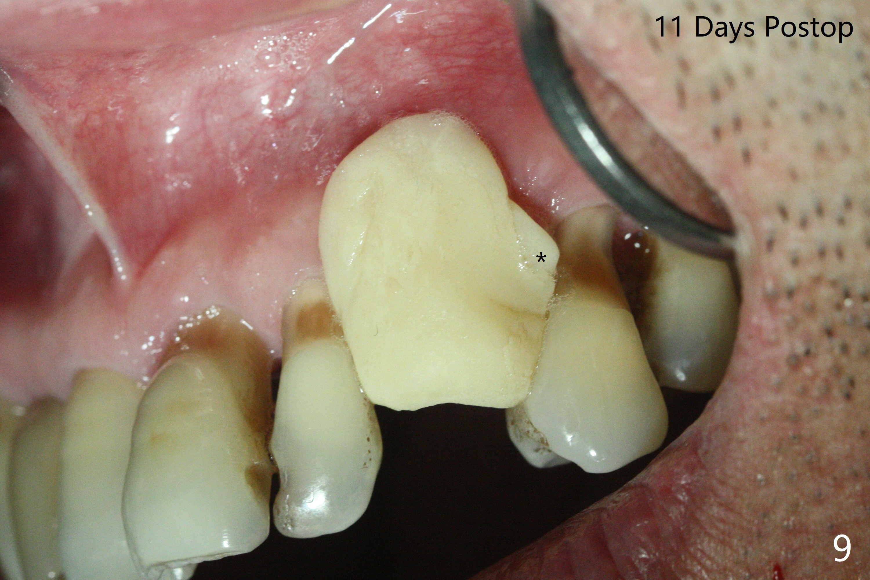
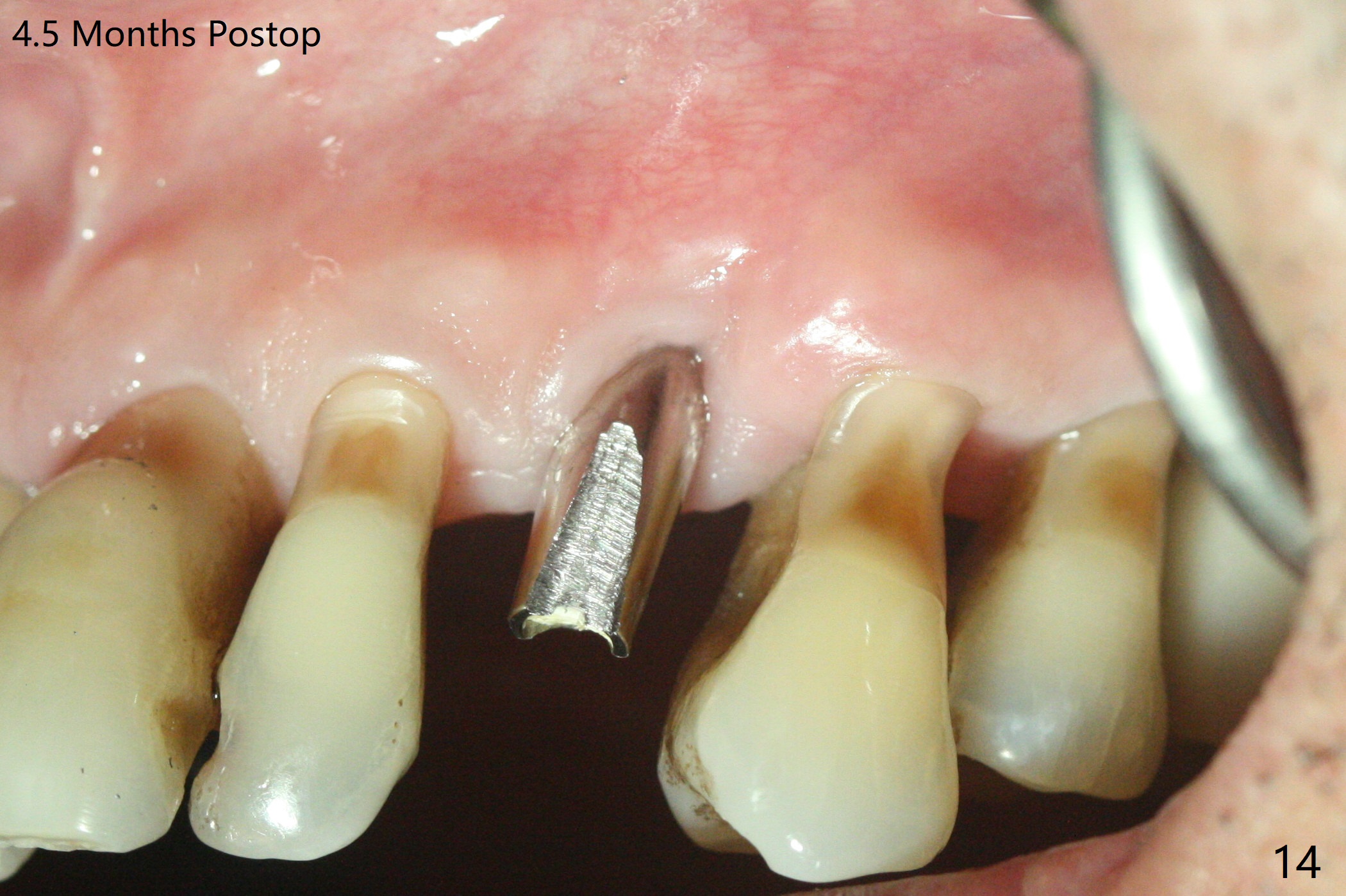
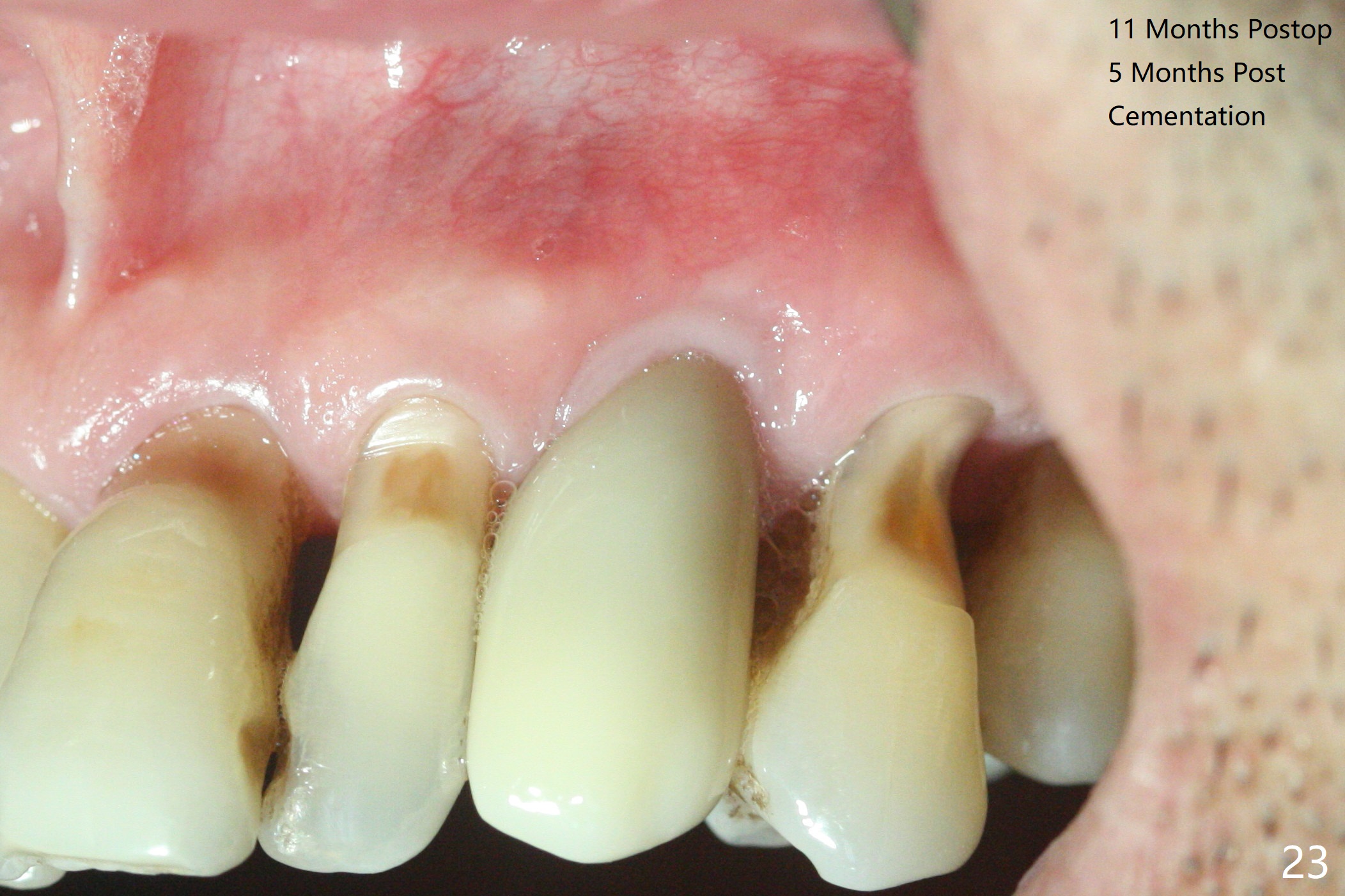
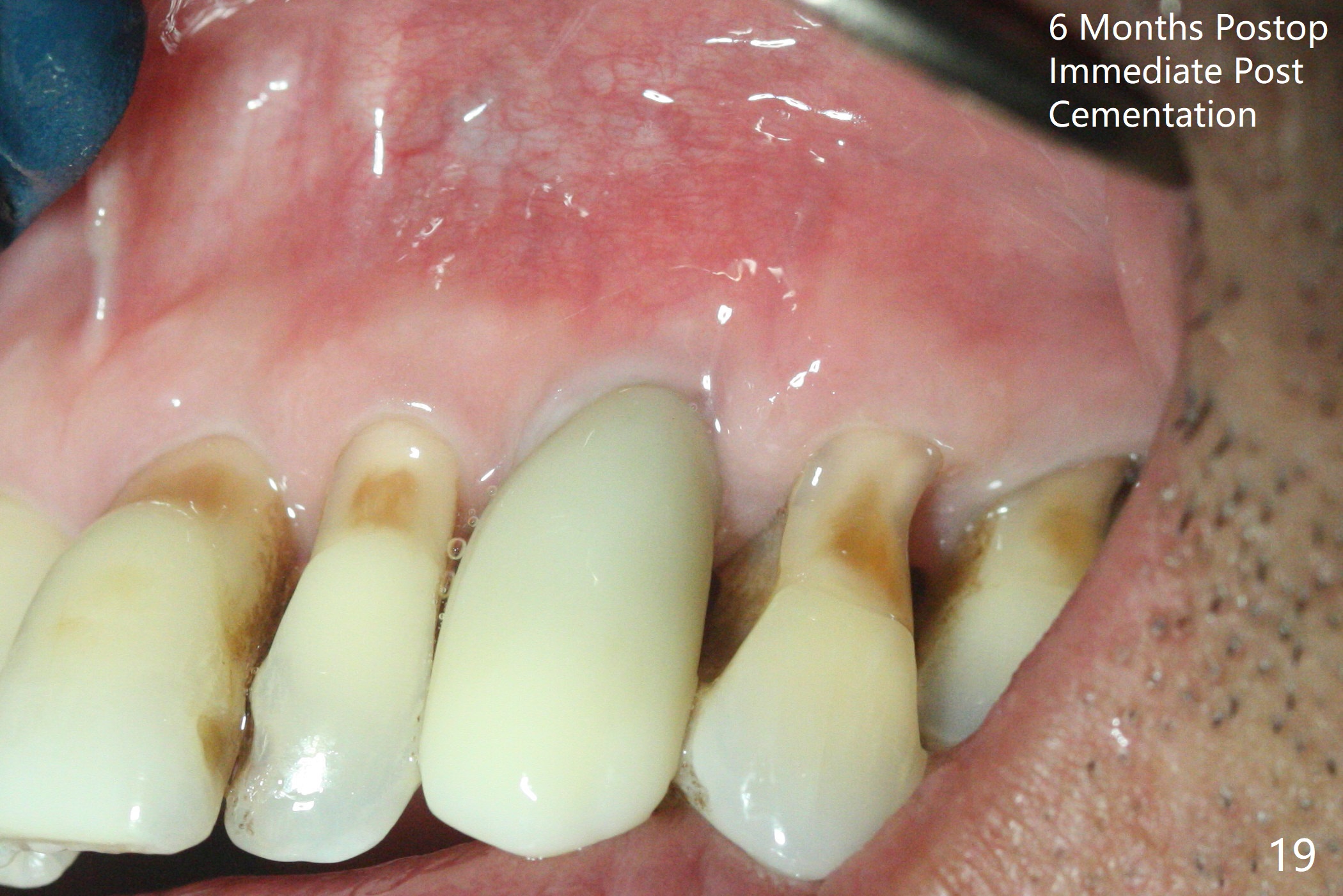
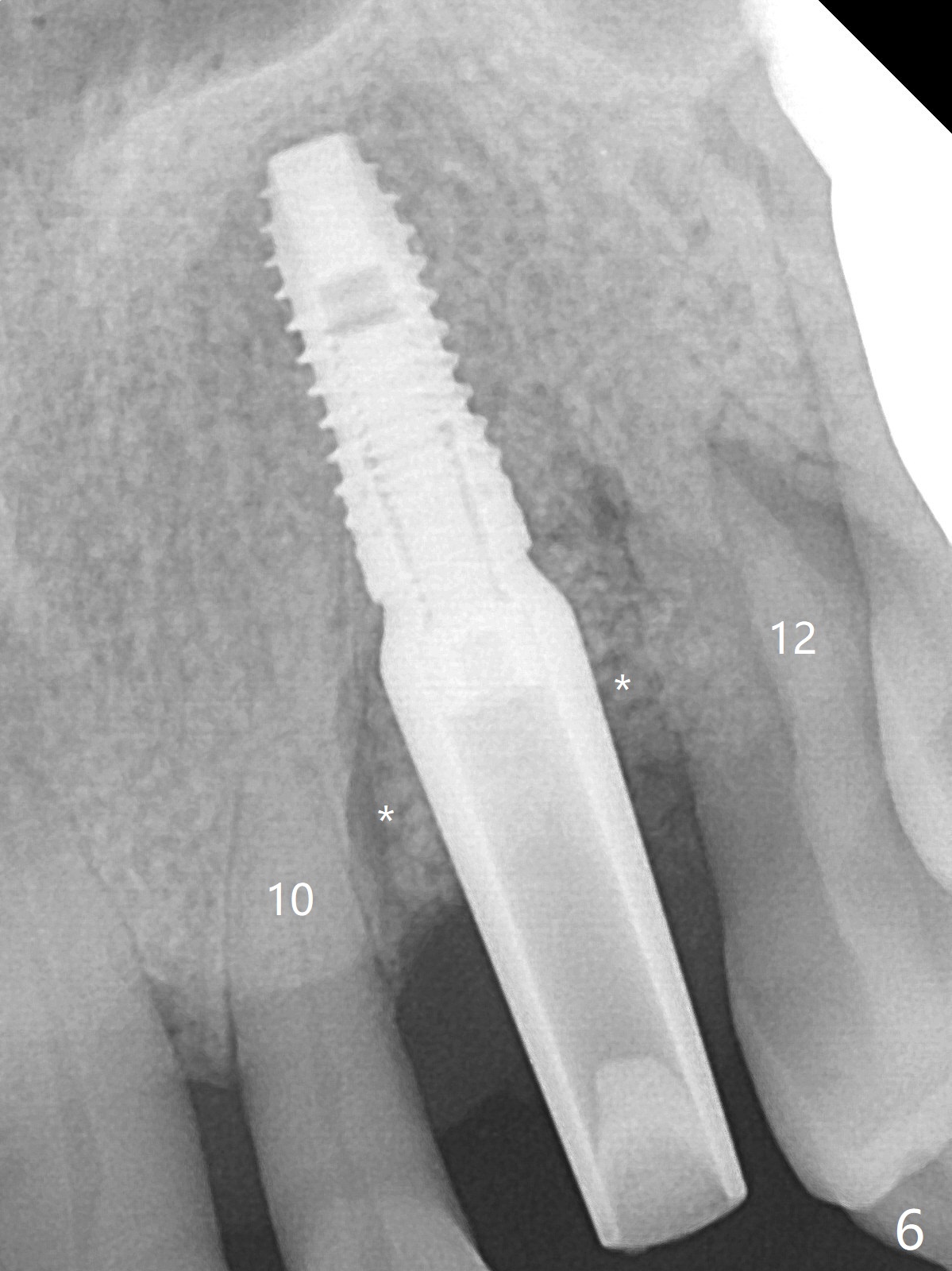
A 62-year-old man with generalized chronic periodontitis returns with chief complaint of loose tooth at #11 (Fig.1). Although a buccal fistula (Fig.1 <) is closer to #12 than to #11, percussion is more severe at #11 than 12. The buccal plate of #11 is missing, but it is possible to place a narrow immediate implant because of the wide alveolus (Fig.2). Since the gingiva is ~ 10 mm long, a mill abutment is to be used (Fig.3,5). In fact the fistula communicates with #11 extraction socket. After debridement, osteotomy is initiated (Fig.4) for a 3.8x10 mm implant ~ 35 Ncm, followed by seating a 4.5x2 mm mill abutment (Fig.5). Abundant sticky bone is placed in the remaining socket (for buccal plate reconstruction) and against the root surface of the neighboring teeth (Fig. 6 * (#10,12)). Finally 2 pieces of PRF membranes are utilized to facilitate repair of the buccal soft tissue defect (Fig.7 *). The root prominence of the canine seems to be maintained by the bone graft (Fig.8 C). Acrylic dressing holding the PRF membranes in place remains in situ with the healthy gingiva buccal (Fig.9) and palatal (Fig.10) 11 days postop. Note the acrylic locking into the undercuts of the neighboring teeth (*). 经过一段摸索发现离心每分钟1500转5分钟后,抽取上清液,接着再离心10分钟剩余上清液就形成血小板块,压制后便是血小板膜,后者似乎有助于软组织愈合,而上清液用来制备骨块,帮助硬组织生长。利用这个原则讨论以下病例治疗。The gingival margin gains ~ 5 mm 6 weeks postop when the acrylic dressing is removed (Fig.11,12 (<: previous one), as compared to Fig.7,8). 治疗结束时尖牙牙龈缘高于第一双尖牙(图七,八),六个星期后,尖牙牙龈缘却低于双尖牙(图十一,十二(箭头:原始牙龈缘))。术后2.5,4.5月基台周围牙龈似乎能与钛合金附着,防止细菌进入深部植体(图十三,十四)。临时牙冠脱落多次,可能与mill abutment太光滑有关,所以颊侧,舌侧磨成平面(图十四)。取模时好像不必取出基台清洗(仿佛没有炎症),原位用树脂延长基台。术后5个月CT显示颊侧骨板再生(图十六-十八)。取模时并没有用树脂加长基台;粘固时,牙冠颜色理想,但是照片中并不是如此(图十九,二十),颊侧骨板没有塌陷。术后11个月基台颊侧骨板没有萎缩(图二十一:B);3d图像:骨壁完全形成(图十六对比:部分形成)。密度也增高(图二十二:B),与术后五个月比较(图十七)。术后十一个月,粘固后五个月角化龈存在(图二十三),牙冠颈部有金属颜色透出,是因为二段式基台太粗了(最细4.5毫米),可以请实验室在牙冠内部涂opaque material而减轻。
Return to
No Deviation
No Antibiotic
PRF Webinar 下一个类似病例
矫正,糖尿病,种植水平
3 一段式植体边缘制备
尖牙即种
Xin Wei,
DDS, PhD, MS 1st edition 07/03/2020, last revision
06/02/2021