![]() |
![]() |
![]() |
![]() |
![]() |
![]() |
![]() |
|
![]() |
![]() |
![]() |
|
![]() |
![]() |
![]() |
|
鼻底与扭力
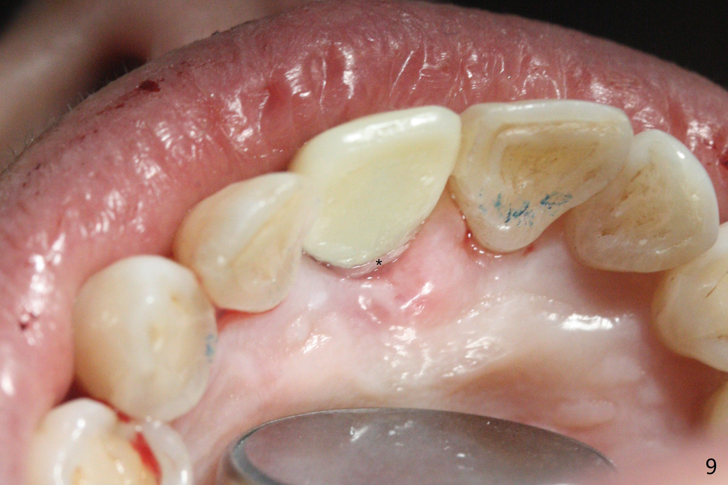
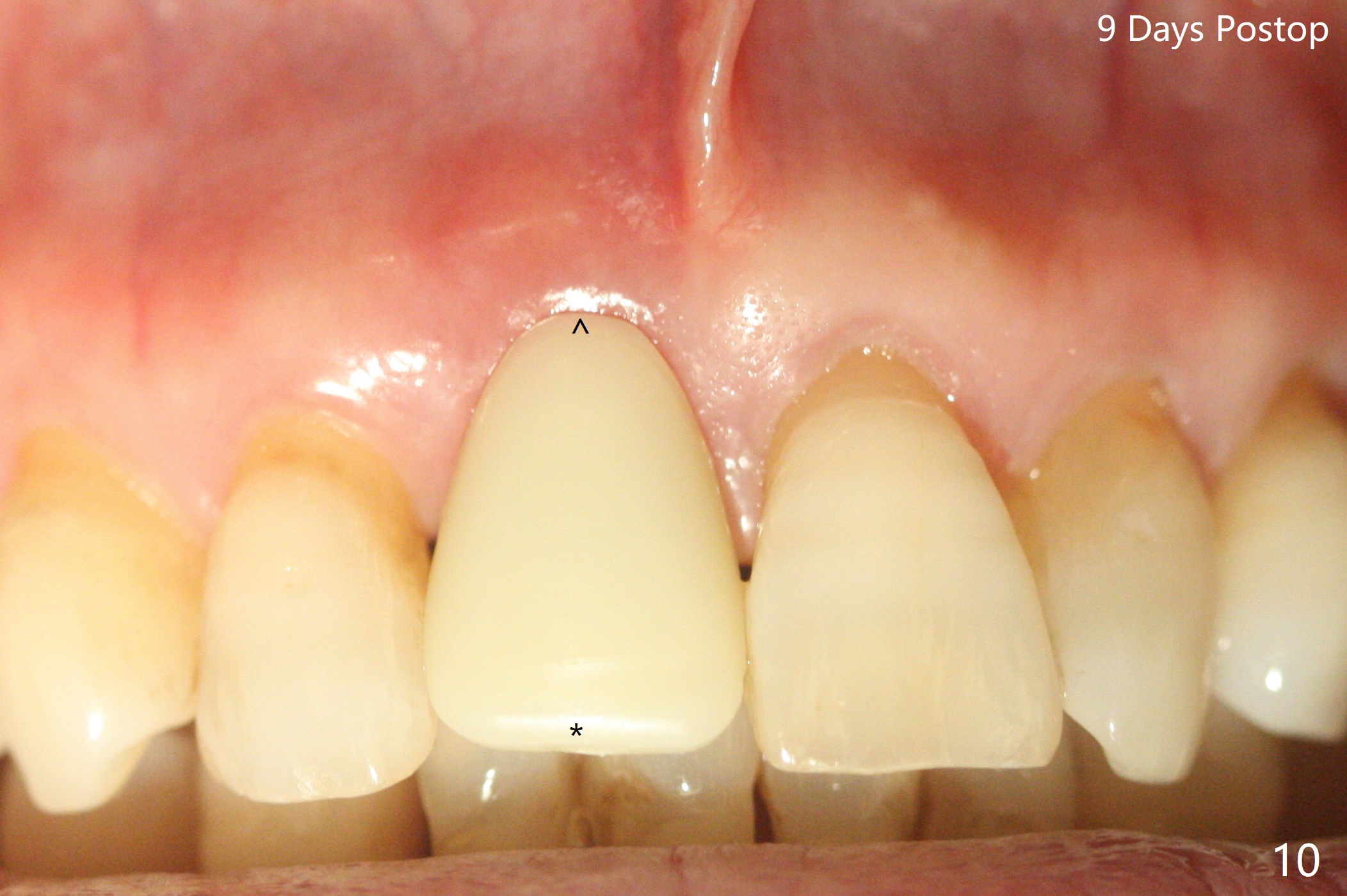
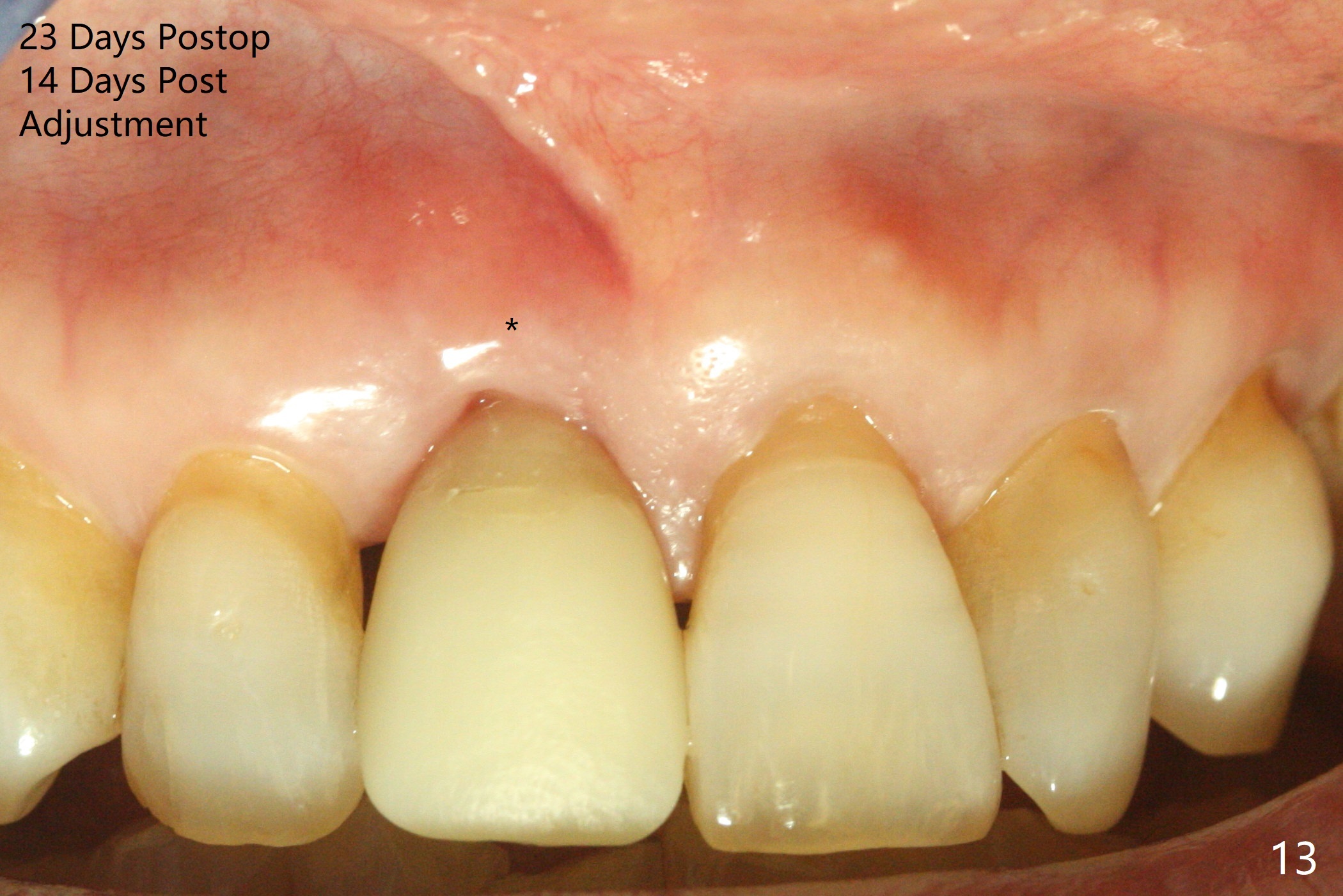
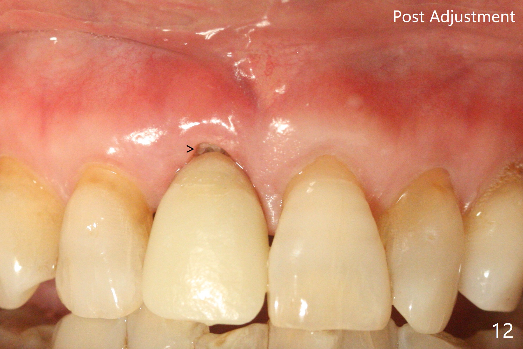
59岁女术前右下1,2切缘磨短后,右上1颊侧移位得到纠正(图一(咬合创伤))。拔牙后证实颊侧骨板缺失,钻洞始于腭侧(图二),当1.5毫米钻头感觉刚穿破鼻底时,置入2.5x14(4)毫米一段式植体,好像进入鼻腔,但是扭力<10Ncm(图三)。把一张PRF膜放入牙槽窝,一端紧贴颊侧牙龈腭侧,另一端放置颊侧牙龈颊侧(图四),然后开始用粘性骨粉(图五,七:*(100%皮质骨))充填颊侧间隙。后者填满时(图五:*),将外面一端PRF翻转覆盖牙槽窝开口,并插入基台固定(图六),最后插入龈下,用临时牙冠固定(图八(T),九(*:PRF))。术后九天牙龈退缩(图十:^),临时牙冠突出(*),后者龈缘和切缘进行调整,缩短(图十一,十二),少许骨粉暴露(图十二:>),十四天后牙龈往下生长,好像形成角化龈(图十三:*)。
Return to
No
Caries
劈开术
下一个调整咬合病例
下一个PRF覆盖病例
Xin Wei,
DDS, PhD, MS 1st edition 03/09/2021, last revision
05/18/2021