![]() |
![]() |
![]() |
![]() |
![]() |
![]() |
![]() |
![]() |
Narrow Implants at #6 and 7
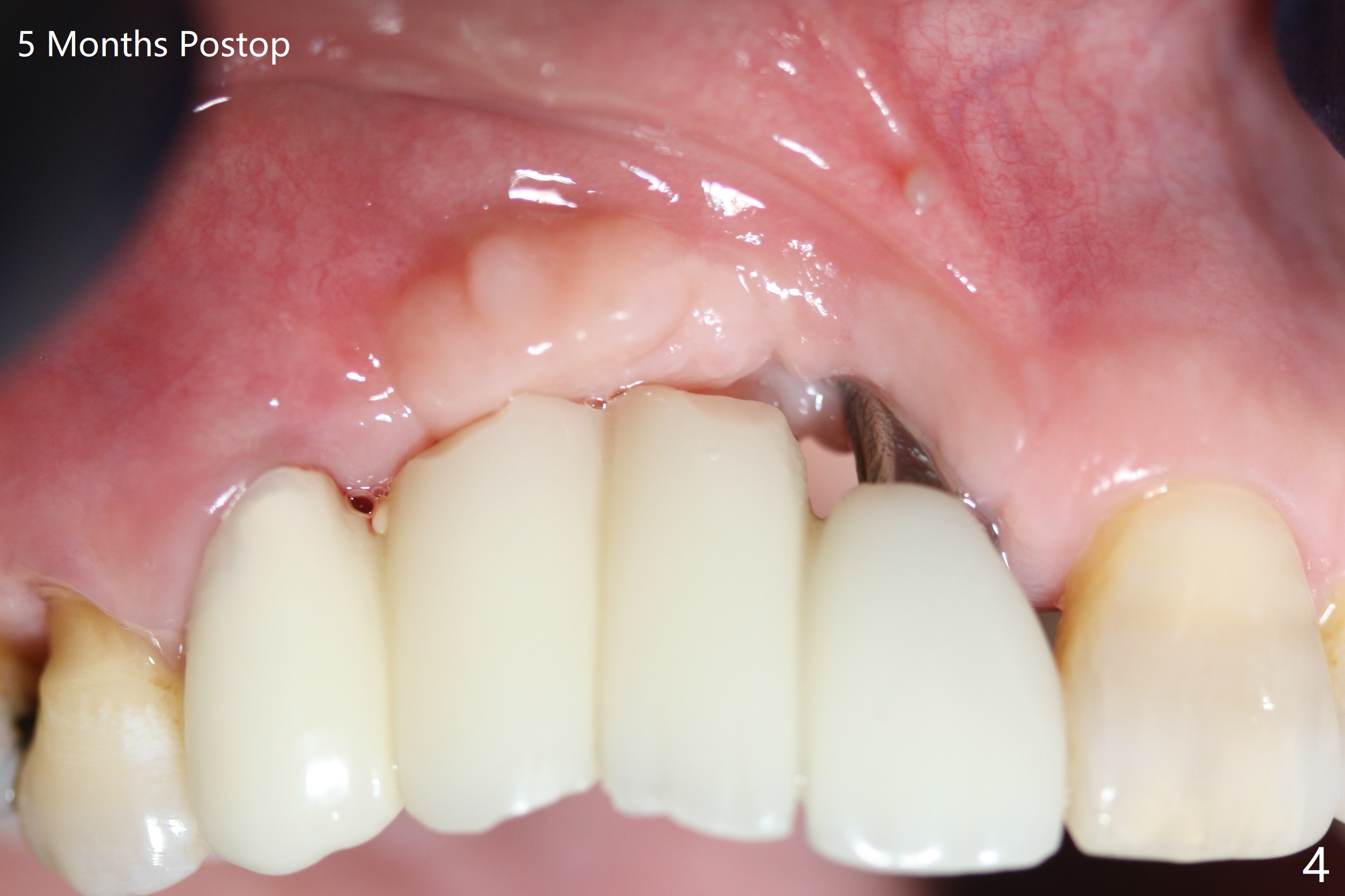
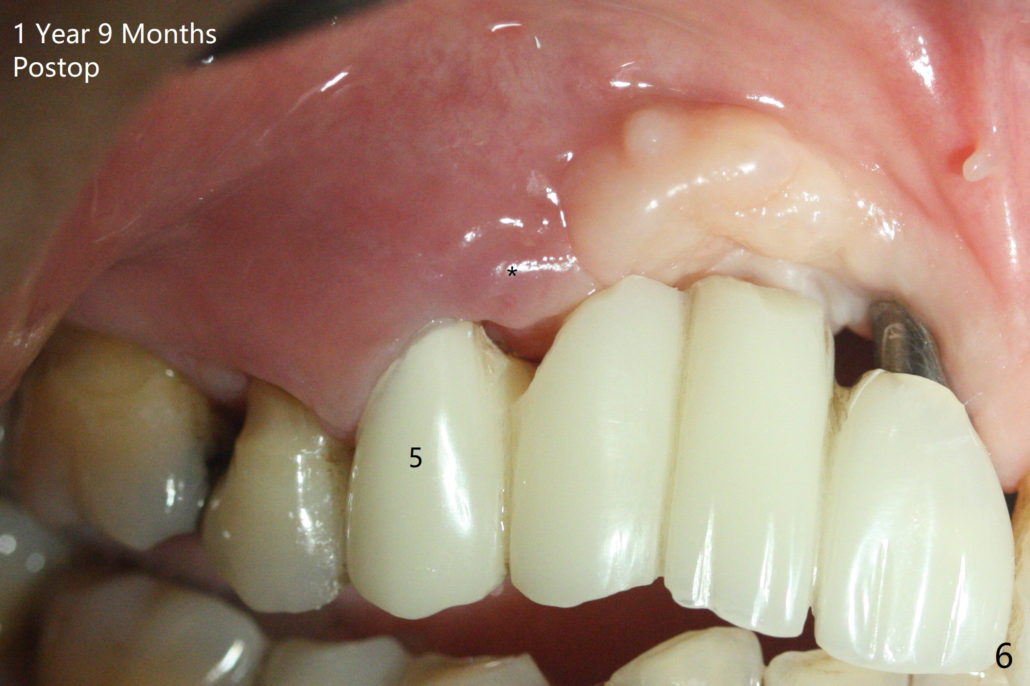
Four months post bone graft with tenting screws at #6 and 7 and implant re-placement at #8, the ridge at #6 and 7 appears to widen slightly, appropriate for narrow implants (Fig.1,2). Guide will be fabricated. The implant at #8 seems to have osteointegrated (Fig.3) with distal gingival recession (Fig.4). One year 5 months later, the tooth #5 is infected with apparently mesial bone loss (Fig.5 *) and papillary erythema and edema (Fig.6). However the pockets are not deep. A gingival embrasure is created between #5 and 6 for self cleansing. The latter does not work. Implants will be placed at #5 and 7 (Fig.7,8).
Return to
Upper
Canine Immediate Implant,
Trajectory
No Deviation
No Antibiotic
2Xin Wei, DDS, PhD, MS 1st edition 12/19/2018, last revision
07/25/2020