![]() |
![]() |
![]() |
![]() |
![]() |
![]() |
![]() |
|
植体不必种太深
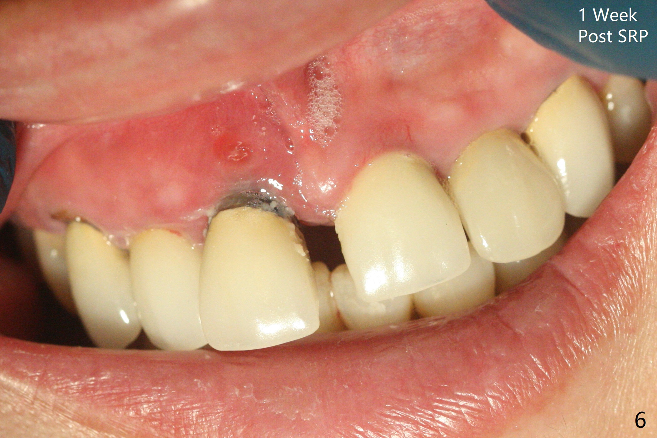
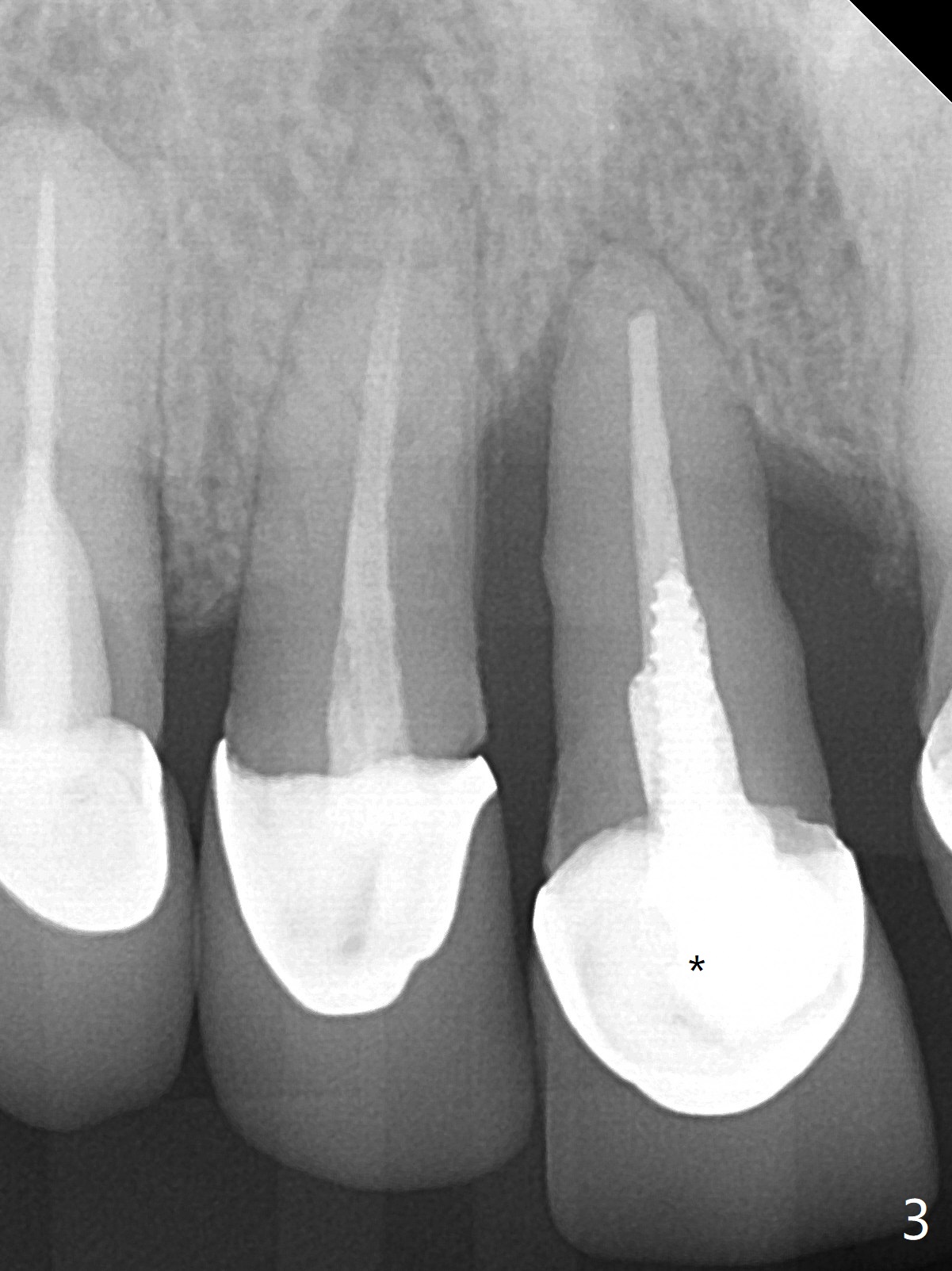
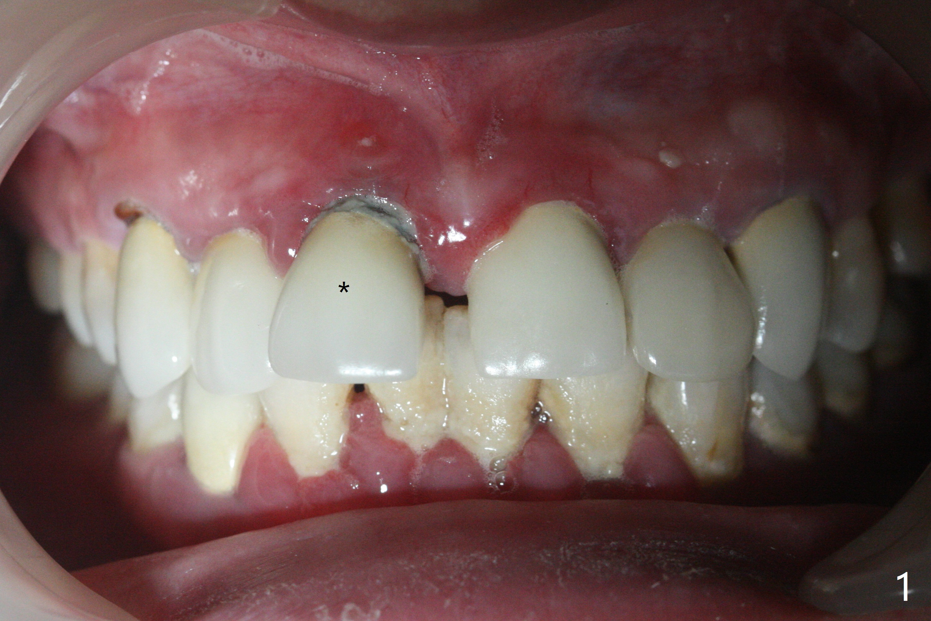
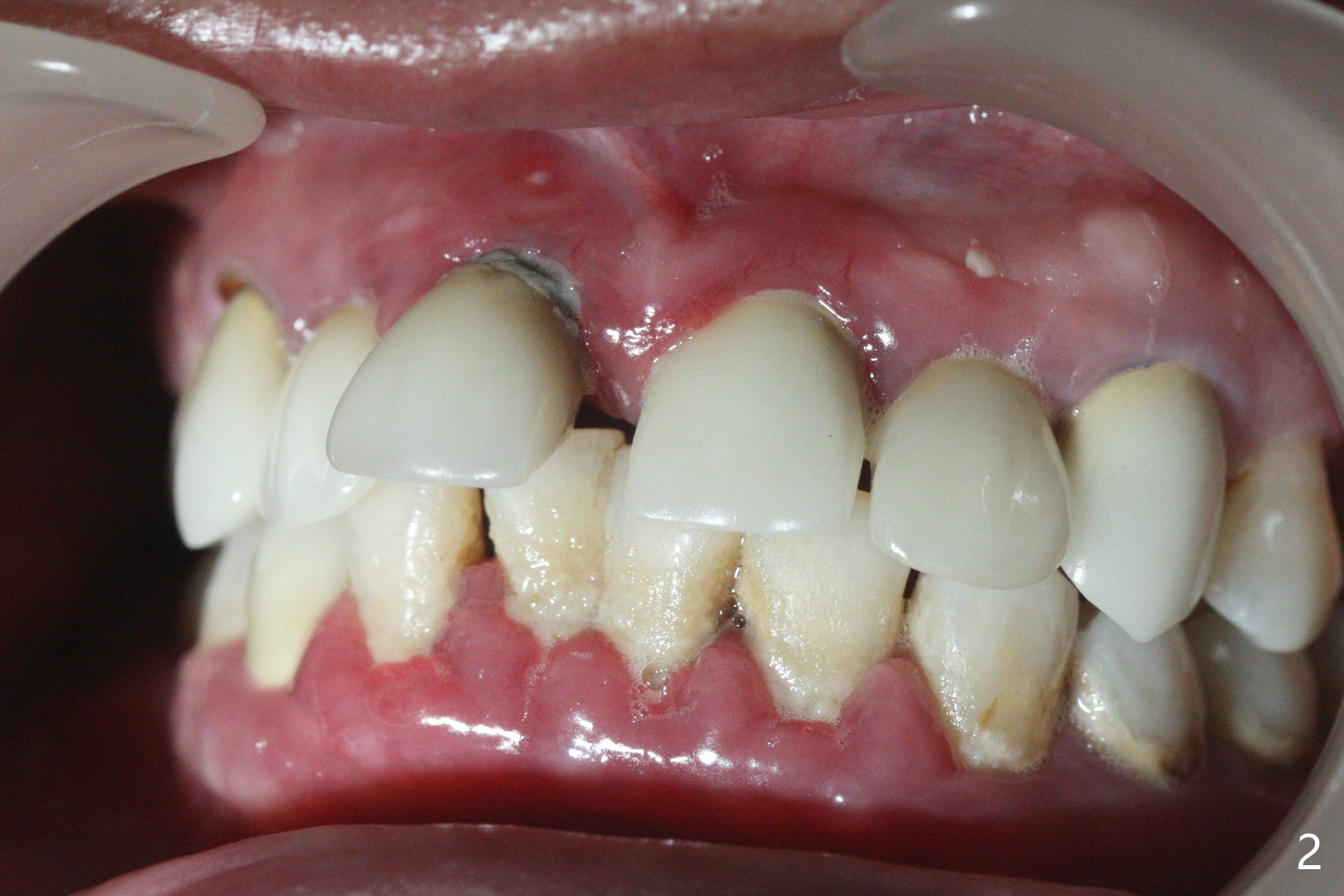
45岁女,害怕治疗,5年多没就医,右上1移位(图一(*),二),严重骨吸收(图三)。深洗后,即刻种植,由于牙龈7毫米长(图四,五)和使用粘性骨粉(骨壁再生),植体可以植浅些(图四:箭头)。上颌深洗一周后,除了患牙,牙龈红肿消除很多(图六,七)。
Return to No Caries Clindamycin 矫正,糖尿病,种植水平 DIO 一段式植体边缘制备 Xin Wei, DDS, PhD, MS 1st edition 12/03/2020, last revision 01/24/2021