![]() |
![]() |
![]() |
![]() |
![]() |
![]() ![]() |
Palatal Osteotomy
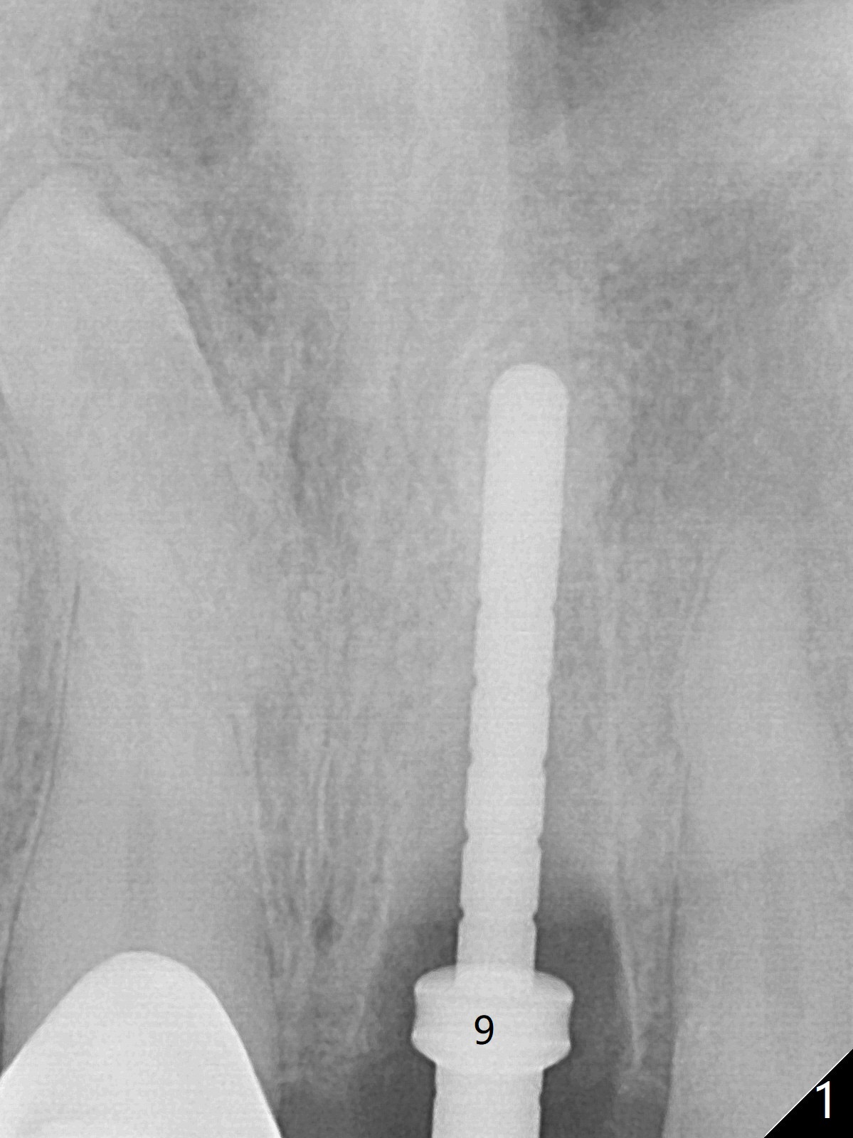
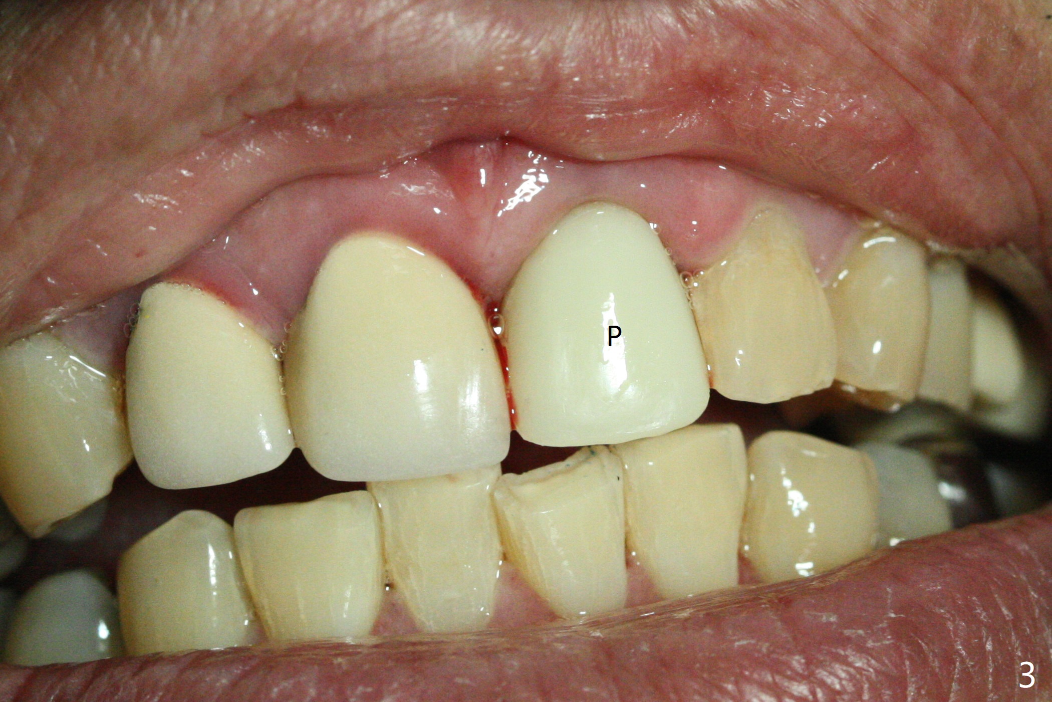
The buccal plate at #9 remains intact in spite of difficult extraction. Osteotomy is initiated in the palatal slope of the socket (Fig.1). The latter looks large when osteotomy is finished for a 3.8 mm implant. Without further osteotomy, a 4.5x14 mm SM implant is placed with primary stability (Fig.2). Without much attention, the coronal end of the bone-level implant is gradually deviated buccal, although the buccal gap is still 2 mm. An angled abutment is used (Fig.2); the future access hole is also buccal. Screw retention is impossible for cosmetic reason (Fig.3). To keep the access incisal and palatal, keep removing palatal bone sequentially. Or start osteotomy in the mid point of the palatal slope and keep the coronal end of the trajectory (Fig.5 pink line) palatal to the imagined incisal edge (Fig.4 white outline). The implant should be small (3.5 mm instead of 4.5 mm) so that it is easy to change the trajectory. The bone graft seems to have disappeared 3.5 months postop; the implant appears to have not been placed deep enough (Fig.6). In fact the implant plateau is < 2 mm subgingival palatal. An anterior immediate implant should be placed deep to reduce periimplantitis. There is reduced risk associated with abutment screw loosening, as compared to the posterior. Luckily the patient has used water pik since implant placement. On the other hand, water pik may be related to loss of bone graft. Therefore, water pik should be used 1 month post bone graft associated with immediate implant. The bone graft remains around the abutment cuff 4 months postop (Fig.7; immediately post cementation).
Return to Upper Incisor Immediate Implant, Trajectory Xin Wei, DDS, PhD, MS 1st edition 03/12/2019, last revision 07/19/2019