![]() |
![]() |
![]() |
![]() |
![]() |
![]() |
![]() |
![]() |
![]() |
![]() |
![]() |
|
隧道植骨
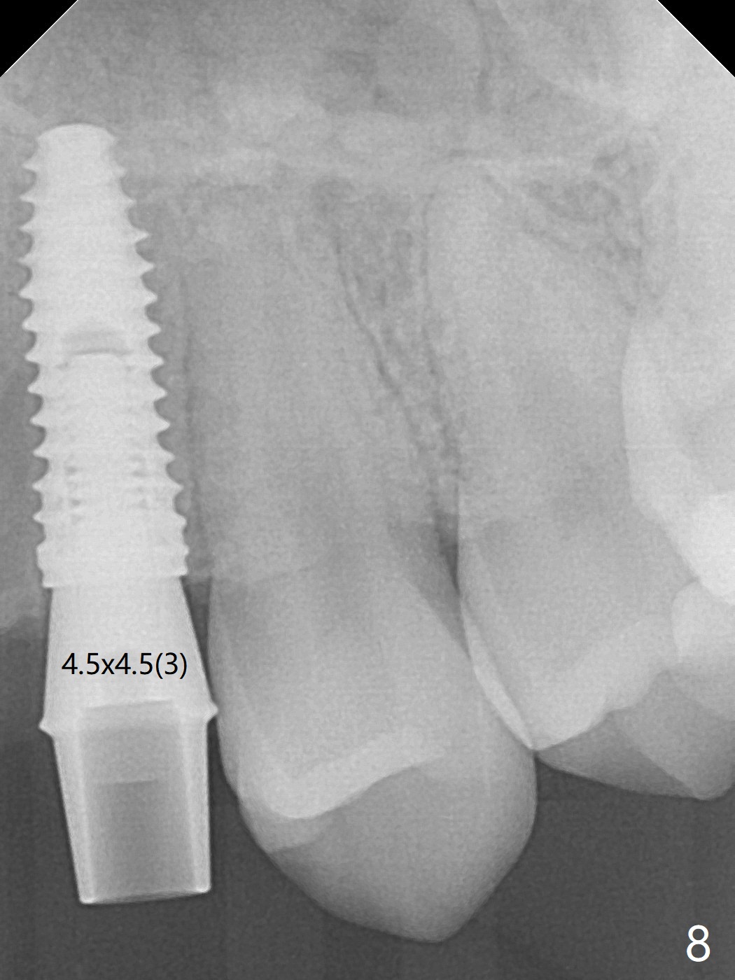
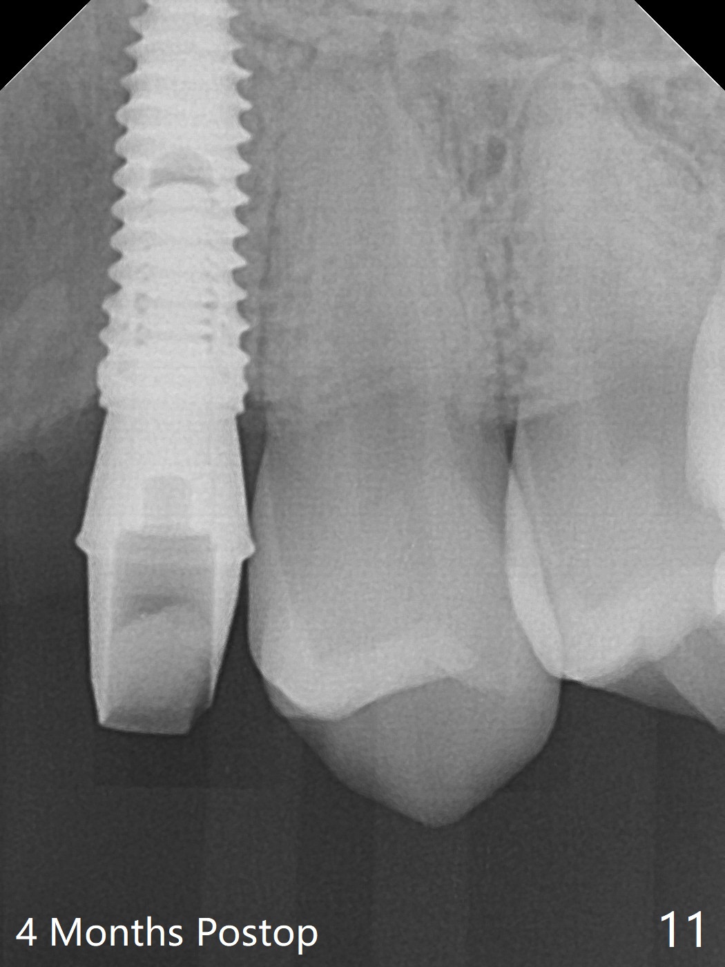
18岁男,本月底到外州上大学,急于十九岁前完成治疗,保险可以多付些。术前检查显示双侧尖牙(图一,二 6,11)根尖,侧切牙牙槽嵴萎缩(*),尖牙、侧切牙之间颊侧做垂直切口,骨膜下潜行分离,在尖牙根尖隧道植骨,然后使用导板,植入窄植体(图四至六),接近或者穿过上颌窦底板(图三,四箭头),骨粉(粘性骨块做的不成功,图五,六 *)好像覆盖暴露的螺纹。再次补充隧道骨粉后,放置修复基台(图七,八),调整后(图九),取模做临时悬臂桥,临床上有些困难分配尖牙,侧切牙比例。术后4个月左侧植体愈合正常(图十,十一),而右侧感染。
Return to
No Deviation
开场白
尖牙即种
Oral Scanner
Xin Wei,
DDS, PhD, MS 1st edition 08/03/2020, last revision
06/23/2021