![]() |
![]() |
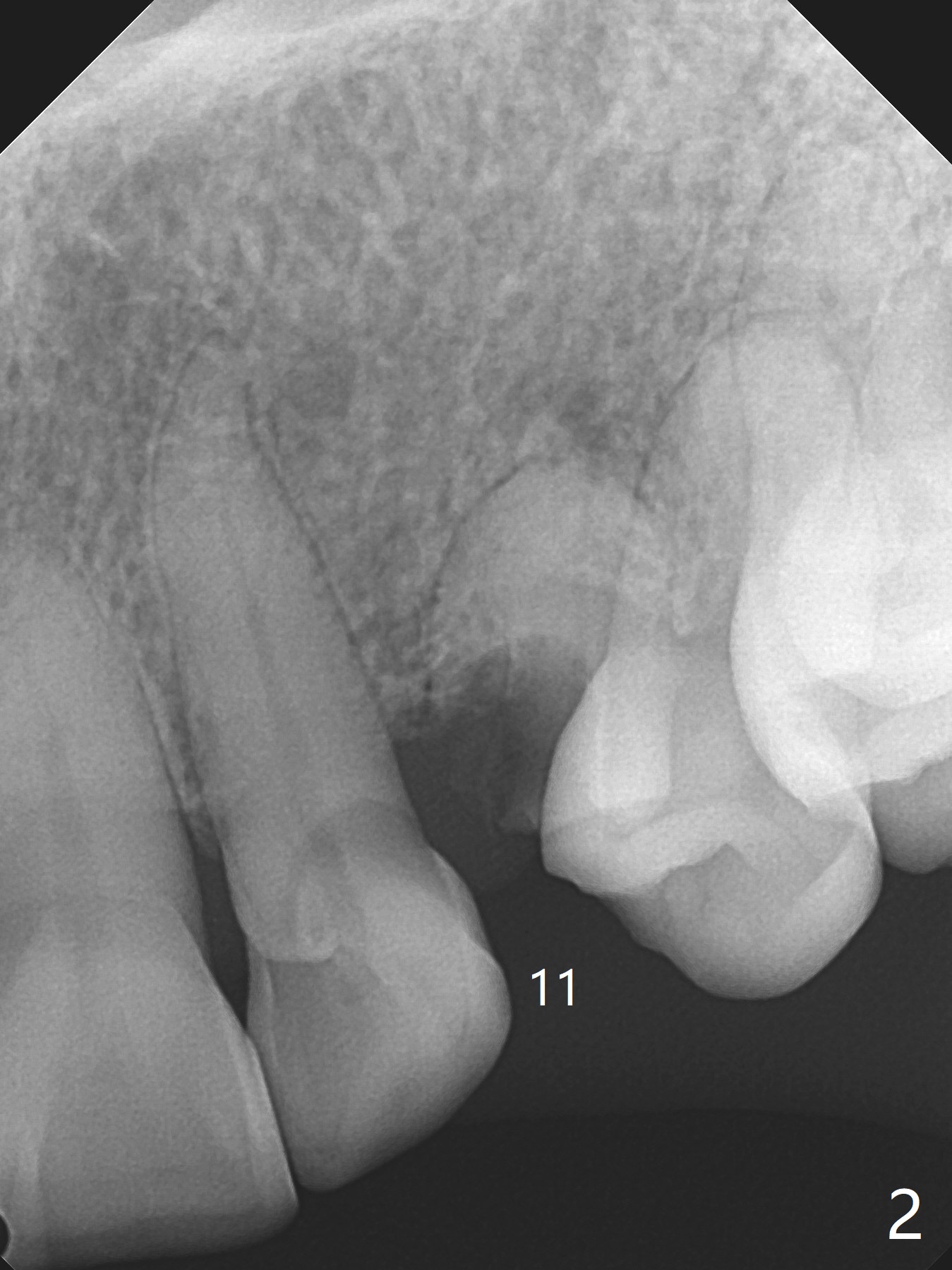
Bite Collapse
A 61-year-old woman with small statue, partial edentulism and bite collapse (deep bite) (Fig.1) requests an implant at #11 first (Fig.2). A 4x17 mm tissue-level implant is planned.
Return to Upper Canine Immediate Implant, Trajectory, No Antibiotic Xin Wei, DDS, PhD, MS 1st edition 05/16/2019, last revision 05/23/2019