![]() |
![]() |
||
![]() |
![]() |
![]() |
![]() |
Displaced Implant M
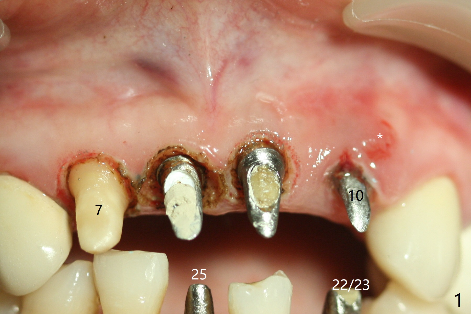
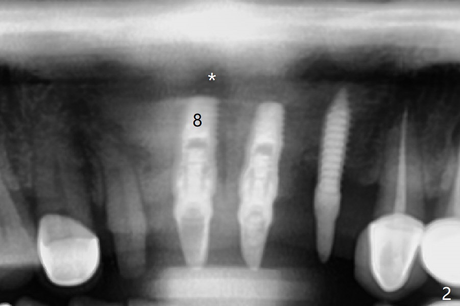
A 45-year-old woman returns for #7-10, 22/23 and 25 restoration; the implant at #10 appears to be inflamed (Fig.1 *). With free hand placement, the implant at #8 seems to be close to the Incisive Canal (Fig.2,3 *), while those at #9, and 10 are buccally placed (Fig.4,5 B). The implant at #10 will be replaced with a smaller one palatally (Fig.6 green). In fact the patient requests #9 implant redo because of protrusive crown.
Return to
Upper Incisor Immediate
Implant,
Trajectory,
3,15
植体取出后处理之二
Xin Wei, DDS, PhD, MS 1st edition 12/02/2018, last revision 03/06/2021