![]() |
![]() |
![]() |
![]() |
![]() |
![]() |
![]() |
![]() |
![]() |
![]() |
![]() |
|
![]() |
![]() |
![]() |
|
![]() |
|||
Immediate Implant Acts as Bone Graft Support
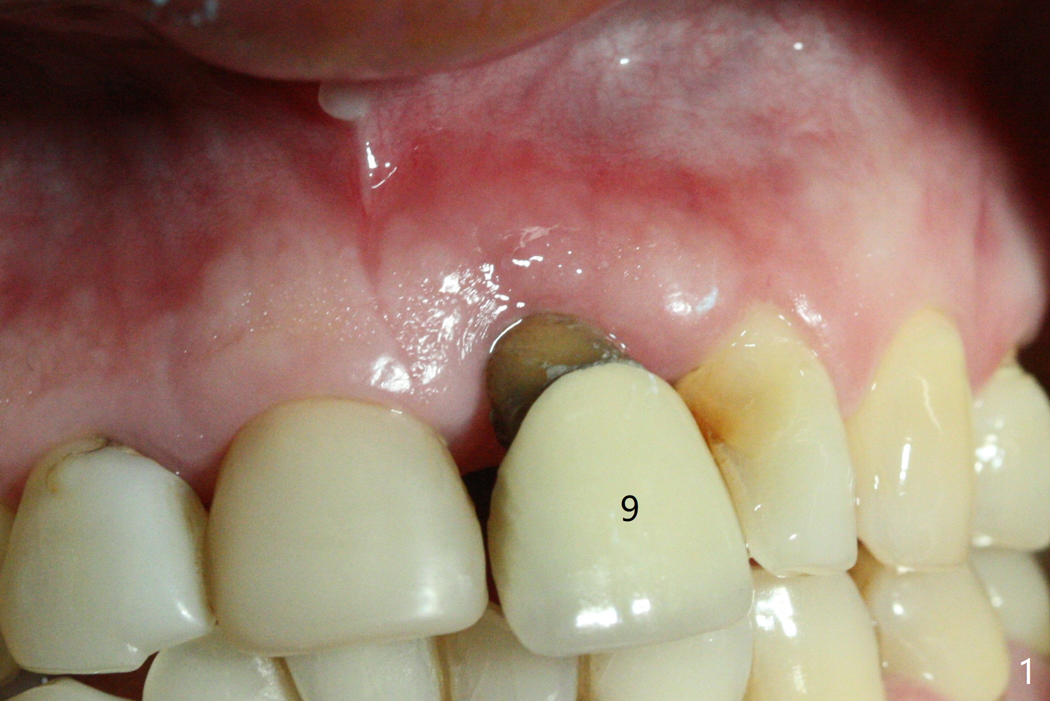
In spite of the incisobuccal shift of the tooth #9 with gingival recession (Fig.1) and loss of the buccal plate (intraop finding), there is no buccal contour collapse (Fig.2 *), due to the presence of the buccal bone of the neighboring teeth and the root of the affected tooth. After extraction, osteotomy (Fig.3) and dummy implant try in (Fig.4), a definitive implant is placed palatally with the buccal gap (Fig.5 *). In fact there is mild buccal contour collapse prior to bone graft (Fig.5 arrow). When allograft (Vera, Fig.6,7 *) is packed buccal to the implant and overlying abutment as a solid support, the buccal contour seemingly returns normal (Fig.6 arrowhead). An immediate provisional is fabricated to prevent loss of the bone graft during healing period. Bone graft kept in place by the provisional turns yellow 6 days postop (Fig.8). The buccal plate remains strong, while the fistula becomes indistinguishable. After adjustment of the provisional margin a few times (nearly 3 months postop, Fig.9,10), the gingival margin appears to have grown incisally, as compared to Fig.1. There is minimal buccal bone collapse (Fig.10). Dislodgement of the abutment and provisional forces her to return 1 year 4 months postop; the socket has healed (Fig.11). The buccal plate is not concave 1 year 4 months postop (Fig.12). The gingiva is slightly recessive (Fig.13) with mild buccal plate concavity (Fig.14) immediately before cementation. The implant could be placed ~ 1 mm deeper (Fig.15).
Return to Upper Incisor Immediate Implant, Armaments Xin Wei, DDS, PhD, MS 1st edition 02/01/2018, last revision 06/27/2019