![]() |
![]() |
![]() |
![]() |
一段式与两段式植体
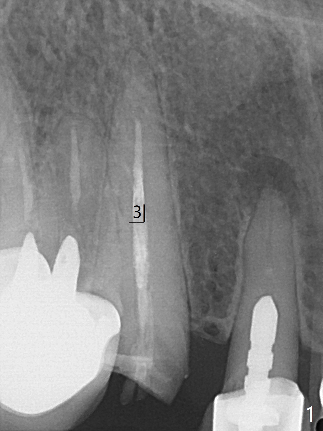
60岁女比较瘦小,8个月前因右下4,5轻度植体周围炎(4.5毫米软组织水平两段式植体种得太颊侧)就诊,准备重做,后来由于口腔卫生改善,症状减轻,她不愿意手术。右下6种植两个2.5x10毫米一段式种植。最近右上尖牙折裂,部分龈下(图一),她果断选择拔除种植。根尖片显示足够空间植入4.5x20毫米软组织水平植体(图二)。8个月前拍摄CT冠状面表明有充分根尖骨质(图三),植入3x14毫米骨水平一段式植体,便有2毫米颊侧,腭侧骨壁(减少植体周围炎可能性),而且修复角度优越(图四)。我可能在腭侧牙槽窝下1/3骨壁垂直钻入,然后改变钻洞方向,如红线,临床上,由咬合关系决定方位。如果不行,我有15度一段式植体。Bendable植体来不及买了。
Return to
No
Caries
Clindamycin
Socket Shield
Xin Wei,
DDS, PhD, MS 1st edition 02/13/2021, last revision
02/20/2021