![]() |
![]() |
![]() |
![]() |
|
![]() |
![]() |
![]() |
||
![]() |
![]() |
![]() |
![]() |
|
![]() |
![]() |
![]() |
||
![]() |
![]() |
![]() |
||
![]() |
![]() |
![]() |
![]() |
|
![]() |
![]() |
|||
减张缝合
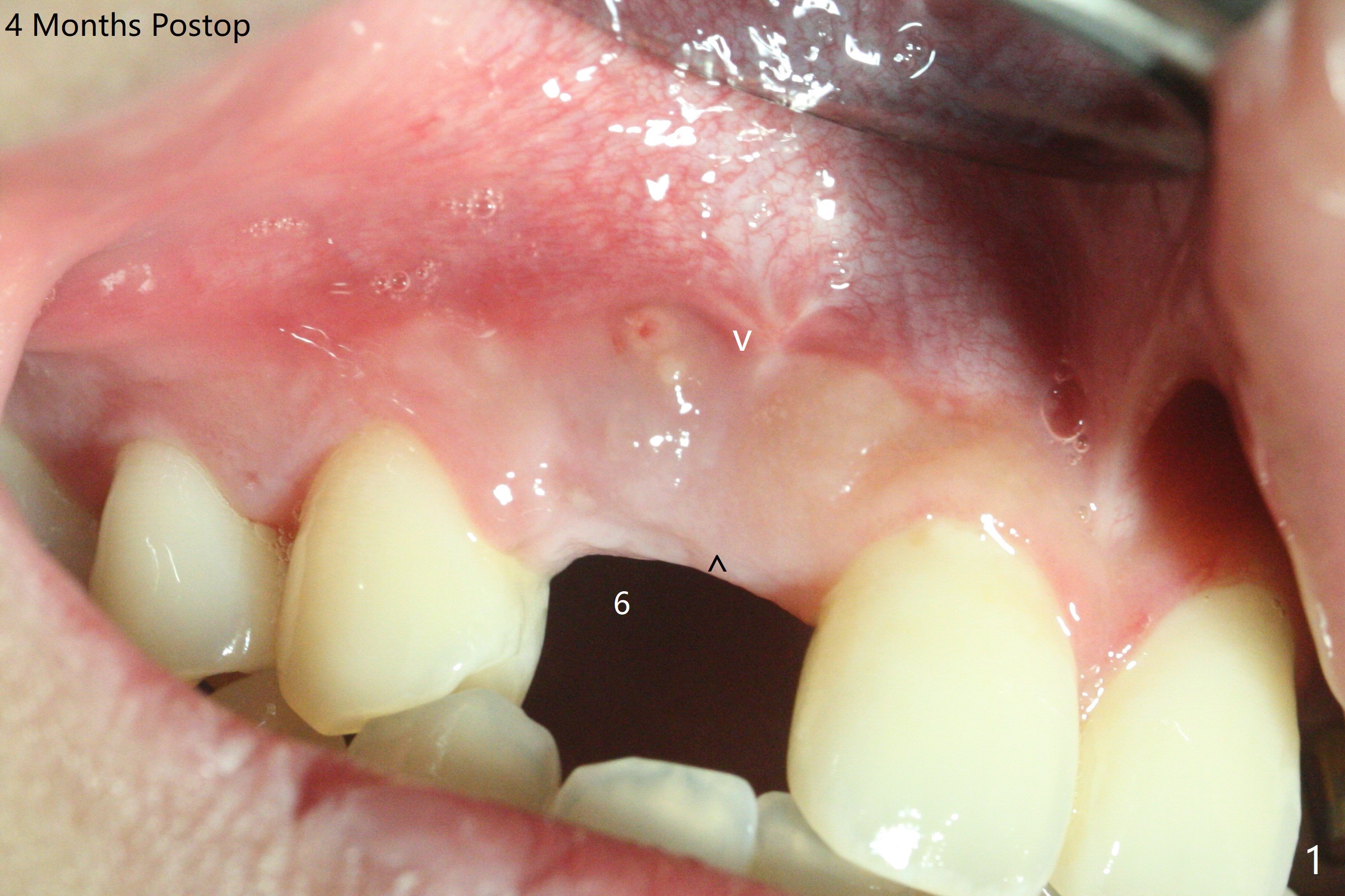
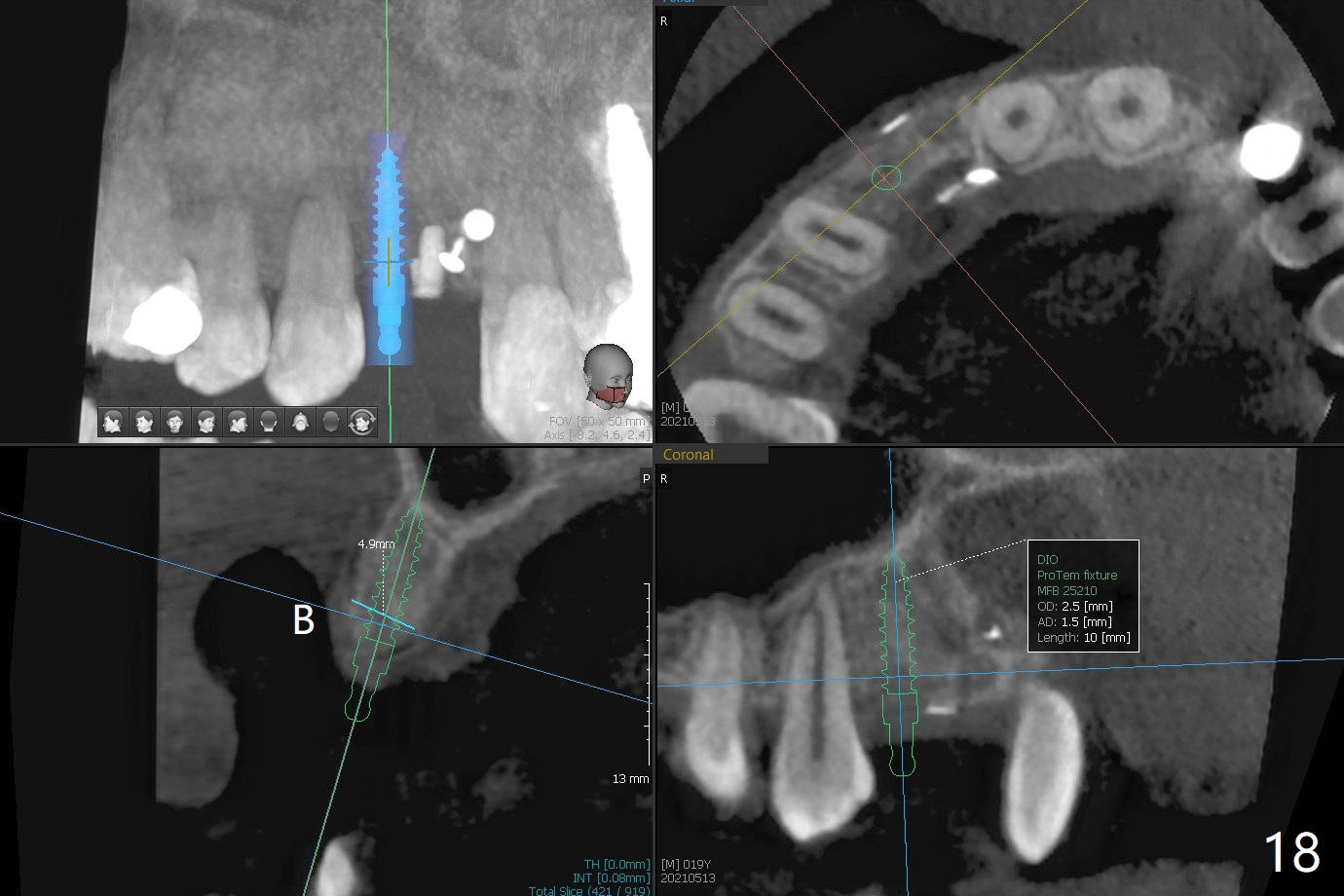
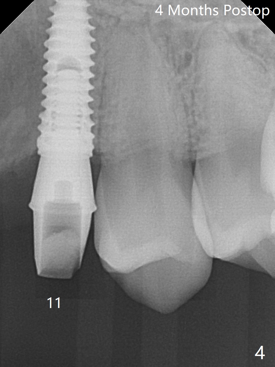
