![]() |
![]() |
![]() |
![]() |
![]() |
![]() |
![]() |
![]() |
![]() |
New Crown Instead of Implant
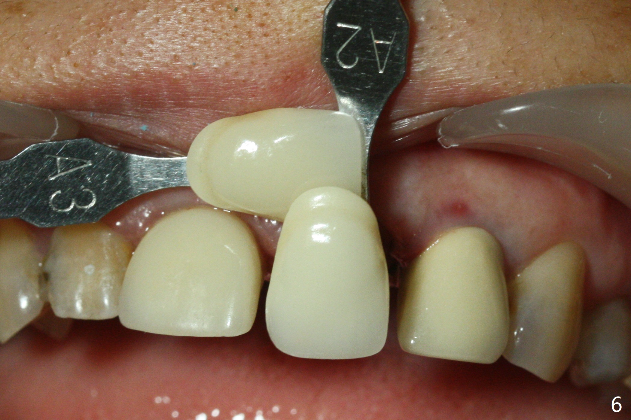
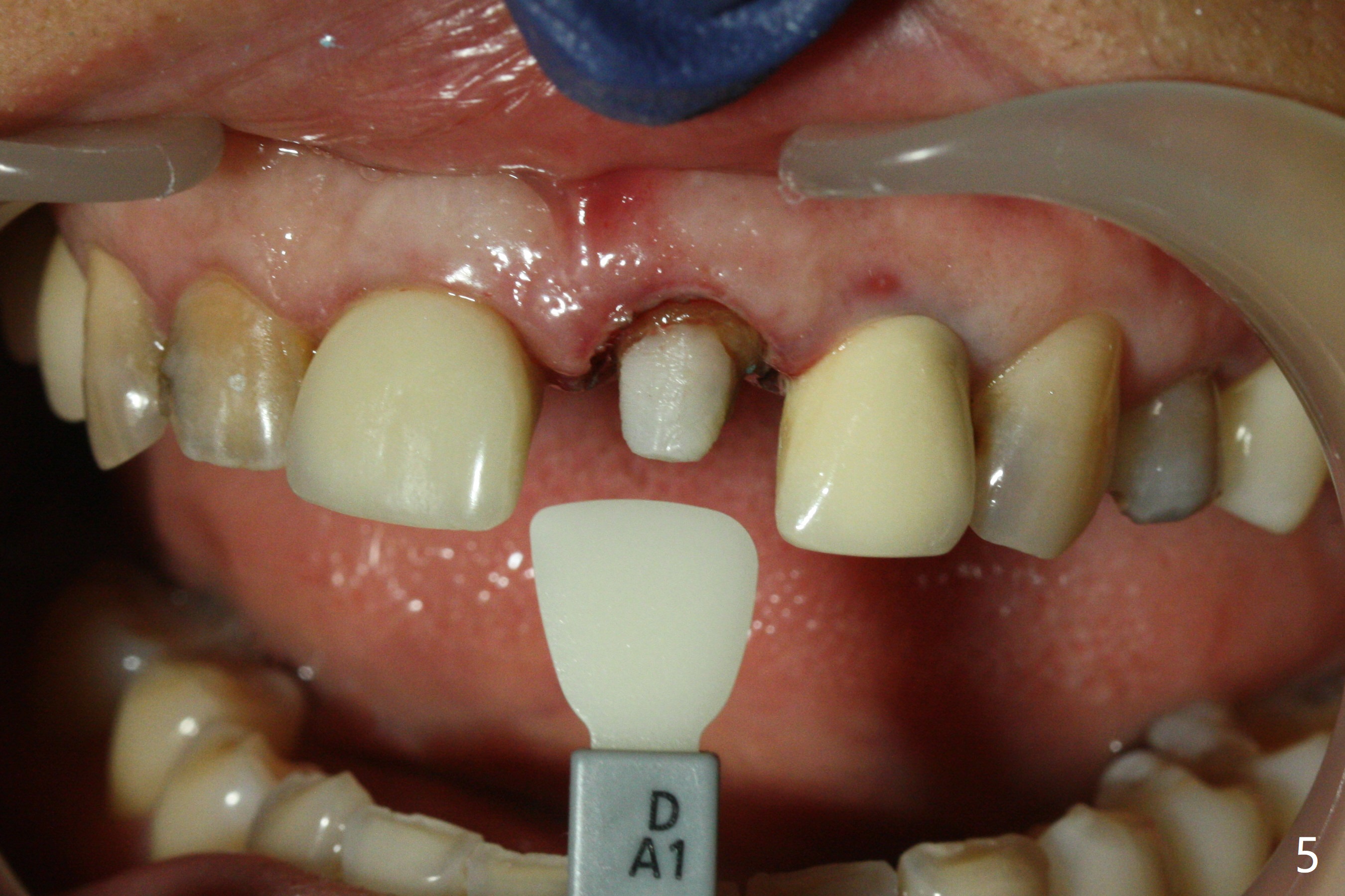
When the 44-year-old woman returns, the crown dislodges from #9 with palatal porcelain chip (Fig.1). Although the post is in place as compared to its dislodgement last visit, it is short and pointed (Fig.2,3 P). Because of the anterior deep bite (Fig.4), an implant restoration may not provide advantage; a new build-up is fabricated (B-U) for a new crown (Fig.5-6). The existing crown is reinserted for shade comparison (Fig.7 C). The gingiva at #8 and 9 is healthy, whereas that at #10 is not (Fig.8). PA taken 5 months later shows that the crown at #10 looks normal (Fig.9).
Return to Upper Incisor Immediate Implant, Armaments, #8 Xin Wei, DDS, PhD, MS 1st edition 07/19/2018, last revision 08/23/2020