![]() |
![]() |
![]() |
![]() |
![]() |
|
Narrow Space for Upper Canine M
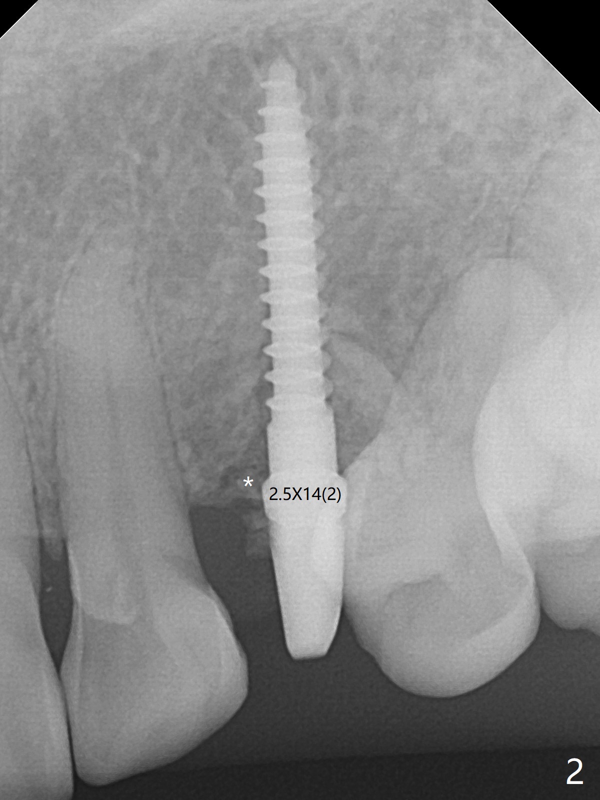
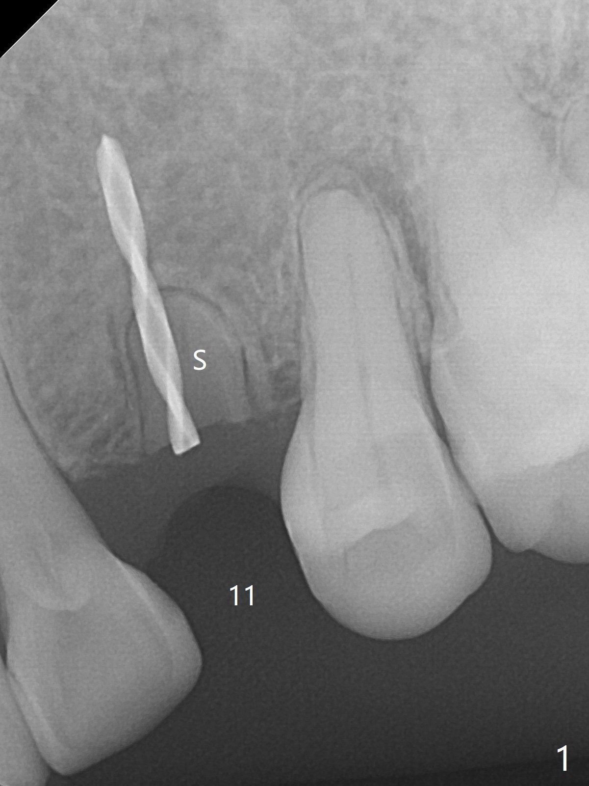
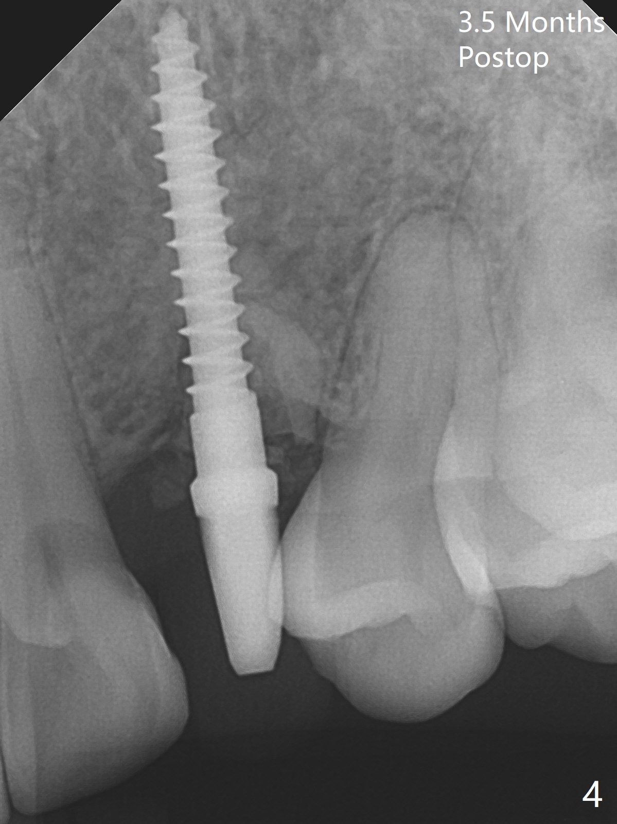
At surgery, the mesiodistal space for #11 is found to be narrow, 5 mm. To prevent buccal plate collapse, socket shield is planned. Due to limited space, incision is attempted so that the lower end of the shield (Fig.1 S) can be trimmed slightly subcrestal. It is also good for visibility for osteotomy (1.2 mm drill for 12 mm). A 2.5x14(2) mm 1-piece implant is placed with <35 Ncm (Fig.2,3 (*: allograft)). An immediate provisional is fabricated to the patient's satisfaction. There is no bone loss 3.5 months postop (Fig.4) or 4 months postop (Fig.5 *, corresponding to S in Fig.3). The recessive papillae are expected to reform to certain degree due to limited damage to the crestal bone.
Return to Upper Canine Immediate Implant, Trajectory Anterior FPD Premolars
Xin Wei, DDS, PhD, MS 1st edition 05/23/2019, last revision 02/20/2021