![]() |
![]() |
![]() |
|
![]() |
![]() |
![]() |
![]() |
![]() |
![]() |
![]() |
|
![]() ![]() |
![]() |
![]() |
|
![]() |
![]() |
![]() |
|
![]() |
|||
徒手毕竟比导航略虐
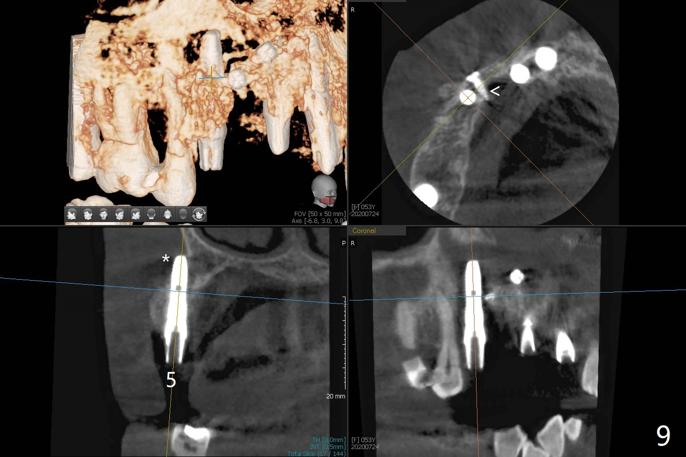
这个病例材料送到实验室作导板,实验员实在为难,只好徒手做。五号牙拔除证实颊侧骨板完全丧失,应该做位点保留(图一),但是病人非常恐惧,颊舌侧向牙槽窝好像很宽,开始尽量在舌侧建立钻洞,好像舌侧骨板太薄,又在稍微颊侧钻洞(图二),使用简易suction down stent控制钻洞方位。钻头大时,颊侧根尖有震动感觉,当时不明白为什么,稀里糊涂的植入3.8乘13毫米植体,扭力低,唯一欣慰的是颊侧放置PRF膜和粘性骨似乎到位(到根尖;图三:S),放置基台时,下面植体一起旋转,木已成舟,再次在基台周围放置骨粉。
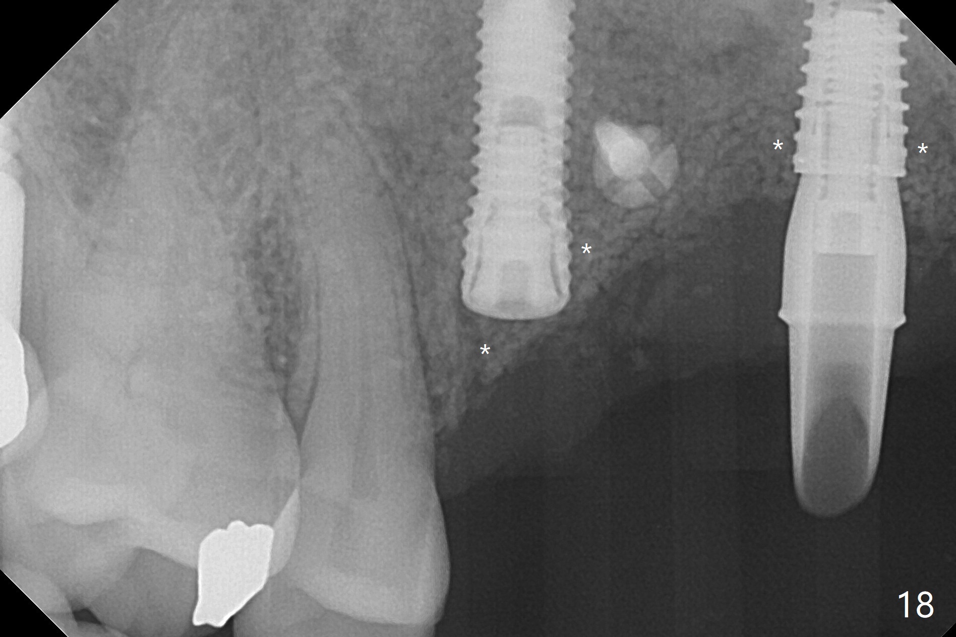
在6,7号牙位牙槽嵴切口,翻瓣,找不到上次放置的tenting screw,不过7号牙位骨质虽然低,够宽的,开始钻洞(图四),植入3.8乘8.5毫米植体,扭力足够(图五),近中舌侧暴露螺纹堆加骨粉(图五*),然后放置基台,再次在后者周围放置骨粉(图五至七),覆盖两张PRF膜后缝合(图八),最后在三个箭头周围放置牙周敷料。术后CT显示植体与tenting screws(图九,十箭头)有一定距离,但是5号牙植体颊侧根尖穿孔(图九 *)。如果植体不脱落,需做侧方切口植骨。术后七天7号植体腭侧肿胀(图十一 *),切开没有脓水,插入牙胶尖,它末端指向7号植体周围tenting screw。后者可能需要拔除,同时5号牙颊侧根尖植骨,但是为时太早,可能打搅骨粉生长。术后两周腭侧肿胀没有消失,但是不痛,继续观察。术后接近6个月,软组织正常(图十三),但是5,7植体周围没有骨质(图十四,五)。由于近中tenting screws周围软组织触痛(局麻不全情况下),螺钉取出(图十六,七(*)),而远中螺钉好像有帮助5植体螺纹骨粉撑起,所以留下(腭侧穿孔部分去除),最后放置粘性骨粉(图十八:*)和PRF膜(两张由7基台打孔固定)。
Return to No Deviation Xin Wei, DDS, PhD, MS 1st edition 07/24/2020, last revision 01/17/2021