![]() |
![]() |
![]() |
![]() |
![]() |
|
![]() |
![]() |
![]() |
![]() |
||
![]() |
![]() |
||||
尖牙牙槽窝盾牌与一段式植体
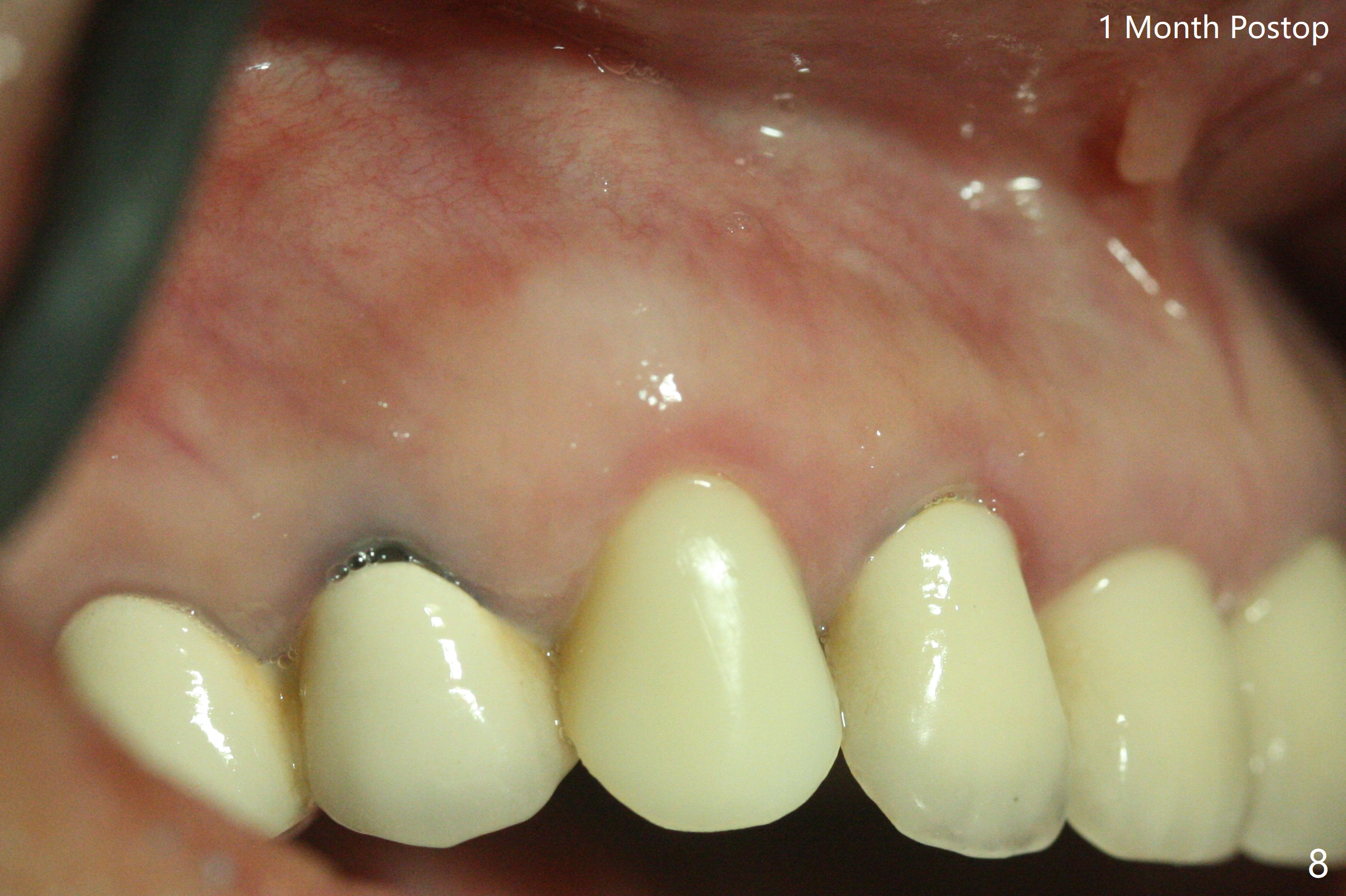
防止拔牙后颊侧骨板萎缩最有效方法是保留部分牙根,例如颊侧(外形象盾牌,简称盾,socket shield (S)),但是制备特别麻烦,尤其是上尖牙。60岁女右上3颊侧骨板隆起(图一至三:*),但是相当狭窄(上下方向),预计强行拔除,势必损失颊侧骨板,造成颊侧塌陷,准备保留盾,如图三红虚线,图六(术后3D长轴断面(十字架:植体))S代表。其实术中试图将整个牙根一起拔除,但是仿佛不行,只好静下心来分根,制备盾,不过困难重重,尤其是除去根尖(防止残余感染),最长外科裂钻似乎达不到根尖,取出后者,颊侧根尖骨板穿孔(图七:箭头)。然后腭侧钻洞(图四),当最后一个钻头保持原位时,在颊侧根尖穿孔处植入粘性骨粉(从牙槽窝口进入,原本粘性骨粉为了修复大面积颊侧缺损用(万一需要强行拔除)),然后才把一段式植体植入(图五),在其余空间填入骨粉,稍微制备基台,制作临时牙冠,最后在牙槽窝开口塞入PRF膜,衬里牙冠,不暂时取出牙冠,衬里相当于临时粘固剂。术后一个月牙根片段和临时牙冠维持良好的牙龈外形(图八,九);术后两个月病人嫌尖牙龈端太尖太长,临时牙冠龈端调整(图十,十一),但愿一个月后龈缘合乎病人期望。
Return to
No
Caries
Socket Shield
劈开术
Xin Wei,
DDS, PhD, MS 1st edition 02/18/2021, last revision
04/09/2021