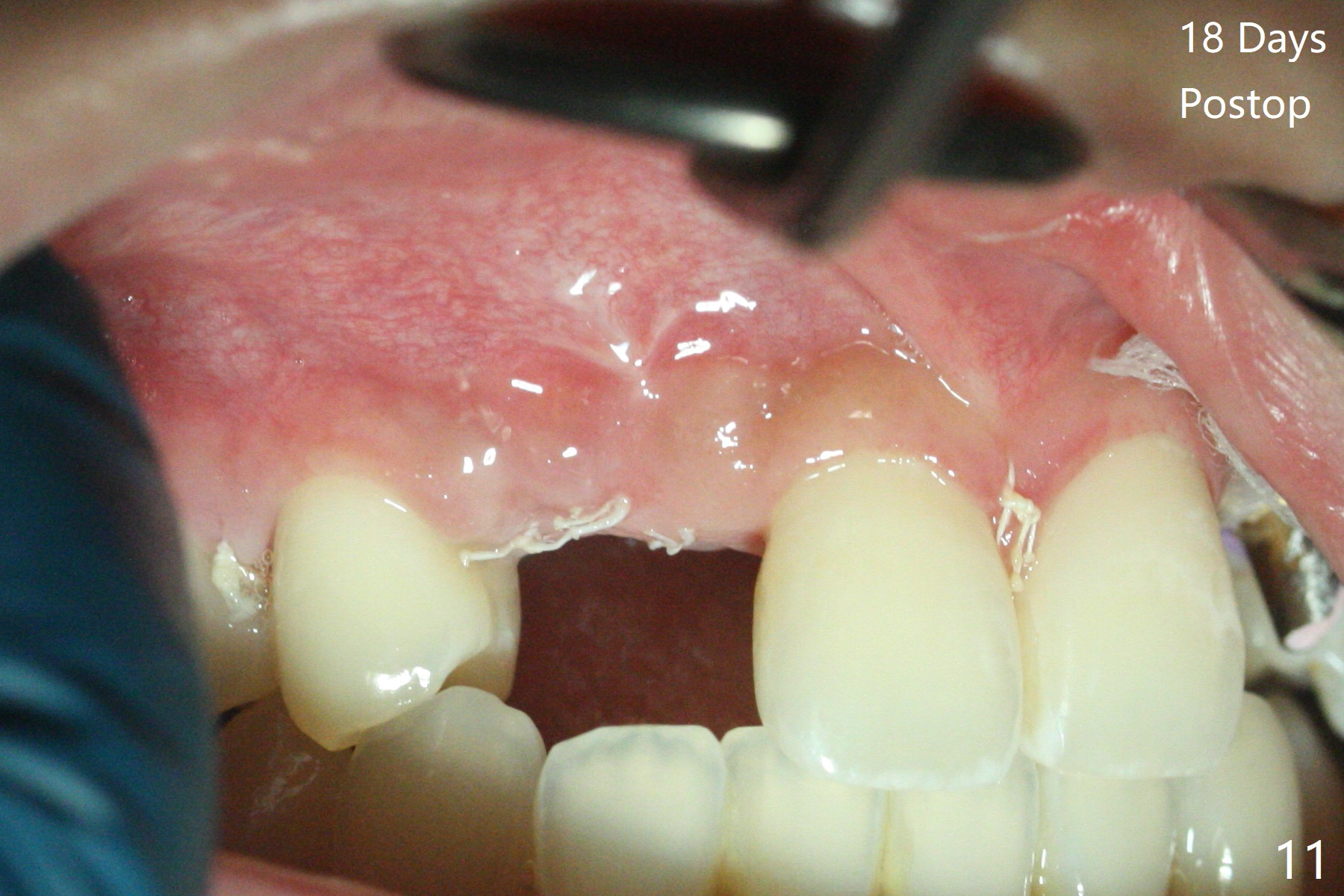
18岁男从外州大学回来,无症状,但是6号牙(右上尖牙)颊侧瘘道(图一,二(角化龈充分(箭头))),根尖片显示植体近中骨吸收(图三:*),而对侧植体仿佛骨整合(图四)。患侧切开后发现植体颊侧暴露,松动。拔除后骨缺损由粘性骨粉修复(图七,九:*),覆盖PRF膜(图七:P)和带钛网(图九:^)不可吸收膜(图五-七),后者用两个小钉子固定(图六(腭侧),七(颊侧),九),使用新的刀片和一个特殊尖头剥离器在颊侧骨膜下相当广泛分离,使用PTFE缝线,粘膜下水平褥式缝合之后(图八:箭头),多个垂直间断缝合,两个乳头垂直褥式缝合。术后一周伤口没有裂开,术后疼痛肿胀已经消退(图十)。术后十八天牙槽嵴仿佛比对侧还要宽(图十一,三与图十二,四(取模)对比)。术后5.5个月伤口没有裂开,牙槽骨,角化龈宽(图十六),与钛网和两个小钉子固定有关(图十五,十七)。CT显示牙槽骨只能容纳2.5或者3.0毫米植体(图十八)。11号牙植体牙冠粘固后没有骨质吸收(图十九),其实10,11号牙颊侧骨板隆起(图二十至二十二),而6植体失败,颊侧骨板吸收,甚至累及5号牙(图十七)。
Return to No Deviation 开场白 重新植入 尖牙即种 Oral Scanner Xin Wei, DDS, PhD, MS 1st edition 11/30/2020, last revision 06/23/2021