![]() |
||
![]() |
![]() |
![]() |
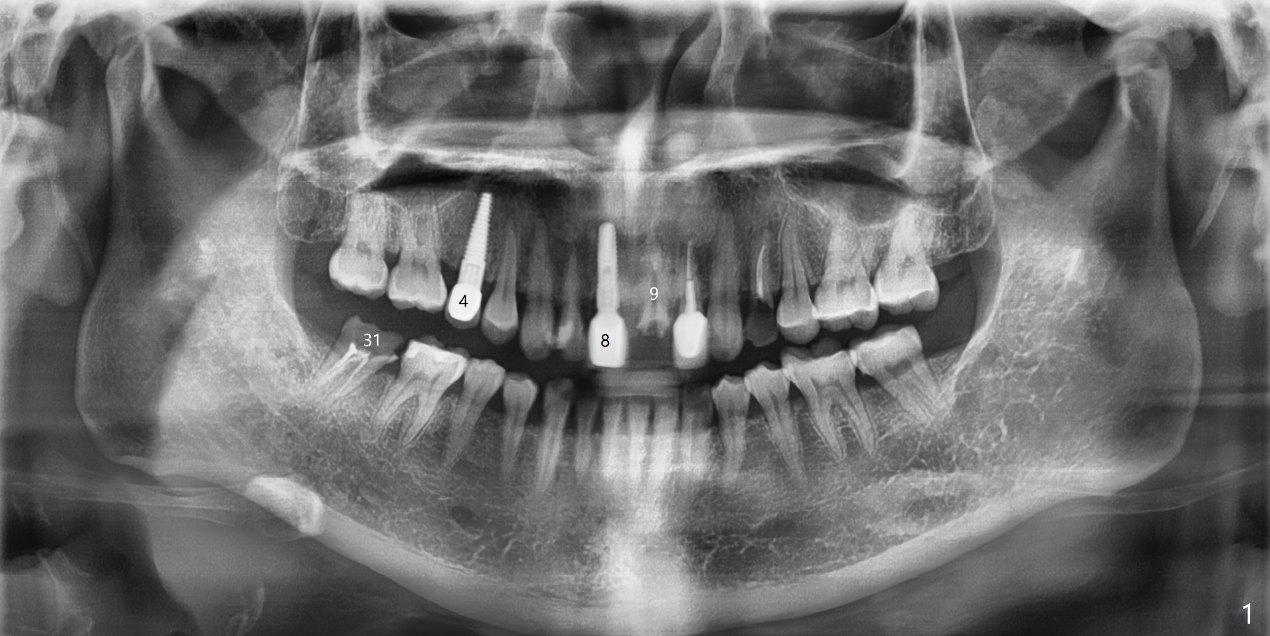
Prevent Periimplantitis
A 43-year-old woman will return for #9 and 31 implant placement. To prevent periimplantitis, a smaller implant will be placed deeper at #9 (3.8 or 4.1x14 mm) vs. 4.5x14 mm at #8 (2 years post cementation). The same type of implant (easy cement removal vs. the one at #4 (4.5x17 mm; 2 years post cementation)) will be placed at #31 mesial socket (Fig.2-4: 4.5x8.5 or 10 mm, never pass beyond the distal apex of the tooth #30: *). In fact, the tooth #9 is salvageable. Finally the patient decides to work on the tooth #12 (the same implant as #4). Take photos to show the residual roots. If there is buccal plate atrophy, prepare for socket shield.
Return to
Upper
Incisor
Bicupid,
Lower
Molar Immediate Implant, Prevent
Molar Periimplantitis (Protocols,
Table),
Armaments,
Trajectory,
Metronidazole
Xin Wei, DDS, PhD, MS 1st edition 02/11/2018, last revision 09/13/2019