![]() |
![]() |
![]() |
![]() |
Exfoliating Central
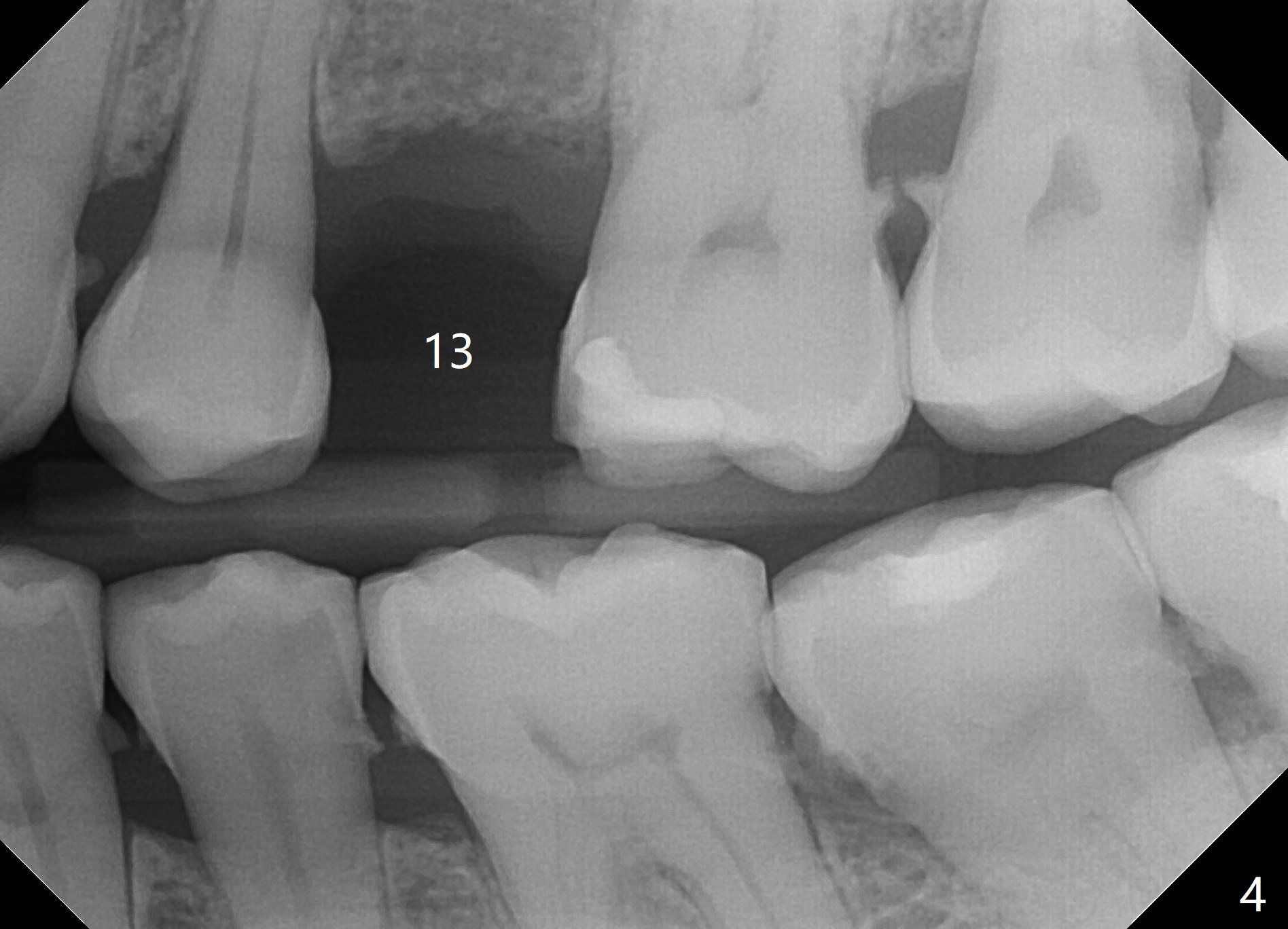
Concern of a 48-year-old woman is the exfoliating central incisor (Fig.1). After SRP (Fig.3,4), a long implant will be placed for stability (Fig.2), considering a posterior missing tooth (Fig.4).
Return to
Upper
Incisor Immediate Implant,
Armaments,
Clindamycin
Xin Wei, DDS, PhD, MS 1st edition 01/24/2018, last revision 06/01/2019