![]() |
![]() |
![]() |
![]() |
![]() |
![]() |
![]() |
![]() |
![]() |
前牙即刻种植临时修复考虑
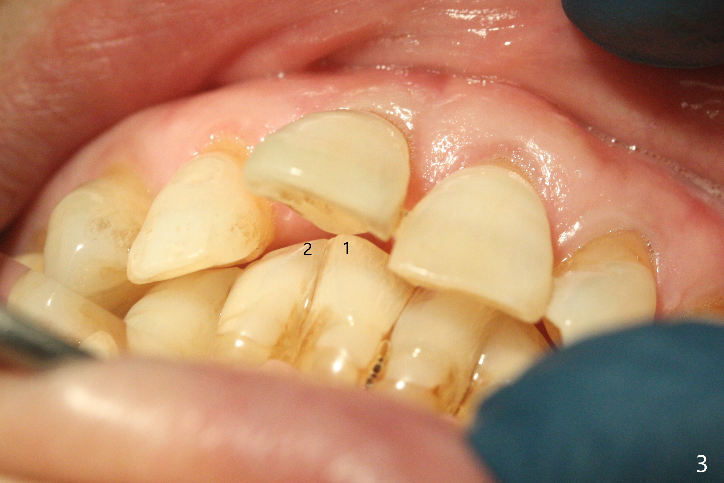
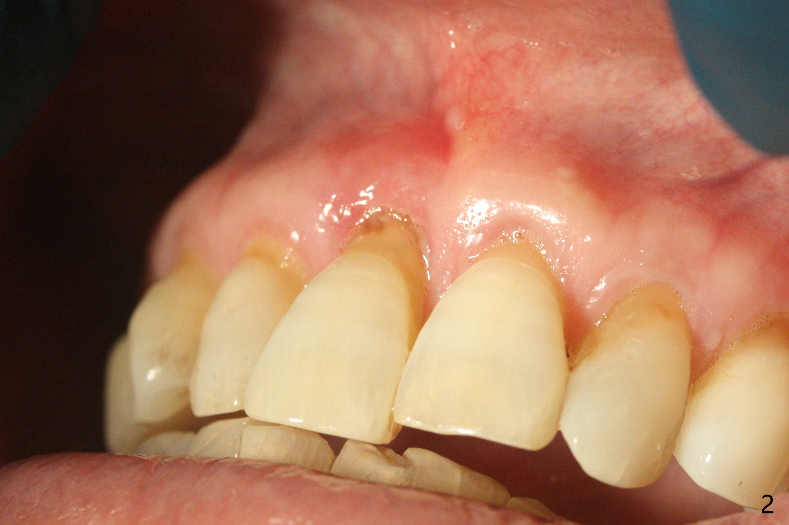
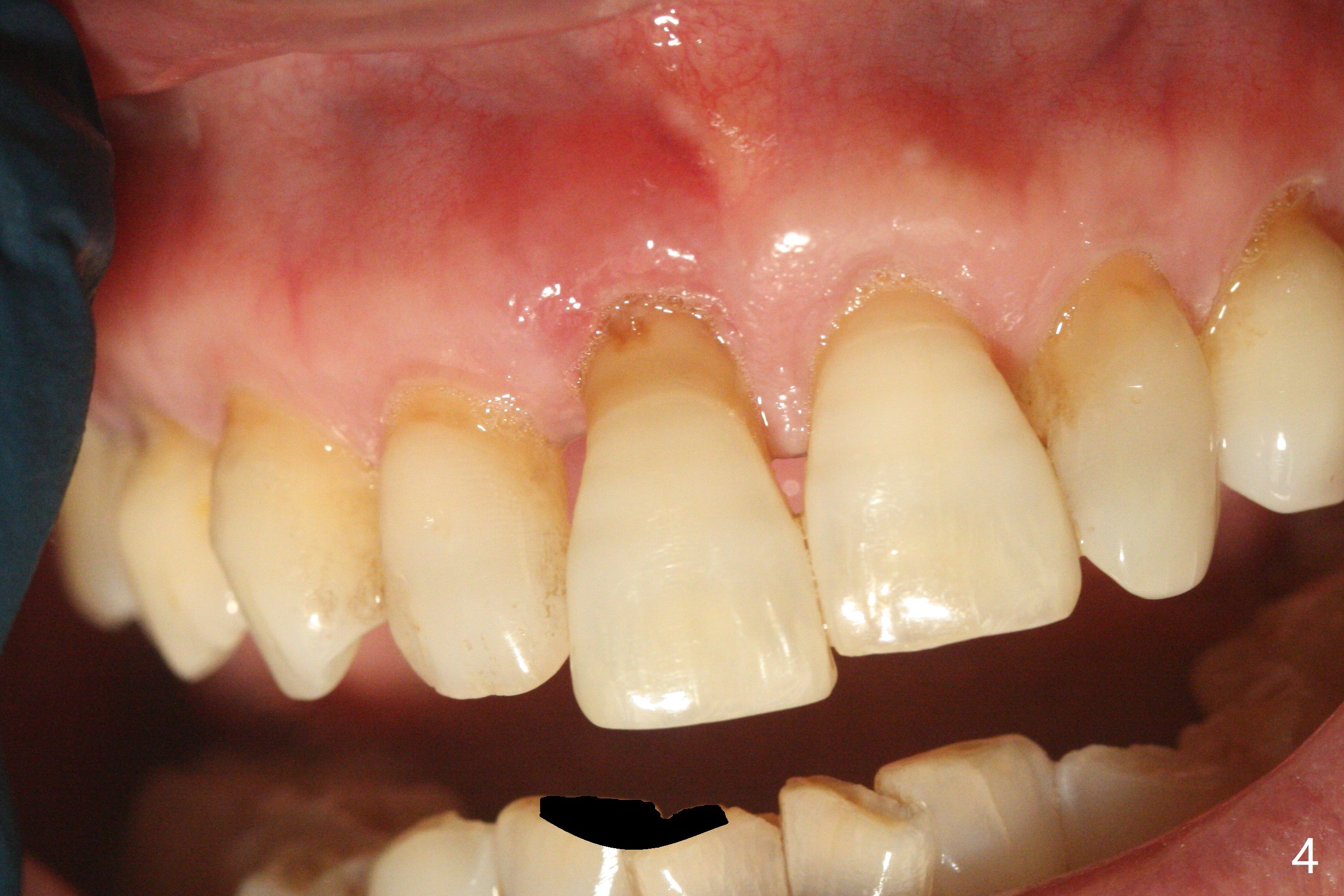
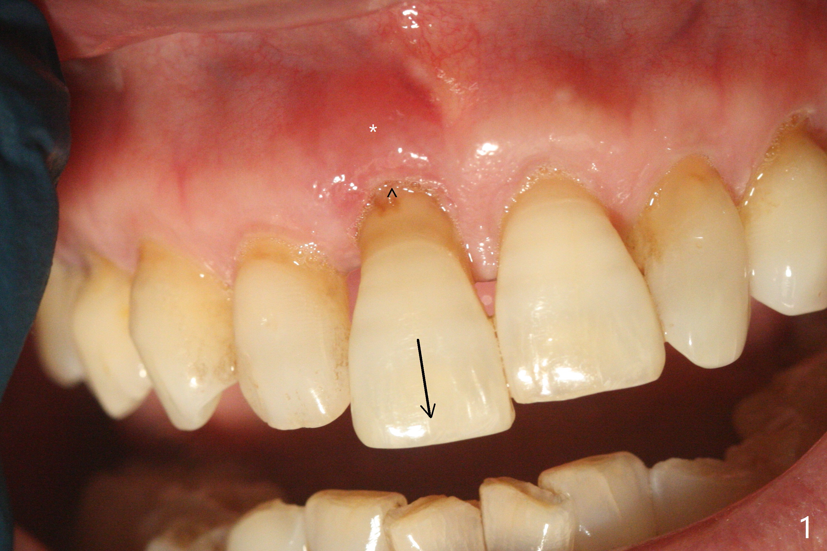
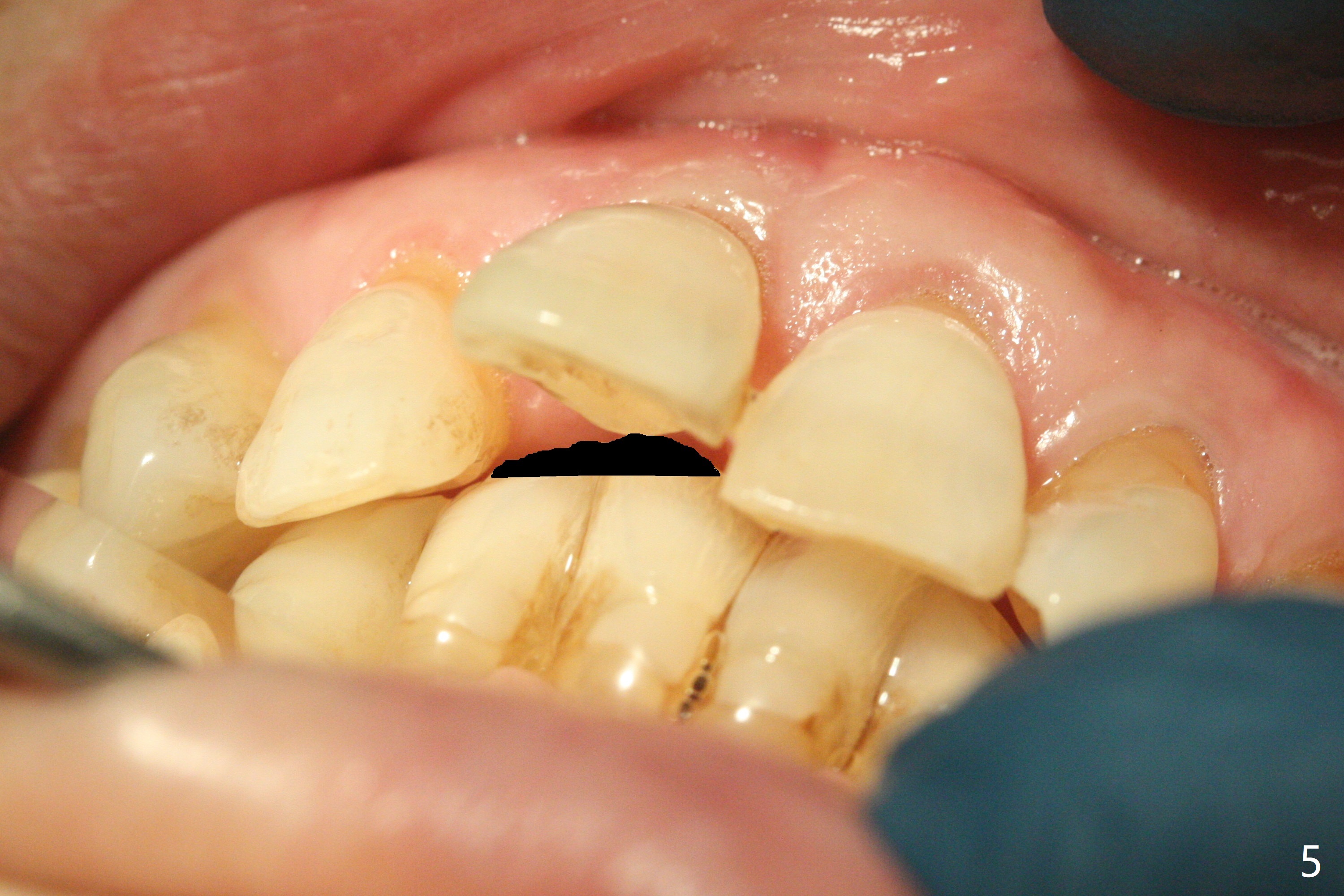
