![]() |
![]() |
![]() |
|
![]() |
![]() |
![]() |
![]() |
![]() |
![]() |
![]() |
|
GBR后种植
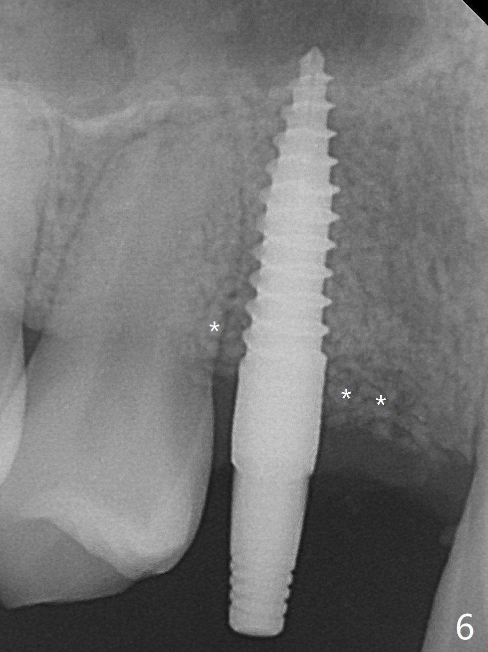
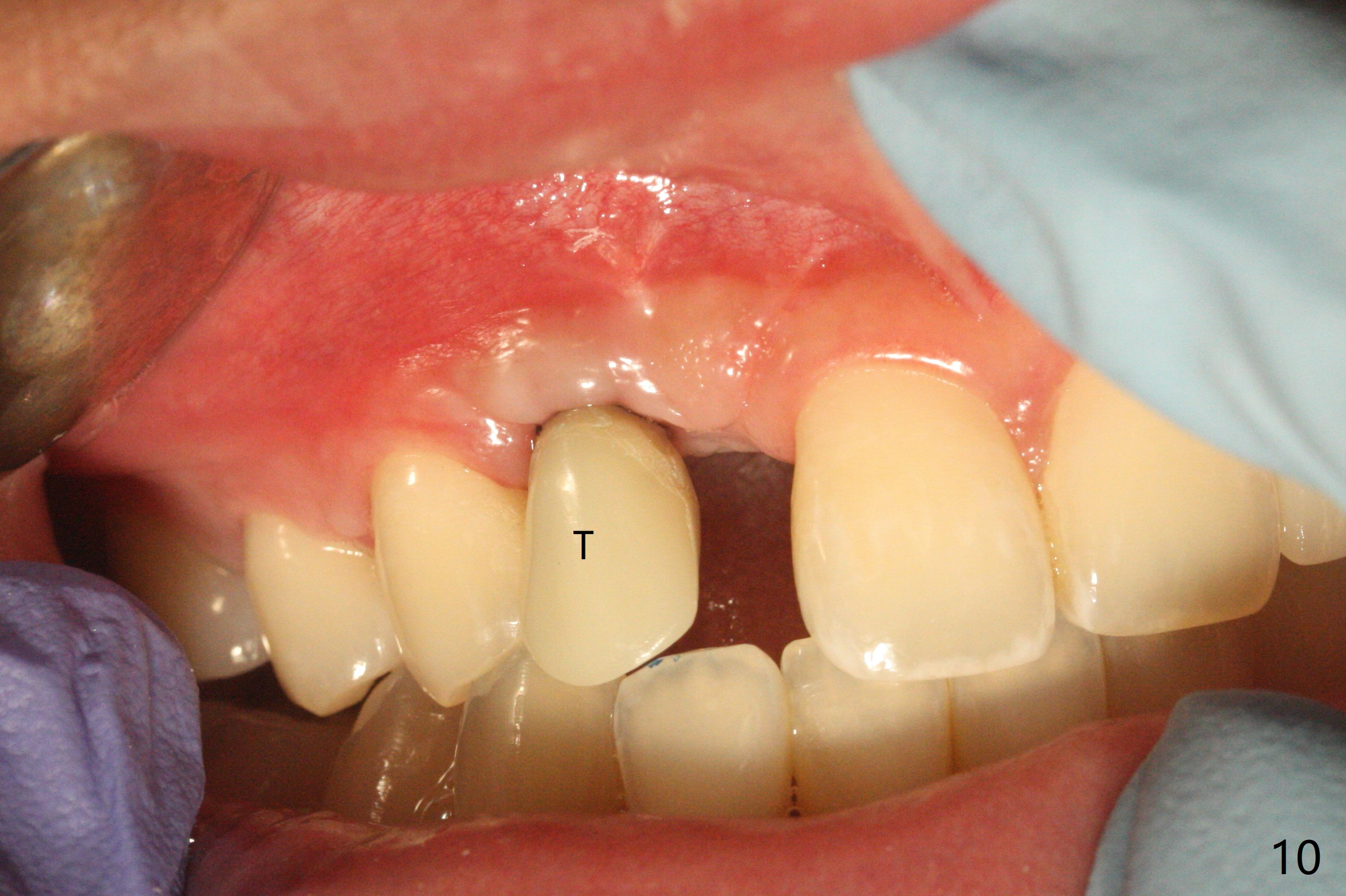
右上尖牙植体拔除,植骨后6个月,切开显示不可吸收膜覆盖的牙槽骨尚饱满(图一),不可吸收膜下面形成一个膜(可能是骨膜,图二:M),在导板指导下,植入3x12(2)毫米一段式植体,颊侧(图三),腭侧(图四)骨下,稍微穿过窦底(图五),植体覆盖粘性骨粉(图六)和PRF膜后,4-0 PGA缝合。伤口有一定张力,使用牙周敷料。术后10天没有疼痛(就没有骨坏死),由于基台存在,牙周敷料没有脱落迹象(图七),也没有撤除。敷料术后13天脱落,伤口好像正常愈合(图八)。由于病人即将回外州上学,提前取模。他喜欢左边牙冠修复形式(牙冠覆盖牙龈),而我们想让牙冠位于牙龈舌侧(图十:T(临时牙冠))。
Return to No Deviation 尖牙即种 Oral Scanner Xin Wei, DDS, PhD, MS 1st edition 05/25/2021, last revision 07/26/2021