![]() |
![]() |
![]() |
![]() |
![]() |
![]() |
![]() |
|
Bruxism
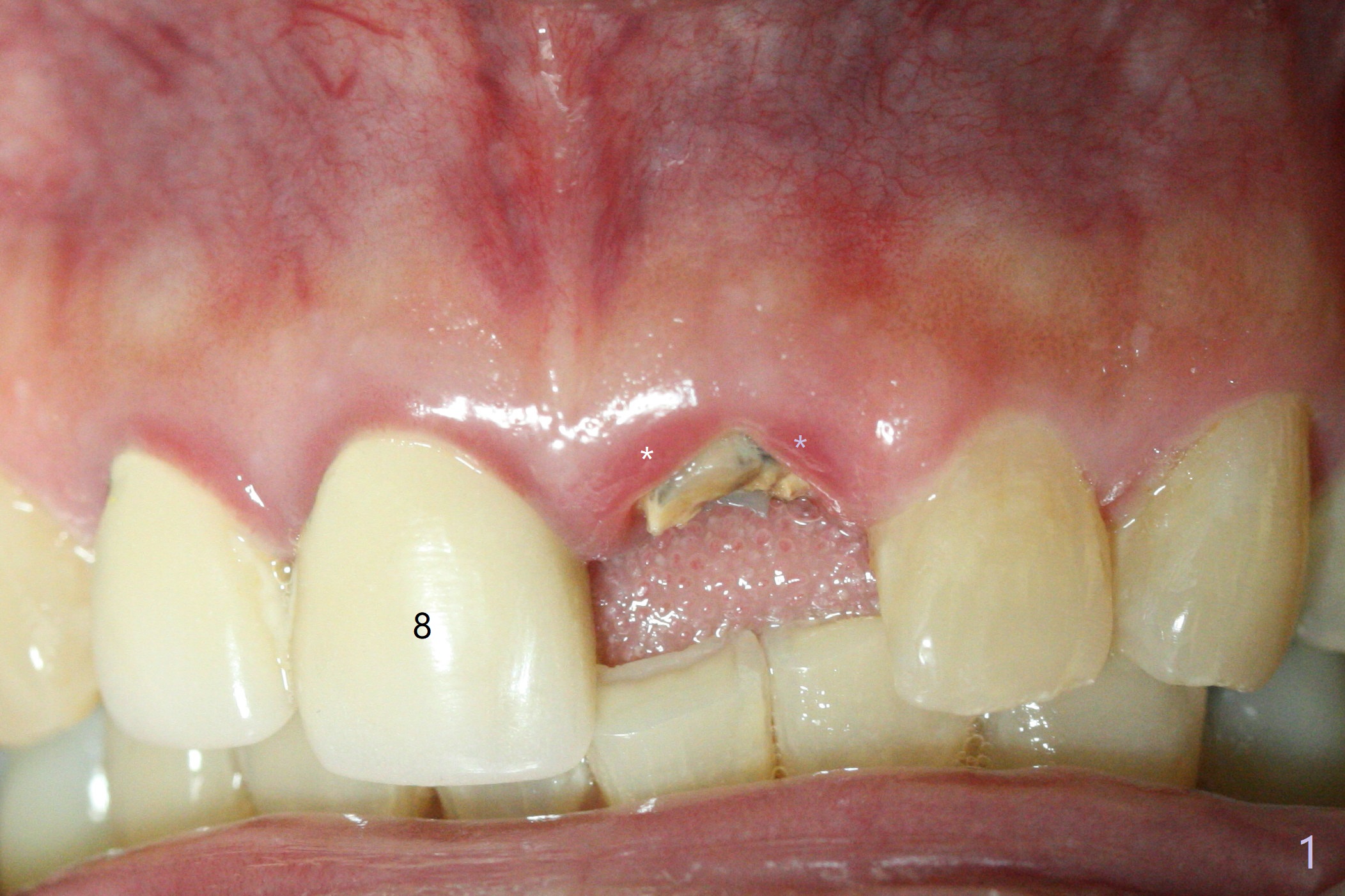
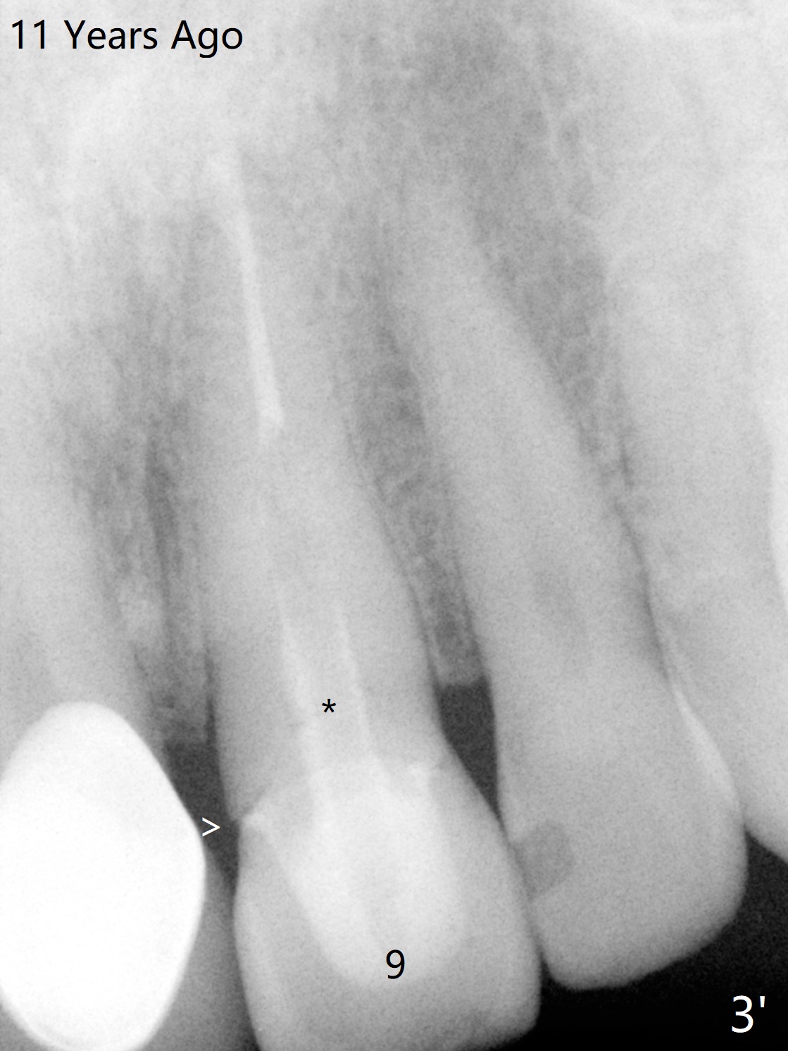
A 58-year-old man fractures the tooth #9 equigingival (Fig.1) and fiber post (Fig.2,3 *). The marginal gingiva is erythematous and edematous (Fig.1 *), suggesting biologic width violation. Redo crown would aggravate the issue. In addition, the mesiobuccal root of the tooth #14 has vertical fracture (Fig.4,5), evidence of heavy mastication. In fact the tooth #13 was also fractured apparently due to heavy occlusion before extraction. It is the best to extract the tooth #9 for implant (Fig.6), or tissue-level (3.5x14 or 17 mm).
Return to
Upper
Incisor Immediate Implant,
Trajectory,
No Antibiotic
Xin Wei, DDS, PhD, MS 1st edition
03/07/2019, last revision
01/09/2020