59岁女今天就诊,“上门牙快掉下来”,检查表明右上1延长(图一:长箭头),牙龈退缩(短箭头),红肿(*),颊侧骨板触诊不觉得塌陷(图二)。咬合时,患牙前移(图三),伸长的下切牙(图三,九:1,2)造成咬合创伤。因此拔牙前,将降低下门牙切缘(图四,五(黑色)),为临时牙冠创造足够修复空间。CT冠状切面显示颊侧(图六:B)骨板缺失,可以植入两段式植体(3.5x11.5 毫米),但是最细基台(4毫米直径,图七(粉红色和蓝色))显得太粗,不利于腭侧修复空间形成,而2.5x14(4)毫米一段式植体不仅创造更多颊侧植骨空间(图八(红箭头)),而且由于固有基台直径小(白箭头),容易形成腭侧修复空间。一旦前牙植体永久性修复完成,督促病人做三个第二磨牙植牙修复(图九:7),减少对前牙植牙创伤。临时牙冠不仅解决美观问题,而且固定骨粉,保持颊侧骨板隆起,维持牙龈缘和乳头。在大多数情况下,使用现成树脂牙冠(crown form)制作临时修复物,这个病例牙齿完整,截除的牙冠可以用来做临时牙冠。
Return to
No
Caries
Metronidazole
劈开术
Xin Wei,
DDS, PhD, MS 1st edition 02/27/2021, last revision
04/08/2021